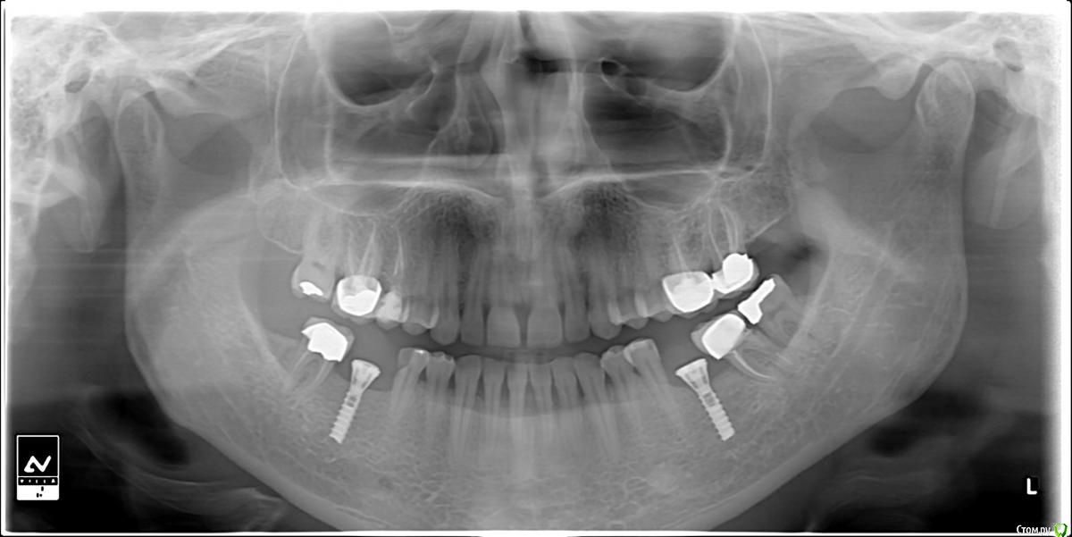
bilal Опубликовано 7 августа, 2016 Поделиться Опубликовано 7 августа, 2016 Помогите распознавать имплант. пациентка ставила 11 лет назад у другого доктора и уехала. Ссылка на комментарий
krokomot Опубликовано 8 августа, 2016 Поделиться Опубликовано 8 августа, 2016 Помогите распознавать имплант. пациентка ставила 11 лет назад у другого доктора и уехала.http://whatimplantisthat.com/ 1 Ссылка на комментарий
red_butler Опубликовано 8 августа, 2016 Поделиться Опубликовано 8 августа, 2016 пациентка ставила 11 лет назад у другого доктора в каком регионе имплантировалась? В наш век информационных технологий, не пробовали связаться с доктором? Ссылка на комментарий
andr99 Опубликовано 9 августа, 2016 Поделиться Опубликовано 9 августа, 2016 Похоже на Straumann или на Blue Sky Bio, только не ясно,что с апексами.Нужной длины не было и решили подпилить?) Ссылка на комментарий
aka_sol Опубликовано 9 августа, 2016 Поделиться Опубликовано 9 августа, 2016 Похоже на Straumann или на Blue Sky Bio, только не ясно,что с апексами.Нужной длины не было и решили подпилить?)Точно не Straumann. 1 Ссылка на комментарий
Рекомендуемые сообщения
Для публикации сообщений создайте учётную запись или авторизуйтесь
Вы должны быть пользователем, чтобы оставить комментарий
Создать аккаунт
Зарегистрируйте новый аккаунт в нашем сообществе. Это очень просто!
Регистрация нового пользователяВойти
Уже есть аккаунт? Войти в систему.
Войти