horoshie.veshi Опубликовано 7 августа, 2016 Поделиться Опубликовано 7 августа, 2016 (изменено) Добрый день. Имплантирую Нобель Реплейс:- фронт: клык - один имплант, резцы 1-3 - на два импланта мост- жевательные (верх): точно 6 и планировала 7. удаление (очень сложное) было в июне. на днях хирург посмотрел орто, сказал все ОК, можно имплантировать, но нужен синус (закрытый): материал bio-oss + мембрана bio-gide + применение мемб.техники + сам синус, итого сверху 70 тысяч, которые для меня неожиданны и очень накладны т.к. до этого дня врач убеждал, что заживление идет хорошо, и синус точно не понадобится. Теперь, скорее всего, вместо 7 придется делать с-л (из бюджета выпадаю). Прошу вашего мнения, действительно ли нужен закрытый синус лифтинг в моей ситуации? Полный размер: здесь. Спасибо! Изменено 7 августа, 2016 пользователем horoshie.veshi Ссылка на комментарий
rivezico Опубликовано 7 августа, 2016 Поделиться Опубликовано 7 августа, 2016 (изменено) Похоже на то, но для более точной информации нужен КТ. Часто в подобных случаях делают синус на сгустке или бикортикальную фиксацию. Изменено 7 августа, 2016 пользователем rivezico 1 Ссылка на комментарий
Bier Опубликовано 7 августа, 2016 Поделиться Опубликовано 7 августа, 2016 Согласен, нужно на КТ измерить кость, тут накладывается одно на другое, не очень видно. Ссылка на комментарий
horoshie.veshi Опубликовано 7 августа, 2016 Автор Поделиться Опубликовано 7 августа, 2016 (изменено) Спасибо, КТ делала до удаления 6-ки (7-ка удалена 4 года назад), по нему был вердикт, что с-л не нужен, кости в районе жевательных зубов хватает, и был сделан расчет стоимости лечения, и я внесла предоплату. "Необходимость" С-Л появилась буквально на днях, спустя 2 месяца после удаления 6-ки, до этого по снимкам он был не нужен, и этот момент меня очень смущает. Предлагала ему сделать КТ, но мне кажется, он уже принял окончательное решение, ему не нужно КТ, чтобы увидеть, что "кости все-таки мало" Изменено 7 августа, 2016 пользователем horoshie.veshi Ссылка на комментарий
Bier Опубликовано 7 августа, 2016 Поделиться Опубликовано 7 августа, 2016 после удаления всегда происходит атрофия так что старое КТ тут не поможет. Мне для принятия решения в этом случае нужна КТ, если вам интересен ответ врачей форума, надо сделать. А переубеждать своего врача дело неблагодарное. 3 Ссылка на комментарий
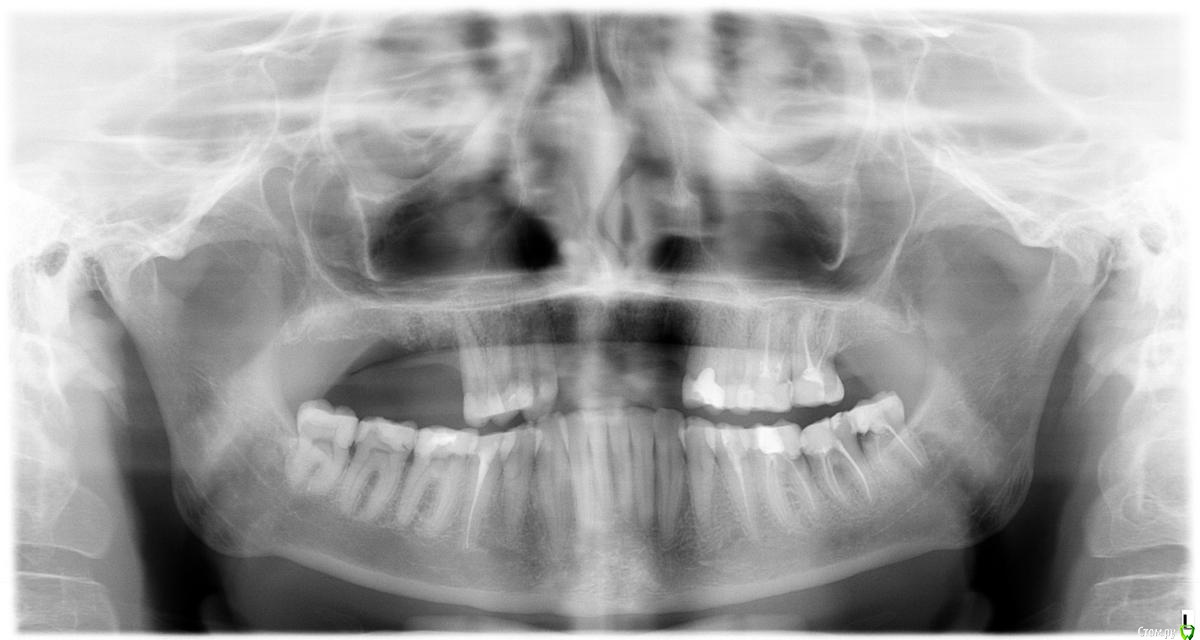
horoshie.veshi Опубликовано 11 августа, 2016 Автор Поделиться Опубликовано 11 августа, 2016 (изменено) Добрый день, уважаемы специалисты.Архив КТ (ссылка на rar): http://my-files.ru/qvouj4Рабочий блок открывает запуск файла Romexis_Viewer.exe внутри архива Вопрос тот же: можно ли обойтись без синус-лифтинга для 6-7 (справа)? Какие могут быть варианты? Огромное Вам спасибо! Изменено 11 августа, 2016 пользователем horoshie.veshi Ссылка на комментарий
Bier Опубликовано 11 августа, 2016 Поделиться Опубликовано 11 августа, 2016 Здравствуйте, спасибо за снимок. Там примерно 8,5-9мм костной ткани до синуса. Можно установить имплантаты такого размера вообще без синуслифтинга, можно сделать закрытый синуслифтинг (в данном случае костные материалы и мембраны можно не использовать) и поставить стандартные 10мм имплантаты. Обратите внимание своего стоматолога на верхние моляры слева. (6й и 7й зубы) 1 Ссылка на комментарий
Рекомендуемые сообщения
Для публикации сообщений создайте учётную запись или авторизуйтесь
Вы должны быть пользователем, чтобы оставить комментарий
Создать аккаунт
Зарегистрируйте новый аккаунт в нашем сообществе. Это очень просто!
Регистрация нового пользователяВойти
Уже есть аккаунт? Войти в систему.
Войти