MAKO Опубликовано 3 августа, 2016 Поделиться Опубликовано 3 августа, 2016 Всем здравствуйте! Сделал у стоматолога за три года 6 пломб. Две из них были поставлены в разное время и зубах, но их объединяет то, что в течение 4-5 месяцев, при попадании мелкой твердой пищи (семечки, например) на пломбированные зубы, были неприятные ощущения. Потом это прошло. Когда такое случилось в первый раз, то не обратил особого внимания. Но когда тоже самое произошло со второй, последней пломбой, то задумался: а следует ли дальше у него лечить зубы? Стоматолог мне ответил, что это нормально, так как это уже не ткань зуба, а искусственная. Хочется услышать мнение других стоматологов и пациентов на этот счет. Спасибо! Ссылка на комментарий
red_butler Опубликовано 3 августа, 2016 Поделиться Опубликовано 3 августа, 2016 http://forum.stom.ru/topic/20613-sovety-patcientam-obiazatelno-k-prochteniiu/ Ссылка на комментарий
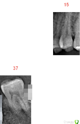
MAKO Опубликовано 4 августа, 2016 Автор Поделиться Опубликовано 4 августа, 2016 Прикладываю снимки этих зубов. Повторюсь, что сейчас ничего не беспокоит, смущает лишь факт, что такое имело место быть дважды и интересует нормально ли это? Ссылка на комментарий
MAKO Опубликовано 9 августа, 2016 Автор Поделиться Опубликовано 9 августа, 2016 Поискал в интернете и в одной из статей нашел следующее:В норме небольшая боль может возникать при нажатии на пломбу, при попадании твердого кусочка пищи на зуб во время еды, при проведении по пломбе ногтем или зубочисткой. Болевые ощущения чаще возникают после лечения глубокого кариеса: дно кариозной полости находится близко к «нерву» зуба, и поставленная пломба при нажатии на нее передает давление на пульпу зуба. Со временем эти болевые ощущения уменьшатся, т.к. пульпа зуба выработает защитный слой дентина и «отгородится» от пломбы. Однако на это требуется определенное время, и неприятные ощущения при накусывании на зуб могут сохраняться до нескольких месяцев. Так как эта статья по всей видимости написана копирайтером, поэтому хотелось бы услышать подтверждение от специалистов. У меня именно так и было, как написано выше. Диагностирован в 15 был глубокий кариес, а в 37 средний. Ссылка на комментарий
St. Опубликовано 9 августа, 2016 Поделиться Опубликовано 9 августа, 2016 Да, легкий дискомфорт иногда бывает, со временем должен проходить. Ссылка на комментарий
Рекомендуемые сообщения
Для публикации сообщений создайте учётную запись или авторизуйтесь
Вы должны быть пользователем, чтобы оставить комментарий
Создать аккаунт
Зарегистрируйте новый аккаунт в нашем сообществе. Это очень просто!
Регистрация нового пользователяВойти
Уже есть аккаунт? Войти в систему.
Войти