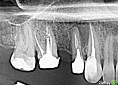
полосатая Опубликовано 3 августа, 2016 Поделиться Опубликовано 3 августа, 2016 (изменено) Здравствуйте.Обратилась к стоматологу по поводу свища- гранулемы между 3-м и 4-м зубами справа на верхней челюсти.Примерно 3 месяца ходила на лечение,закладывали кальций+йод.Сейчас зубы подготовлены под протезирование(пока временное ) с пластмассовым мостом.Каналы заполнены гуттаперчей,зафиксированы вкладки.Есть сомнения по поводу качества пломбирования каналов и фиксации вкладок: Прошу оценить качество работы. Может, пока на поздно нужно переделать?Зубы очень хочется сохранить.Фрагмент панорамного снимка: Изменено 3 августа, 2016 пользователем полосатая Ссылка на комментарий
полосатая Опубликовано 3 августа, 2016 Автор Поделиться Опубликовано 3 августа, 2016 Фрагмент панорамного снимка на момент обращения. Ссылка на комментарий
anvladd Опубликовано 3 августа, 2016 Поделиться Опубликовано 3 августа, 2016 (изменено) По поводу 6- вкладка в небном корне, пустота в 4 это нормально.Свищ есть? Что то беспокоит? Изменено 3 августа, 2016 пользователем anvladd Ссылка на комментарий
полосатая Опубликовано 3 августа, 2016 Автор Поделиться Опубликовано 3 августа, 2016 МегаЭлита.Спасибо.Успокоили!Свищ почти закрылся. Ссылка на комментарий
Гарриевич Опубликовано 5 августа, 2016 Поделиться Опубликовано 5 августа, 2016 МегаЭлита.Спасибо.Успокоили!Свищ почти закрылся.Свищ должен закрыться в первые дни после лечения каналовЧто значит почти закрылся? Ссылка на комментарий
Рекомендуемые сообщения
Для публикации сообщений создайте учётную запись или авторизуйтесь
Вы должны быть пользователем, чтобы оставить комментарий
Создать аккаунт
Зарегистрируйте новый аккаунт в нашем сообществе. Это очень просто!
Регистрация нового пользователяВойти
Уже есть аккаунт? Войти в систему.
Войти