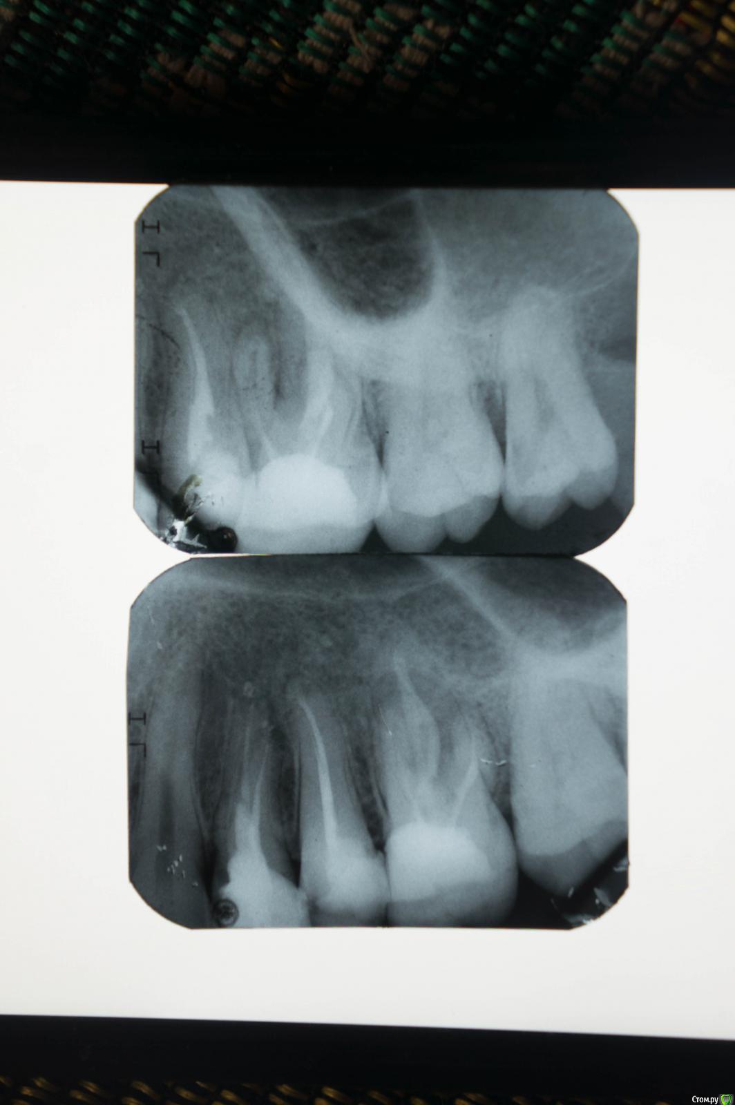
hectata Опубликовано 2 августа, 2016 Поделиться Опубликовано 2 августа, 2016 Добрый день! Буду признателен за совет. Около 4 месяцев назад над верхней правой 6-кой (зуб уже леченый, нервы удалены) появился свищ, из которого тёк гной. Обратился в стоматологию, сделали снимок и стоматолог-терапевт сказала, что на снимке виден перелом корня зуба, зуб нужно будет удалить, но пока нет острой боли, можно этого не делать и ходить со свищом. Я последовал совету врача и не стал пока удалять зуб.Сверху 1-ый снимок, снизу - 2-ойЧерез 3 месяца свищ закрылся, но появилось болезненное уплотнение на щеке выше 6-ки, стал появляться отек. Срочно обратился в стоматологию и попал к другому стоматологу-терапевту. Она снова направила меня на снимок, сказав, что на том снимке, который у меня имеется, перелома корня зуба не видно. На новом снимке перелома тоже не оказалось. Врач сказала, что проблема связана, скорее всего, с тем, что в зубе не запломбирован 4-й канал. Она настоятельно рекомендовала мне зуб сохранить, но сама лечить его не стала, мотивировав это отсутствием необходимых инструментов, а направила к знакомому эндодонту (озвучив примерную стоимость лечения – 30000 руб.). Также она назначила мне антибиотики, чтобы снять воспаление на щеке.Дело происходило в обычной городской стоматологической поликлинике. Имея на руках столь противоречивые мнения двух врачей, я решил обратиться в платное отделение этой же поликлиники (там работают другие врачи). В платном отделении врач, изучив оба снимка, согласилась с тем, что перелома корня зуба нет и что нужно искать и пломбировать 4-й канал, чтобы сохранить зуб. Врач предложила такой вариант: она вскроет зуб, заложит в него лекарство и попытается найти 4-й канал, а если у нее не выйдет, то направит к эндодонту (которого у них в поликлинике нет). Еще она сказала, что в случае удачного лечения, на зуб нужно будет поставить коронку.Подскажите, пожалуйста:Насколько реально сохранить эту 6-ку (смущает, что первый врач рекомендовал удаление)? Стоит ли сразу обращаться к эндодонту или можно лечить зуб у обычного стоматолога-терапевта?P.S. Пропил назначенный мне антибиотик, отёк и болезненные ощущения прошли всего на неделю, а теперь постепенно возвращаются обратно. Я ближайшие 2 недели в отпуске и обратиться к стоматологу возможности нет. Можно ли повторить курс Амоксиклава, если станет совсем невмоготу, или нужно пить другой антибиотик? Ссылка на комментарий
red_butler Опубликовано 2 августа, 2016 Поделиться Опубликовано 2 августа, 2016 Повторное лечение корневых каналов с последующим протезированием. Антибиотики по интернету Вам никто назначать не будет. Ссылка на комментарий
hectata Опубликовано 2 августа, 2016 Автор Поделиться Опубликовано 2 августа, 2016 Повторное лечение корневых каналов с последующим протезированием.Антибиотики по интернету Вам никто назначать не будет.Спасибо за ответ! Хотелось бы уточнить несколько моментов по поводу лечения: повторное лечение корневых каналов нужно проводить с использованием микроскопа или это возможно сделать у врача, не имеющего специального оборудования? Под протезированием имеется в виду коронка или нужно что-то еще?Антибиотик (Амоксиклав 500+125) мне выписал стоматолог, я пил его в течение 7 дней и с каждым днем отмечалось значительное улучшение. Эффекта хватило еще на 1,5 недели, а сейчас все симптомы потихоньку возвращаются. Я просто хотел узнать, можно ли повторно пропить назначенное мне ранее лекарство в случае сильного ухудшения или, наоборот, этого делать нельзя. К врачу попаду только через 2 недели. Ссылка на комментарий
DmitrySH Опубликовано 2 августа, 2016 Поделиться Опубликовано 2 августа, 2016 Сохранить зуб вполне реально, но не 100%Микроскоп очень здорово помогает видеть ситуацию внутри зуба. Иногда без него просто невозможно. 1 Ссылка на комментарий
4ebstom Опубликовано 3 августа, 2016 Поделиться Опубликовано 3 августа, 2016 Перелома не видно. Перелечивание каналов и протезирование-вот что может спасти зуб... Ссылка на комментарий
red_butler Опубликовано 3 августа, 2016 Поделиться Опубликовано 3 августа, 2016 Хотелось бы уточнить несколько моментов по поводу лечения: повторное лечение корневых каналов нужно проводить с использованием микроскопа или это возможно сделать у врача, не имеющего специального оборудования? нужен хороший врач, микроскоп всего лишь инструмент который помогает визуализировать ход лечения. Под протезированием имеется в виду коронка или нужно что-то еще? коронка, возможно с корневой вкладкой.P.s. соседние зубы тоже перелечивать и протезировать. Ссылка на комментарий
Гарриевич Опубликовано 5 августа, 2016 Поделиться Опубликовано 5 августа, 2016 6ку перелечивать4ку и 5ку тоже Ссылка на комментарий
Рекомендуемые сообщения
Для публикации сообщений создайте учётную запись или авторизуйтесь
Вы должны быть пользователем, чтобы оставить комментарий
Создать аккаунт
Зарегистрируйте новый аккаунт в нашем сообществе. Это очень просто!
Регистрация нового пользователяВойти
Уже есть аккаунт? Войти в систему.
Войти