Перейти к содержанию
Стоматология для всех

Протезирование на имплантатах и восстановление прикуса


nina50

Рекомендуемые сообщения

Добрый день!

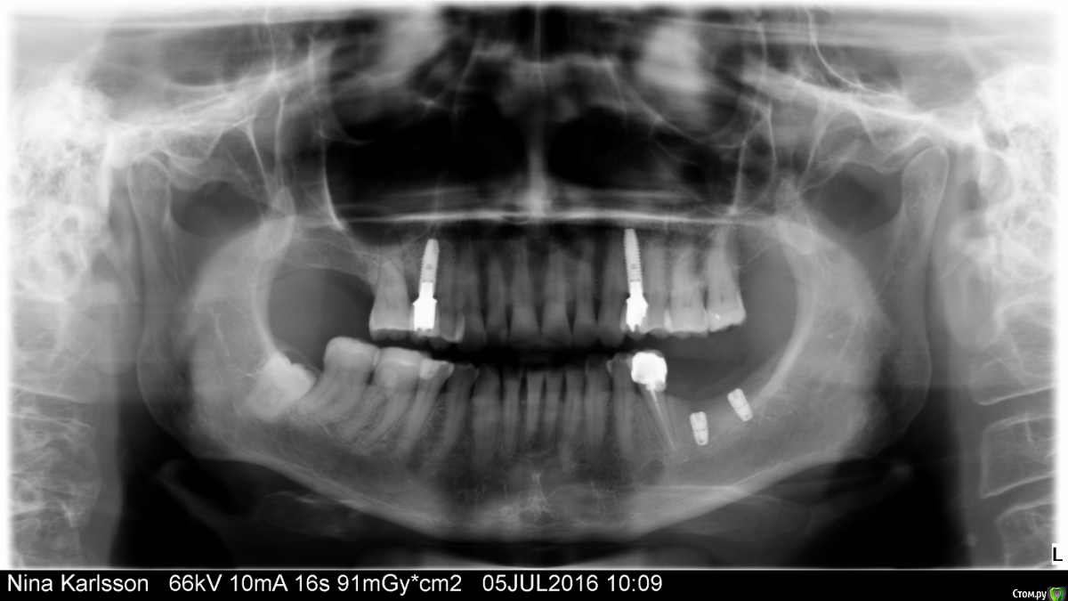
Поставлены два имплантата на нижней челюсти слева - 6, 7, снимок сделан непосредственно после операции. Планируется также замена коронки на депульпированной 5-ке.

Но есть серьезные проблемы с прикусом из-за повышенной истираемости эмали, передние зубы прямо таки крошатся и ломаются. Прблемы возникли и постепенно усилились после того, как несколько лет назад врач удалили 7 вверху справа, а затем установил коронку и накладку на нижние 6,7 справа. Высота их оказалась заниженной, прикус соотвественно тоже. А затем еще и нижние слева пришлось удалить (раньше тут стоял мост 5-7). Жевать пришлось только правой стороной с сильно заниженной высотой моляров.

 Делать это очень неудобно, ВВС болит и голова тоже, передние зубы как бы мешают и соответственно потихоньку крошатся! Постален диагноз "артрит ВВС" слева.

Короче в результате лечения и больший суммы истраченных денег проблем стало только больше. Но врач не хочет переделывать коронки, хотя со мной согласен. (Трудно не согласиться, сохранились фотографии и снимки до и после) Ну или только полностью за мой счет и под мою ответственность. И вообще - он хороший хирург, а не протезист, "эта проблема вне сферы его интересов" :((.

Поэтому  ищу другие возможности.

Думаю, с коронками на на нижних имплантатах ситуация будет получше, но!

Вопросы:

1)  необходимо ли ли для улучшения прикуса ставить имплантат 7 вверху справа?

2) можно ли заменить керамическую коронку и керамическую накладку на нижних 5-6-7 справа? С целю создать сбалансированный прикус?

3) можно и нужно ли с этой же целью сделать керамические накладки на 5-7 вверху слева? Они сильно разрушены...но живые!

4) понимаю, что восстановление прикуса обычно является одной из самых сложных проблем, не всякий врач согласен работать с таким пациентом. В какую клинику Москвы (или Челябинска) вы посоветуете обратиться? Или, точнее, какой врач-протезист уже работал с подобной проблемой с хорошим результатом? Это практически последний шанс, больше не потяну ни в экономическом ни в физическом плане.

Если этот вопрос надо задать в другой ветке - укажите это, пожалуйста.

post-19955-0-41234800-1470132761_thumb.png

 

Ссылка на комментарий

Для публикации сообщений создайте учётную запись или авторизуйтесь

Вы должны быть пользователем, чтобы оставить комментарий

Создать аккаунт

Зарегистрируйте новый аккаунт в нашем сообществе. Это очень просто!

Регистрация нового пользователя

Войти

Уже есть аккаунт? Войти в систему.

Войти
×
×
  • Создать...
Вверх