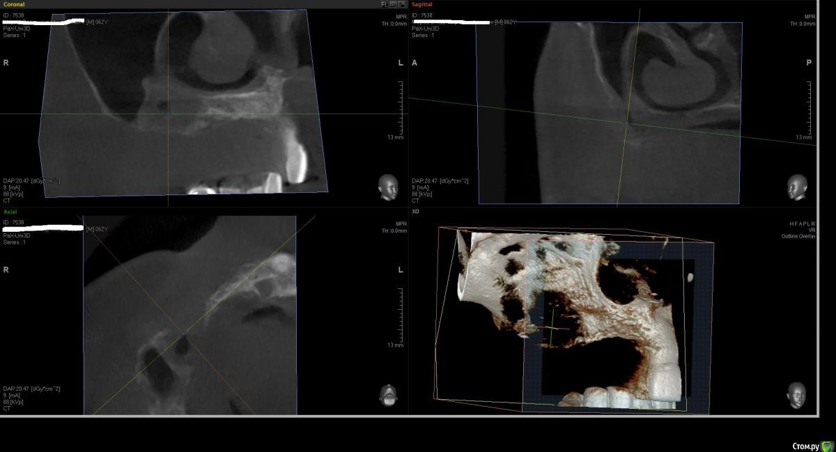
Kostoprav Опубликовано 1 августа, 2016 Поделиться Опубликовано 1 августа, 2016 что бы вы сделали в данной ситуации уважаемые коллеги? был синус и титановая сетка во фронте но увы все прокисло ((( 1 Ссылка на комментарий
diesel87 Опубликовано 1 августа, 2016 Поделиться Опубликовано 1 августа, 2016 Как пациент? Ссылка на комментарий
АнтонТЛТ Опубликовано 1 августа, 2016 Поделиться Опубликовано 1 августа, 2016 Всё вычистить, подождать заживление и повторить. 1 Ссылка на комментарий
johniola Опубликовано 2 августа, 2016 Поделиться Опубликовано 2 августа, 2016 в отпуск уходить 2 Ссылка на комментарий
Kostoprav Опубликовано 2 августа, 2016 Автор Поделиться Опубликовано 2 августа, 2016 Как пациент?пац настроен идти до победного Ссылка на комментарий
Kostoprav Опубликовано 2 августа, 2016 Автор Поделиться Опубликовано 2 августа, 2016 Всё вычистить, подождать заживление и повторить.это кт уже после чистки, а повторить снова титановой сеткой?думаю снова сетка здесь не прокатит( Ссылка на комментарий
АнтонТЛТ Опубликовано 2 августа, 2016 Поделиться Опубликовано 2 августа, 2016 Прокатит, если ошибки не повторите. Ссылка на комментарий
Kostoprav Опубликовано 2 августа, 2016 Автор Поделиться Опубликовано 2 августа, 2016 дело в том что ошибок то и не было, операция прошла идеально, 3 мес полет был нормальный Ссылка на комментарий
АнтонТЛТ Опубликовано 2 августа, 2016 Поделиться Опубликовано 2 августа, 2016 Если ошибок не было, то почему скисло? Ссылка на комментарий
Nazim_NV86 Опубликовано 3 августа, 2016 Поделиться Опубликовано 3 августа, 2016 Если ошибок не было, то почему скисло? Как говорится в подписи у Ст@си - "дьявол в деталях". Ссылка на комментарий
Kostoprav Опубликовано 3 августа, 2016 Автор Поделиться Опубликовано 3 августа, 2016 скисло через 3 мес, до этого все было идеально!но меня больше беспокоит вопрос что теперь с этим делать, там теперь кости особенно во фронте почти нет.какую технику использовать? Ссылка на комментарий
Fibez Опубликовано 3 августа, 2016 Поделиться Опубликовано 3 августа, 2016 Меня не удивляет что резорбировался графт под сеткой. Но где тут графт в пазухе? Что там было с синуслифтингом? Ссылка на комментарий
Kostoprav Опубликовано 3 августа, 2016 Автор Поделиться Опубликовано 3 августа, 2016 Меня не удивляет что резорбировался графт под сеткой. Но где тут графт в пазухе? Что там было с синуслифтингомначалось все как раз из синуса. пазуха разделена перегородкой, я поднял дно только в передней камере Ссылка на комментарий
Bier Опубликовано 8 августа, 2016 Поделиться Опубликовано 8 августа, 2016 Зигомы... 1 Ссылка на комментарий
kriokov Опубликовано 9 августа, 2016 Поделиться Опубликовано 9 августа, 2016 Зигомы...х\з , там по их по две с каждой стороны надо, если только на зигомах ( фо фронте с костью жиденько)но если опыт работы с ними есть - то вариант Ссылка на комментарий
Kostoprav Опубликовано 9 августа, 2016 Автор Поделиться Опубликовано 9 августа, 2016 Графт Дженос + аутов, прекрвыдал сетку еволюшеном Ссылка на комментарий
Kostoprav Опубликовано 9 августа, 2016 Автор Поделиться Опубликовано 9 августа, 2016 А с фронтом что делать? Ссылка на комментарий
Bier Опубликовано 9 августа, 2016 Поделиться Опубликовано 9 августа, 2016 конечно по 2 зигомы с каждой стороны. На мой взгляд - вариант для этой ситуации. С фронтом ничего не делать, там базис протеза будет Ссылка на комментарий
Kostoprav Опубликовано 9 августа, 2016 Автор Поделиться Опубликовано 9 августа, 2016 С левой стороны кость есть, или туда тоже зигомы? Ссылка на комментарий
Kostoprav Опубликовано 9 августа, 2016 Автор Поделиться Опубликовано 9 августа, 2016 А кроме зигоМ есть еще варианты?Всем спасибо за ответы! Ссылка на комментарий
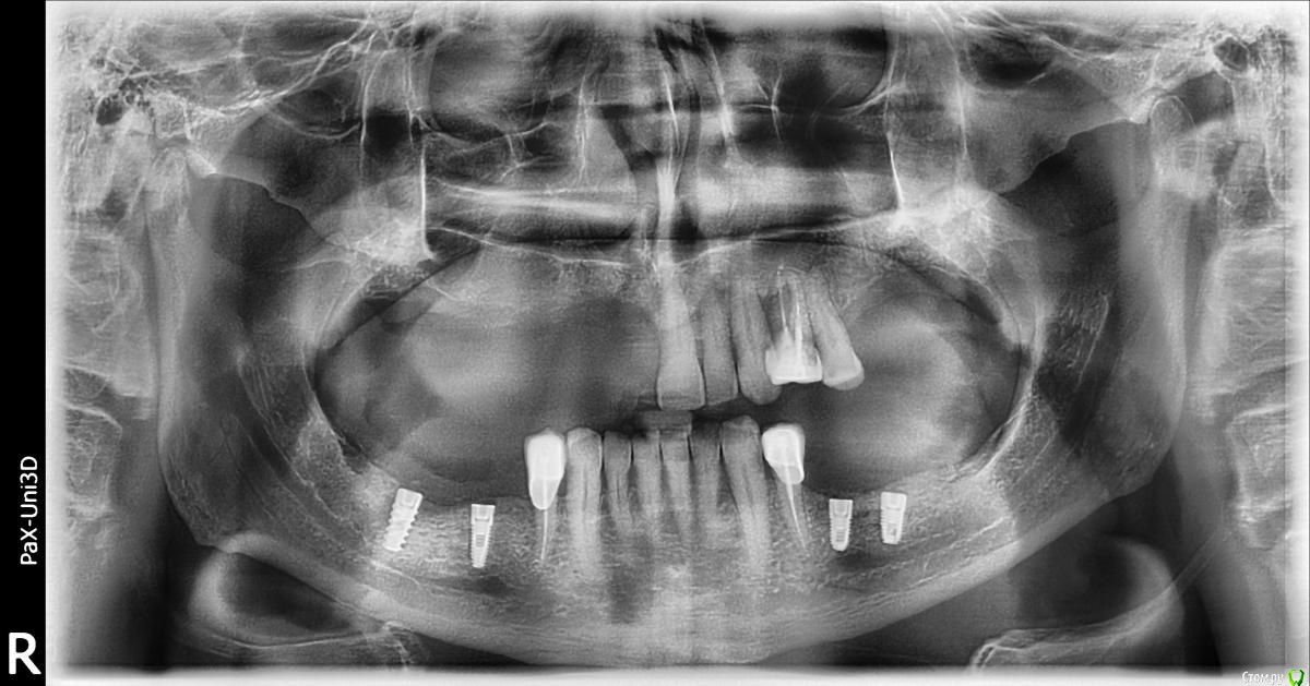
kriokov Опубликовано 9 августа, 2016 Поделиться Опубликовано 9 августа, 2016 Kostopravесли есть возможность залейте просто реформат оптг верхней челюсти , Ссылка на комментарий
Kostoprav Опубликовано 9 августа, 2016 Автор Поделиться Опубликовано 9 августа, 2016 Мороз Владимир Михайлович ОПТГ.bmp Ссылка на комментарий
Dr.Ru Опубликовано 10 августа, 2016 Поделиться Опубликовано 10 августа, 2016 Причины случившегося неплохо бы было установить, чтобы не повторилось. Почему 3 месяца все нормально было, а результат такой. Обострение чего-то хронического может, начал принимать медикаменты и тд. Ссылка на комментарий
kriokov Опубликовано 10 августа, 2016 Поделиться Опубликовано 10 августа, 2016 это , то, что есть сейчас? Ссылка на комментарий
Kostoprav Опубликовано 10 августа, 2016 Автор Поделиться Опубликовано 10 августа, 2016 да Ссылка на комментарий
Рекомендуемые сообщения
Для публикации сообщений создайте учётную запись или авторизуйтесь
Вы должны быть пользователем, чтобы оставить комментарий
Создать аккаунт
Зарегистрируйте новый аккаунт в нашем сообществе. Это очень просто!
Регистрация нового пользователяВойти
Уже есть аккаунт? Войти в систему.
Войти