Ленусик333 Опубликовано 30 июля, 2016 Поделиться Опубликовано 30 июля, 2016 (изменено) Добрый день.Во время протезирования в июле этого года, буквально за две недели, у меня исчезли десневые сосочки - между верхними единичками, двойками и тройками.Произошло это во время ношения временного моста.Сейчас стоят постоянные коронки (пока на временном цементе), изготовленные таким образом, чтобы закрыть пустые треугольники на месте отсутствующих сосочков. Передние одиночные 4 коронки - цирконий, боковые мосты - металлокерамика.1. Возможно ли в принципе как-то восстановить десневые сосочки?2. Затянутся ли небольшие дырки между передними зубами десневой тканью (я на это надеюсь) или шансов нет и стоит "закрыть" их керамикой? Огромное спасибо.PS: Добавлю еще фото улыбки. При улыбке между зубами сверху видны "черные треугольнички", как будто дыры. На самом деле, там, во мраке, сидят измученные мини-сосочки. Но они прячутся так глубоко, что их не видно Изменено 30 июля, 2016 пользователем Ленусик333 Ссылка на комментарий
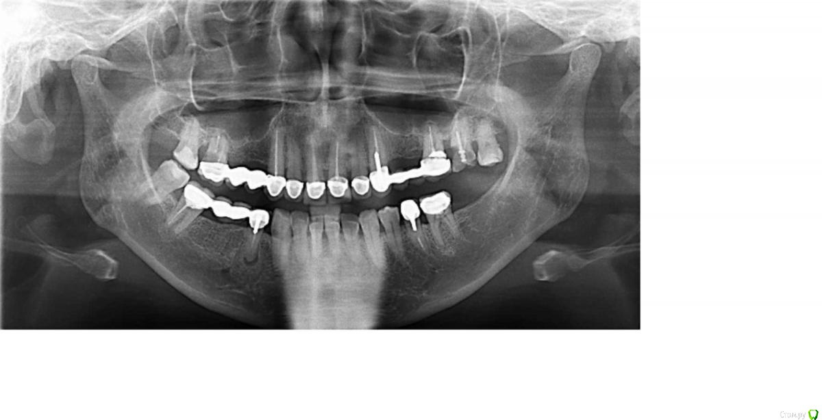
chervoncevdaniil Опубликовано 30 июля, 2016 Поделиться Опубликовано 30 июля, 2016 Выложите панорамный снимок,если есть Ссылка на комментарий
krokomot Опубликовано 30 июля, 2016 Поделиться Опубликовано 30 июля, 2016 Решите для начала проблемы с жевательными зубами, а потом передними, в таком состоянии я бы не стал сейчас делать пластику десны. Ссылка на комментарий
DmitrySH Опубликовано 30 июля, 2016 Поделиться Опубликовано 30 июля, 2016 фактически все жевательные зубы, где ранее были удалены нервы, требуют лечения Ссылка на комментарий
Ленусик333 Опубликовано 31 июля, 2016 Автор Поделиться Опубликовано 31 июля, 2016 О, я не написала, панорамный снимок сделан ДО лечения, сейчас все зубы пролечены. Ссылка на комментарий
red_butler Опубликовано 31 июля, 2016 Поделиться Опубликовано 31 июля, 2016 О, я не написала, панорамный снимок сделан ДО лечения, сейчас все зубы пролечены. Сделайте и выкладывайте новый снимок Ссылка на комментарий
Ленусик333 Опубликовано 31 июля, 2016 Автор Поделиться Опубликовано 31 июля, 2016 ОК, сделаю и выложу завтра. Ссылка на комментарий
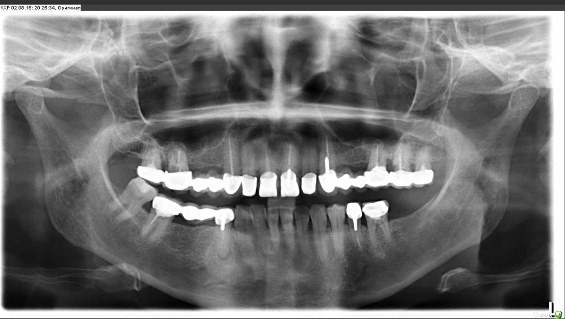
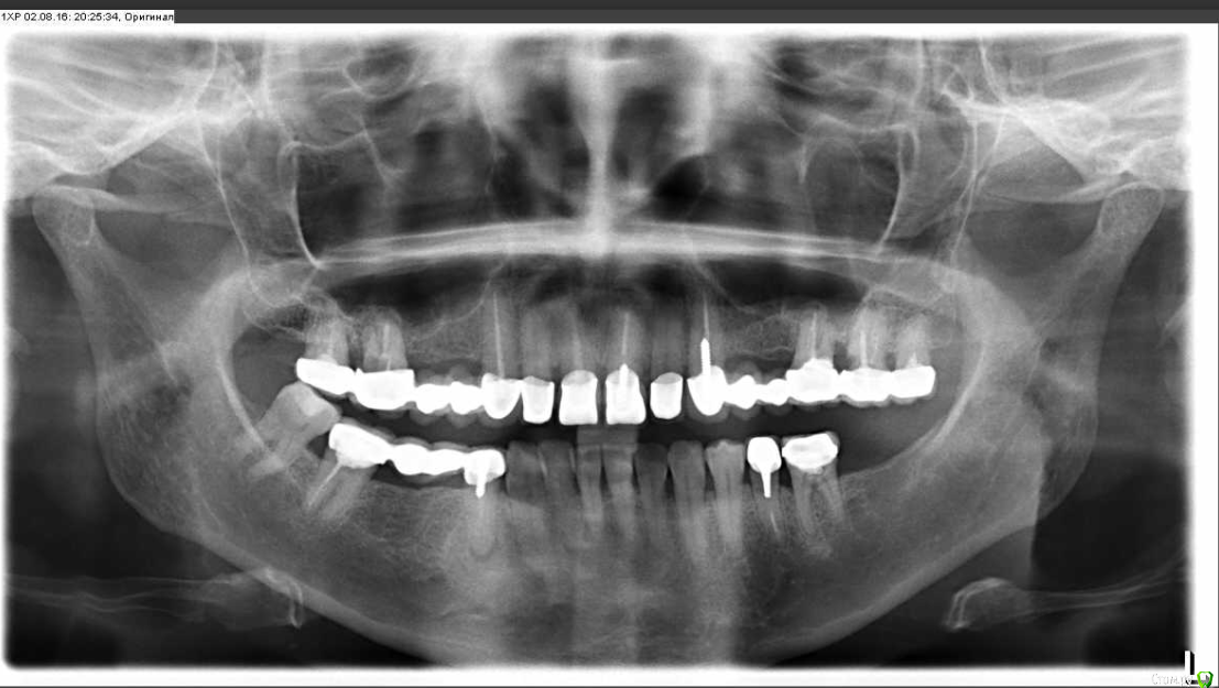
Ленусик333 Опубликовано 2 августа, 2016 Автор Поделиться Опубликовано 2 августа, 2016 Снимок от 02.08: Ссылка на комментарий
DmitrySH Опубликовано 2 августа, 2016 Поделиться Опубликовано 2 августа, 2016 ....а пролечить все перед ортопедией 1 Ссылка на комментарий
krokomot Опубликовано 2 августа, 2016 Поделиться Опубликовано 2 августа, 2016 Это постоянные конструкции? если да то печаль Ссылка на комментарий
Ленусик333 Опубликовано 3 августа, 2016 Автор Поделиться Опубликовано 3 августа, 2016 Спасибо всем, кто отвечает.Да, это постоянные конструкции, уже прошедшие полную "подгонку", но пока они стоят на временном цементе. Так как меня мало устраивает внешний вид верхнего зубного ряда, а также я планирую заняться лечением десны (сильно ушедшей "вверх), то я попросила доктора поставить пока все на временный.Могу я попросить вас конкретизировать, что не так с лечением? Все зубы перед ортопедией мне пролечили.Также для меня важен вопрос: видна ли на рентгене ДО и ПОСЛЕ разница в состоянии десневой ткани сверху? В клинике отрицают факт изменения десны по их вине, хотя это произошло в процессе протезирования и по этому поводу мне собственно переделывали уже готовые коронки.Спасибо всем.Еще раз поставлю рентген до и после: Ссылка на комментарий
DmitrySH Опубликовано 3 августа, 2016 Поделиться Опубликовано 3 августа, 2016 Могу я попросить вас конкретизировать, что не так с лечением? Все зубы перед ортопедией мне пролечили. На данных снимках нет возможности оценить состояние мягких тканей. А состояние зубов до и после осталось одинаковымНужна ревизия каналов зубов :17, 16, 26, 27, 44, 47. состояние зубов 16, 27 ( на основании снимка) вызывает сомнения в их сохранении. 4 Ссылка на комментарий
red_butler Опубликовано 3 августа, 2016 Поделиться Опубликовано 3 августа, 2016 если не заняться полостью рта комплексно, в ближайшее время сосочки покажутся мелочью. 2 Ссылка на комментарий
DmitrySH Опубликовано 3 августа, 2016 Поделиться Опубликовано 3 августа, 2016 В этих мостовидных конструкциях есть очень большой плюс. Можно спокойно разбираться с зубами на верхней челюсти. Произвести имплантацию в области 24,25, 14,15.И при всех этих манипуляциях пациентка будет с зубами, сможет комфортно питаться и общаться. Ссылка на комментарий
Ленусик333 Опубликовано 3 августа, 2016 Автор Поделиться Опубликовано 3 августа, 2016 Спасибо, я плотно займусь лечением в ближ. время. А все-таки что с десневыми сосочками, существуют ли способы их как-то восстановить не хирургически? а также насколько сложна хирургическая операция и как быстро она дает результат? Ссылка на комментарий
M@estro Опубликовано 4 августа, 2016 Поделиться Опубликовано 4 августа, 2016 Спасибо, я плотно займусь лечением в ближ. время. А все-таки что с десневыми сосочками, существуют ли способы их как-то восстановить не хирургически? а также насколько сложна хирургическая операция и как быстро она дает результат? нужны объективные данные, которые опытный специалист может определить на очном осмотре. Ссылка на комментарий
Ленусик333 Опубликовано 5 августа, 2016 Автор Поделиться Опубликовано 5 августа, 2016 Спасибо. Ссылка на комментарий
Рекомендуемые сообщения
Для публикации сообщений создайте учётную запись или авторизуйтесь
Вы должны быть пользователем, чтобы оставить комментарий
Создать аккаунт
Зарегистрируйте новый аккаунт в нашем сообществе. Это очень просто!
Регистрация нового пользователяВойти
Уже есть аккаунт? Войти в систему.
Войти