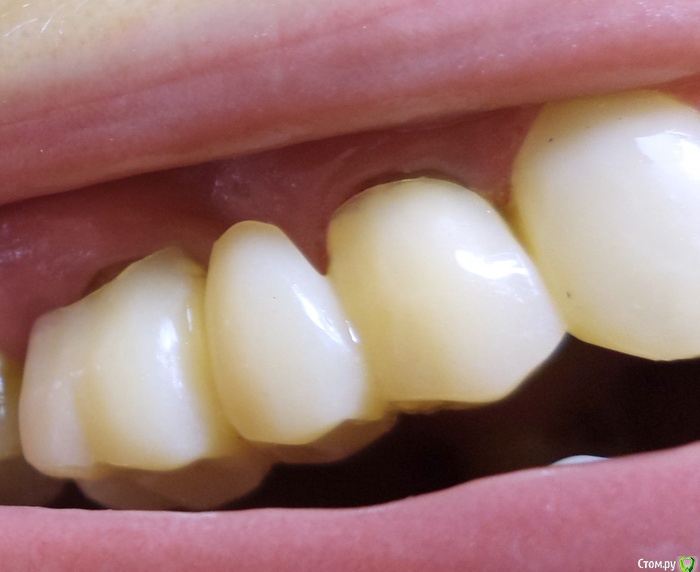
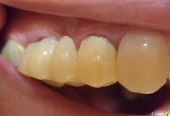
полосатая Опубликовано 28 июля, 2016 Поделиться Опубликовано 28 июля, 2016 Здравствуйте. Сегодня поставили мост из пластмассы на верхнюю челюсть на временный цемент.Опорные зубы 4-й и 6-й восстановлены мет. вкладками.Сразу почувствовала дискомфорт: пластмассовые зубы получились крупнее чем в бывшем на том же месте металлокерамическом мосту,такое ощущение что язык во рту не помещается, а со стороны щеки тоже мешает.Врач сказал что все нормально на год хватит, нужно просто привыкнуть.Дома обнаружила зазоры между деснами и коронками на 4-м и 6-м.Боюсь,будет попадать пища что приведет к разрушению зубов.К сожалению такой опыт уже был. Прошу оценить работу, Стоит ли оставлять все как есть или нужно переделывать этот мост?P.S.Мостик отвалился уже. Ссылка на комментарий
chervoncevdaniil Опубликовано 28 июля, 2016 Поделиться Опубликовано 28 июля, 2016 Почему на год мост делаете? Ссылка на комментарий
полосатая Опубликовано 28 июля, 2016 Автор Поделиться Опубликовано 28 июля, 2016 Между клыком и четверкой лечили гранулему.Клык тоже пролечен,канал запломбирован гуттаперчей,+ фотопломба.Временный мост поставили для наблюдения динамики. Ссылка на комментарий
chervoncevdaniil Опубликовано 28 июля, 2016 Поделиться Опубликовано 28 июля, 2016 Переделайте мост,раз уже отвалился,на год точно не хватит 2 Ссылка на комментарий
полосатая Опубликовано 28 июля, 2016 Автор Поделиться Опубликовано 28 июля, 2016 То что отвалился -это не аргумент,просто предложит заново поставить на постоянный цемент этот мостСчитаю что техник должен переделать это безобразие с щелями.Если не права-поправьте. Ссылка на комментарий
anvladd Опубликовано 28 июля, 2016 Поделиться Опубликовано 28 июля, 2016 Сделать перебазировку,или переделать. 2 Ссылка на комментарий
полосатая Опубликовано 28 июля, 2016 Автор Поделиться Опубликовано 28 июля, 2016 А что такое перебазировка?Как врачу сказать-то? Ссылка на комментарий
St. Опубликовано 28 июля, 2016 Поделиться Опубликовано 28 июля, 2016 Так и сказать, что шель между коронками и десной мешает. 2 Ссылка на комментарий
Kolchanov Опубликовано 29 июля, 2016 Поделиться Опубликовано 29 июля, 2016 Через год с времянками у вас может быть такая динамика - http://forum.stom.ru/topic/33232-poltora-goda-na-vremiankakh-i-chto-teper-delat/Тут либо очень точные времянки, может лабораторные даже и регулярные осмотры, либо протезировать сразу постоянно. Ссылка на комментарий
полосатая Опубликовано 29 июля, 2016 Автор Поделиться Опубликовано 29 июля, 2016 Посмотрела ссылку- жесть.У меня на этих зубах стоял мост из металлокерамики.На 4-ке поднялась десна,пища попадала в щель.Вероятно это и явилось причиной образования гранулемы.Когда снимали этот мост,четверка была гнилая и просто отломилась вместе с коронкой. Если правильно вас поняла,лучше сразу поставить постоянно металлокерамику или все-таки можно обойтись хорошо подогнанными пластмассовыми протезами на постоянный цемент? Вот снимок до пломбирования каналов Ссылка на комментарий
Kolchanov Опубликовано 29 июля, 2016 Поделиться Опубликовано 29 июля, 2016 Тут надо было бы смотреть не треснул ли клык или 4ка. Уж больно дефект кости некрасивый. В общем, действительно, с постоянным протезированием лучше не торопиться. Но и год тут смотреть тоже нечего. Через полгода будет ясно, есть ли положительная динамика или нет. 1 Ссылка на комментарий
chervoncevdaniil Опубликовано 29 июля, 2016 Поделиться Опубликовано 29 июля, 2016 (изменено) То что отвалился -это не аргумент,просто предложит заново поставить на постоянный цемент этот мостСчитаю что техник должен переделать это безобразие с щелями.Если не права-поправьте.Сколько времени он у вас отстоял,прежде чем отвалился? Изменено 29 июля, 2016 пользователем chervoncevdaniil Ссылка на комментарий
полосатая Опубликовано 29 июля, 2016 Автор Поделиться Опубликовано 29 июля, 2016 (изменено) Сколько времени он у вас отстоял,прежде чем отвалился? Примерно через 4-5 часов после установки.Отвалился во время еды. Изменено 29 июля, 2016 пользователем полосатая Ссылка на комментарий
полосатая Опубликовано 30 июля, 2016 Автор Поделиться Опубликовано 30 июля, 2016 Уважаемые доктора, большое спасибо за советы.Есть еще один вопрос.В изготовленном протезе жевательная поверхность зубов больше чем на таких-же зубах с другой стороны челюсти.Так и должно быть? Ссылка на комментарий
St. Опубликовано 30 июля, 2016 Поделиться Опубликовано 30 июля, 2016 Есть еще один вопрос.В изготовленном протезе жевательная поверхность зубов больше чем на таких-же зубах с другой стороны челюсти.Так и должно быть? Это не принципиально. Главное чтоб плотно примыкали к зубу около десны и не мешали при смыкании зубов. Ссылка на комментарий
Рекомендуемые сообщения
Для публикации сообщений создайте учётную запись или авторизуйтесь
Вы должны быть пользователем, чтобы оставить комментарий
Создать аккаунт
Зарегистрируйте новый аккаунт в нашем сообществе. Это очень просто!
Регистрация нового пользователяВойти
Уже есть аккаунт? Войти в систему.
Войти