Перейти к содержанию
Стоматология для всех

Металлокерамические коронки.Гарантия.Качество работы


logos10

Рекомендуемые сообщения

Добрый день!

 

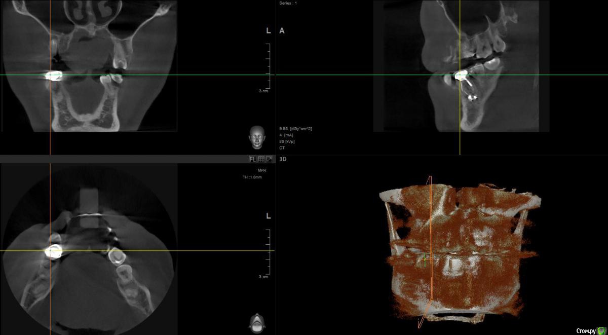
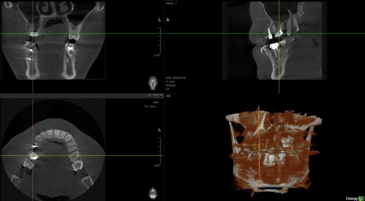
 1 год назад были установлены 3 коронки. см Фото. После появления свища над верхней коронкой обратился к стоматологам.На фото 2 верхние коронки уже спилены и начато повторно лечение одного зуба,за мой счет конечно.

 

По результатам снимков след.вывод. Две верхние коронки снимать и лечить каналы , так там воспаление. Под нижней коронкой небольшое воспаление,но сказали пока его не трогать ,но взять под наблюдение.

 

 

 Вопросы:

 

1)Есть ли право у пациента требовать бесплатное повторное лечение?

 

2)Повторное лечение платит пациент ,но повторное изготовление коронок оплачивает стоматология?

 

3)Если никаких гарантий нет и не может быть , есть ли смысл повторно за свой счет лечить и ставить коронки?Очень высока вероятность повторения.

 

 

4)Если вину с стоматолога снимает,  что сделал неправильно пациент?

 

 - возможно не надо было все три зуба делать у одного врача?

 

 - коронку ставить не сразу , а только спустя несколько месяцев ,убедившись,что в корнях не развивается инфекция.

 

 

 

 

 

 

 

В предположении ,что все риск бере на себя пациент и ничего доказать невозможно , интересно ,а какая ситауция в этом плане за рубежом,такая же как у нас?

Ведь пациент не может никак проконтролировать правильность лечения и качество препаратов которые были использованы при этом . Соблазн у врача очень велик ,сделать так ,чтоб его пациент, стал его вечным клиентом своим действием или бездействием, перелечивая зубы по несколько раз, хоть  какой то контроль должен быть?Если да ,то какой? Вариант доверия не предлагать.

 

 

 

 

 

 

 

 

 

 

 

 

 

 

post-48565-0-48636800-1469537769_thumb.jpg

post-48565-0-42560900-1469537779_thumb.jpg

post-48565-0-70633900-1469537783_thumb.jpg

post-48565-0-53110900-1469537787_thumb.jpg

Ссылка на комментарий

Если вариант доверия не предлагать,то я пас. Врача выбирать надо тщательно. За рубежом есть,конечно,стандарты,но хорошо там ,где нас нет. Поверьте,доказать что-то при возникновении проблем там тоже непросто. И да,там тоже начинают с переделки по гарантии,через суд пару островом там людям сразу тоже никто не предлагает,спешу Вас уверить.

 

По Вашей ситуации- нет картины "до", сложно судить объективно о причинах и итогах. Еще бы фото. К сожалению,далеко не все и не всегда в наших руках..

  • Поддерживаю 2
Ссылка на комментарий

Здравствуйте. Есть смысл обсудить Вашу проблему не только с врачом, но и с руководством клиники и найти компромиссное решение, рассмотрев снимки до лечения и после и в динамике, если есть. Если вы давний пациент клиники и руководство любит и ценит своих пациентов, то обязательно найдёте компромиссное решение. В суде сложно будет что-либо доказать, тем более если вышел срок гарантии.

По поводу дальнейшего протезирования и лечения, Вы написали вариант не ставить сразу коронки после лечения, все верно, только необходимо установить временные коронки, как диагностика на пару месяцев, это оптимальное решение чтобы избавить Вас от страха и выявить возможные проблемы лечения.

Только без агрессии она мало кому помогает. Удачи Вам

  • Поддерживаю 4
Ссылка на комментарий

 

 

1)Есть ли право у пациента требовать бесплатное повторное лечение?   2)Повторное лечение платит пациент ,но повторное изготовление коронок оплачивает стоматология?   3)Если никаких гарантий нет и не может быть , есть ли смысл повторно за свой счет лечить и ставить коронки?Очень высока вероятность повторения.     4)Если вину с стоматолога снимает,  что сделал неправильно пациент?    - возможно не надо было все три зуба делать у одного врача?    - коронку ставить не сразу , а только спустя несколько месяцев ,убедившись,что в корнях не развивается инфекция.

Нет, гарантий на лечение каналов не бывает в принципе. Т.к. результат зависит не только от действий врача, но и от вашего организма, на который мы повлиять не можем.

По поводу переделки коронок, гарантия была бы актуальна если бы с самими коронками что-то случилось( к примеру, откололся кусочек).

 

 

временные коронки, как диагностика на пару месяцев, это оптимальное решение чтобы избавить Вас от страха и выявить возможные проблемы лечения.

Это логичный вариант для проблемных зубов. Только временные коронки обязательны. 

Ссылка на комментарий

Для публикации сообщений создайте учётную запись или авторизуйтесь

Вы должны быть пользователем, чтобы оставить комментарий

Создать аккаунт

Зарегистрируйте новый аккаунт в нашем сообществе. Это очень просто!

Регистрация нового пользователя

Войти

Уже есть аккаунт? Войти в систему.

Войти
×
×
  • Создать...
Вверх