Evikrol Опубликовано 16 августа, 2016 Поделиться Опубликовано 16 августа, 2016 http://s017.radikal.ru/i438/1608/08/b97b5597a479.jpghttp://s011.radikal.ru/i317/1608/04/7613240f1e60.jpgтолько что установленный тмплантат, на одном снимке без фильтров, на другом с увеличением резкости и визуализируется щель как на ваших снимках. По этому снимите резкость и заливайте снимок. Ссылка на комментарий
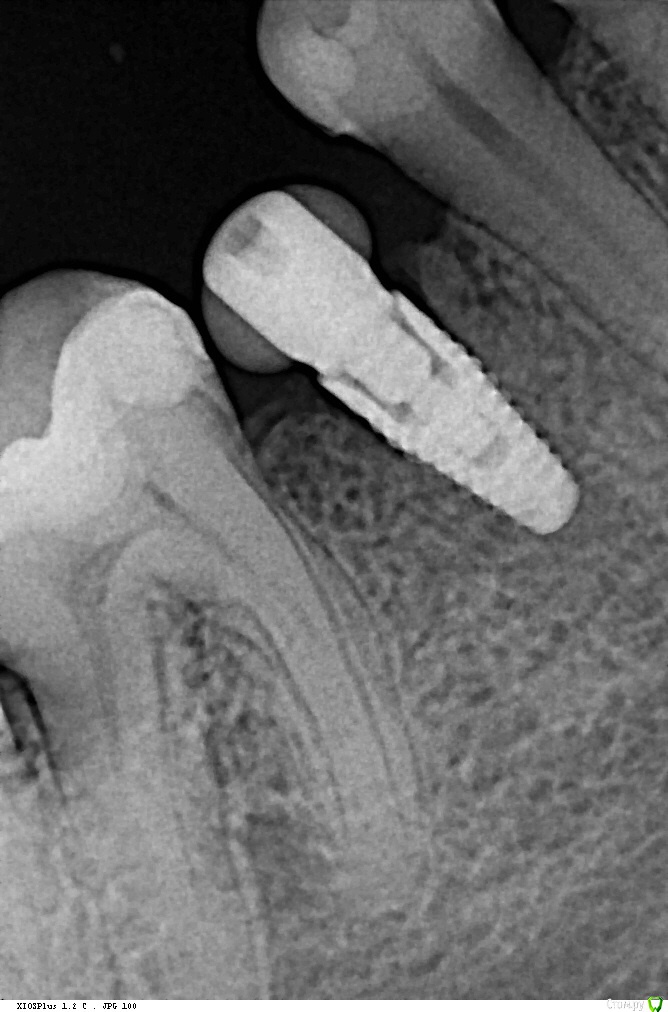
Кариес+ Опубликовано 29 августа, 2016 Автор Поделиться Опубликовано 29 августа, 2016 Картина спустя месяц, пока все стабильно, немного индивидуализировал формик. Кажись десны немного маловато. Каким методом лучше провести пластику , конверт? Ссылка на комментарий
Кариес+ Опубликовано 29 августа, 2016 Автор Поделиться Опубликовано 29 августа, 2016 (изменено) По высоте было миллиметра 3 Изменено 29 августа, 2016 пользователем Кариес+ Ссылка на комментарий
Fibez Опубликовано 29 августа, 2016 Поделиться Опубликовано 29 августа, 2016 десны достаточно 2 Ссылка на комментарий
red_butler Опубликовано 29 августа, 2016 Поделиться Опубликовано 29 августа, 2016 десны достаточно+ 1 Ссылка на комментарий
Рекомендуемые сообщения
Для публикации сообщений создайте учётную запись или авторизуйтесь
Вы должны быть пользователем, чтобы оставить комментарий
Создать аккаунт
Зарегистрируйте новый аккаунт в нашем сообществе. Это очень просто!
Регистрация нового пользователяВойти
Уже есть аккаунт? Войти в систему.
Войти