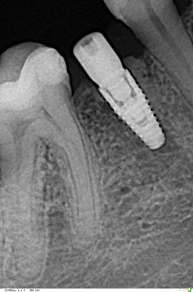
Кариес+ Опубликовано 26 июля, 2016 Поделиться Опубликовано 26 июля, 2016 Добрый день уважаемые коллеги. В область отсутствующего зуба 45 одномоментно после удаления был установлен имплантат нобель 3.5 с торком 35. Первый снимок сразу после установки, вторые через два месяца спустя Ссылка на комментарий
Кариес+ Опубликовано 26 июля, 2016 Автор Поделиться Опубликовано 26 июля, 2016 Смущает щель между импл и костью . Фиброинтеграция или незрелая не рентгеноконтрасная кость? Ссылка на комментарий
Доктор Хаус Опубликовано 26 июля, 2016 Поделиться Опубликовано 26 июля, 2016 Крутить пробовали ? Если "ой тест" положительный то вынимать. Если отрицательный значит нерентгеноконтрастная кость.) 3 Ссылка на комментарий
Brusnitsyn Dmitrii Опубликовано 26 июля, 2016 Поделиться Опубликовано 26 июля, 2016 Мне кажется уйдет... Ссылка на комментарий
AlexanderGudkov Опубликовано 26 июля, 2016 Поделиться Опубликовано 26 июля, 2016 Графт был?Если нет, то вожможно не зрелая костьПодждал бы еще месяц и дал торк Ссылка на комментарий
TIGER Опубликовано 26 июля, 2016 Поделиться Опубликовано 26 июля, 2016 Такое ощущение,что не дозаглубили........а просто положили в лунку.Надо было заглубить там кости полно,это важный момент для одномоментной 2 Ссылка на комментарий
Nazim_NV86 Опубликовано 26 июля, 2016 Поделиться Опубликовано 26 июля, 2016 Такое ощущение,что не дозаглубили........а просто положили в лунку.Надо было заглубить там кости полно,это важный момент для одномоментнойНе всегда удаётся заглубить. Дать торк главное, минимум 50. Ссылка на комментарий
Nazim_NV86 Опубликовано 26 июля, 2016 Поделиться Опубликовано 26 июля, 2016 Добрый день уважаемые коллеги. В область отсутствующего зуба 45 одномоментно после удаления был установлен имплантат нобель 3.5 с торком 35. Первый снимок сразу после установки, вторые через два месяца спустя Торк давали трещёткой или наконечником? Обязательно самому трещёткой давать торк гораздо надёжнее. Ссылка на комментарий
Fibez Опубликовано 26 июля, 2016 Поделиться Опубликовано 26 июля, 2016 (изменено) не спешите вынимать. ждите обычные 6 месяцев. это может быть и просто "засветка" от винта Изменено 26 июля, 2016 пользователем Fibez Ссылка на комментарий
Кариес+ Опубликовано 26 июля, 2016 Автор Поделиться Опубликовано 26 июля, 2016 (изменено) Графта не было, крутить еще не пробовал , подожду еще месяцок и формик по шире поставлю. Если импл ушел , через месяц картина останется такой же или будет хуже на рг? Изменено 26 июля, 2016 пользователем Кариес+ Ссылка на комментарий
колесников Опубликовано 26 июля, 2016 Поделиться Опубликовано 26 июля, 2016 Фрезами проходили после удаления или просто в лунку закрутили? Ссылка на комментарий
Кариес+ Опубликовано 26 июля, 2016 Автор Поделиться Опубликовано 26 июля, 2016 (изменено) Фрезами проходили после удаления или просто в лунку закрутили? проходил Изменено 26 июля, 2016 пользователем Кариес+ Ссылка на комментарий
Evikrol Опубликовано 26 июля, 2016 Поделиться Опубликовано 26 июля, 2016 Да фонит ваш имплантат 2 Ссылка на комментарий
TemTeam Опубликовано 27 июля, 2016 Поделиться Опубликовано 27 июля, 2016 не спешите вынимать. ждите обычные 6 месяцев. это может быть и просто "засветка" от винта +100частенько нарываюсь на подобную картину. первое время очень пугало. но начиная работать имплант оказывался очень даже стабилен. так что думаю рано еще переживать Ссылка на комментарий
Evikrol Опубликовано 2 августа, 2016 Поделиться Опубликовано 2 августа, 2016 Что автор решил? Ссылка на комментарий
kriokov Опубликовано 2 августа, 2016 Поделиться Опубликовано 2 августа, 2016 Фонит на прицеле?! то же не встречался с таким, не панорама же или кт Ссылка на комментарий
Kovalov Igor Опубликовано 3 августа, 2016 Поделиться Опубликовано 3 августа, 2016 Крутить пробовали ? Если "ой тест" положительный то вынимать. Если отрицательный значит нерентгеноконтрастная кость.)Ой тест делать с анестезией ? Вот если случай без фдм а с заглушкой ? Небольшую инфильтрацию дать чтобы заглушку убрать и поставить имплантовод и дать нагрузку в 30-35н/см ? Ссылка на комментарий
Bier Опубликовано 3 августа, 2016 Поделиться Опубликовано 3 августа, 2016 разве термин "отторжение" применим к имплантации? ) мне кажется, что нельзя руководствоваться этим снимком для принятия решения. 2 Ссылка на комментарий
Доктор Хаус Опубликовано 4 августа, 2016 Поделиться Опубликовано 4 августа, 2016 Ой тест делать с анестезией ? Вот если случай без фдм а с заглушкой ? Небольшую инфильтрацию дать чтобы заглушку убрать и поставить имплантовод и дать нагрузку в 30-35н/см ?Даже с проводниковой анестезией будет больно, если произошла фиброинтеграция . А она происходит от того костное ложе перегрето или косное ложе не конгруэнтно самому имплантату . Для себя я четко усвоил что при одномоментный имплантации около 4 х мм имплантата должно быть в кости . По прицельным снимкам у меня сложилось впечатление что имплантат закручен в лунку. И костного ложа , здесь как такового нету . Вполне вероятно, что здесь произошла фибро интеграция ( неприжился) и поэтому на прицельном снимке вокруг имплантата определяется зона пониженной плотности. Ссылка на комментарий
voff Опубликовано 4 августа, 2016 Поделиться Опубликовано 4 августа, 2016 Даже с проводниковой анестезией будет больно, если произошла фиброинтеграция . А она происходит от того костное ложе перегрето или косное ложе не конгруэнтно самому имплантату . Для себя я четко усвоил что при одномоментный имплантации около 4 х мм имплантата должно быть в кости . По прицельным снимкам у меня сложилось впечатление что имплантат закручен в лунку. И костного ложа , здесь как такового нету . Вполне вероятно, что здесь произошла фибро интеграция ( неприжился) и поэтому на прицельном снимке вокруг имплантата определяется зона пониженной плотности.Как с языка снял вообще при таких условиях должно быть желание поставить подлинше и потолще Ссылка на комментарий
Доктор Хаус Опубликовано 4 августа, 2016 Поделиться Опубликовано 4 августа, 2016 разве термин "отторжение" применим к имплантации? ) мне кажется, что нельзя руководствоваться этим снимком для принятия решения.Олег Юрьевич , а вы какой термин используете ? Ссылка на комментарий
Evikrol Опубликовано 4 августа, 2016 Поделиться Опубликовано 4 августа, 2016 (изменено) выкрутите монитор на яркость, смотрите какой чёрный ореол даже вокруг ФДМ и эмали. Имхо артефакты. Возможно фильтр в проге по. Не нормальная картинка. ТС залейте любой другой снимок имплантата с вашего рентгена. Изменено 4 августа, 2016 пользователем Evikrol Ссылка на комментарий
Bier Опубликовано 5 августа, 2016 Поделиться Опубликовано 5 августа, 2016 Олег Юрьевич , а вы какой термин используете ?термин "отторжение" - подразумевает иммунный ответ к инородному телу, титановый имплантат не вызывает такого )Я пользуюсь термином - "не произошла остеоинтеграция", если отойти от терминов: "не прижился" 3 Ссылка на комментарий
Доктор Хаус Опубликовано 6 августа, 2016 Поделиться Опубликовано 6 августа, 2016 Так и думал) спасибо. Ссылка на комментарий
Доктор Добрых Дел Опубликовано 6 августа, 2016 Поделиться Опубликовано 6 августа, 2016 Вообще не вижу разницы между 3мя снимками. И на первом и на втором видна "щель". Ссылка на комментарий
Рекомендуемые сообщения
Для публикации сообщений создайте учётную запись или авторизуйтесь
Вы должны быть пользователем, чтобы оставить комментарий
Создать аккаунт
Зарегистрируйте новый аккаунт в нашем сообществе. Это очень просто!
Регистрация нового пользователяВойти
Уже есть аккаунт? Войти в систему.
Войти