Slaggy Опубликовано 19 июля, 2016 Поделиться Опубликовано 19 июля, 2016 История -Корень 22 с выведением материала и периапикальным процессом - Удаление, кюретаж, обработка лазером, имплант+фдм и домик Нуф-Нуфа приклеенный к 21 и 23.Через 4 месяца выкрутился за формирователь. Куча грануляций, вестибулярное окно на уровне апикальной трети импланта маргинальный край кости сохранен.. Сделано -Кюретаж, Остеон2, пародонкол, ушито. Домик Нуф-Нуфа возведен вновь. По прошествии 2х месяцев -Пациент жалуется на увеличение пространства между понтиком и десной. Периодическое попадание крошек материала в полость рта. Слизистая малинового цвета. Отека нет. "Промывное пространство" увеличилось на 2 мм. В толще слизистой гранулы Остеона. Некоторые совсем у поверхности, можно ковырять зондиком..Боли или неприятных ощущение пациент не испытывает. Убирать все или подождать? Чего ждать от ситуации? Ссылка на комментарий
kamranchick Опубликовано 19 июля, 2016 Поделиться Опубликовано 19 июля, 2016 История -Корень 22 с выведением материала и периапикальным процессом - Удаление, кюретаж, обработка лазером, имплант+фдм и домик Нуф-Нуфа приклеенный к 21 и 23.Через 4 месяца выкрутился за формирователь. Куча грануляций, вестибулярное окно на уровне апикальной трети импланта маргинальный край кости сохранен.. Сделано -Кюретаж, Остеон2, пародонкол, ушито. Домик Нуф-Нуфа возведен вновь. По прошествии 2х месяцев -Пациент жалуется на увеличение пространства между понтиком и десной. Периодическое попадание крошек материала в полость рта. Слизистая малинового цвета. Отека нет. "Промывное пространство" увеличилось на 2 мм. В толще слизистой гранулы Остеона. Некоторые совсем у поверхности, можно ковырять зондиком..Боли или неприятных ощущение пациент не испытывает. Убирать все или подождать? Чего ждать от ситуации?я бы подождал бы и ванночки ХГ почаще бы делал, остатки графта не убирал бы. так как некоторые частички держут слизистую, ну без фото трудно подсказать конечно же Ссылка на комментарий
syrovovec Опубликовано 20 июля, 2016 Поделиться Опубликовано 20 июля, 2016 снимочек хотя бы....ДСделал бы ревизию....скорее всего там каша... в любом случае если что то образовалось за 2 месяца, оно останется....а если там сейчас каша, то и через пол года она там и будет 1 Ссылка на комментарий
Slaggy Опубликовано 20 июля, 2016 Автор Поделиться Опубликовано 20 июля, 2016 (изменено) снимочек хотя бы....ДСделал бы ревизию....скорее всего там каша... в любом случае если что то образовалось за 2 месяца, оно останется....а если там сейчас каша, то и через пол года она там и будетНа снимке гранулы будут - никакого толка от него не будет. Меня больше заинтересовало такое всплывание графта сквозь слизистую. Ну, за 2 месяца пародонкол рассосался полностью, допустим, но надкостница же должна держать графт. И если не держит - то ее нет, а в лунке грануляционная в перемежку с графтом покрытая слизистой ???? Какова биология процесса?Хотя на ощупь - плотно. Изменено 20 июля, 2016 пользователем Slaggy Ссылка на комментарий
syrovovec Опубликовано 20 июля, 2016 Поделиться Опубликовано 20 июля, 2016 В пародонколе как мембране сильно сомневаюсь...Вскрытие покажет....хуже от ревизии не будет Ссылка на комментарий
koreandr Опубликовано 20 июля, 2016 Поделиться Опубликовано 20 июля, 2016 Если выходит материал, значит есть откуда выходить. Дырка. Вот и вся биология. Через 2 месяца после операции дырок быть не должно в идеале. Ссылка на комментарий
Fibez Опубликовано 20 июля, 2016 Поделиться Опубликовано 20 июля, 2016 Снимок! Даёшь снимок!!! Ссылка на комментарий
Slaggy Опубликовано 21 июля, 2016 Автор Поделиться Опубликовано 21 июля, 2016 В пародонколе как мембране сильно сомневаюсь...Вскрытие покажет....хуже от ревизии не будет пародонкол держит 2 месяца и неплохо держит форму.Хуже от ревизии не будет, но и пациент не обрадуется Думаю антибиотики на неделю,неделю паузу если слизистая не побелеет - ревизия 1 Ссылка на комментарий
Nazim_NV86 Опубликовано 22 июля, 2016 Поделиться Опубликовано 22 июля, 2016 Что за обработка лазером? Ссылка на комментарий
Slaggy Опубликовано 22 июля, 2016 Автор Поделиться Опубликовано 22 июля, 2016 Что за обработка лазером?Стерилизация лунки - Иногда лазером, иногда гексидином промываюЯ в это шаманство верю слабо, но "каждая мошка мяса - трошку" koreandrОтправлен 20 июля 2016 - 14:49Если выходит материал, значит есть откуда выходить. Дырка. Вот и вся биология. Через 2 месяца после операции дырок быть не должно в идеале. Вот и я о том - где мембран и периост? фоты нашел преоп и на момент фэйла снимок и фото Ссылка на комментарий
Доктор Хаус Опубликовано 22 июля, 2016 Поделиться Опубликовано 22 июля, 2016 Имплант не интегрирован. Я бы убрал понтик и посмотрел. Обычно пациенты сильно не жалуются , если идёт дезинтеграция имплантата. Ссылка на комментарий
koreandr Опубликовано 22 июля, 2016 Поделиться Опубликовано 22 июля, 2016 Как я понял, имплантата там нет Ссылка на комментарий
Nazim_NV86 Опубликовано 22 июля, 2016 Поделиться Опубликовано 22 июля, 2016 (изменено) Намешивай в графт немного доксициклина и пусть рана хоть сутки стерилизуется. Изменено 22 июля, 2016 пользователем Nazim_NV86 Ссылка на комментарий
Nazim_NV86 Опубликовано 22 июля, 2016 Поделиться Опубликовано 22 июля, 2016 Попробуй открыться конвертом и подшить туда лентой сст с бугра вертикально. Рост коллагена пойдёт на пользу. Кюретажить и сыпать ведь бестолку в такой ситуации. Ссылка на комментарий
Slaggy Опубликовано 22 июля, 2016 Автор Поделиться Опубликовано 22 июля, 2016 Попробуй открыться конвертом и подшить туда лентой сст с бугра вертикально. Рост коллагена пойдёт на пользу. Кюретажить и сыпать ведь бестолку в такой ситуации. это старые фото на момент дезинтеграции имплантасейчас вестибулярно ушло и по высоте ушлофото нет назначил антибиотикичерез пару недель посмотрим, как события развиваются думаю за луночковый остеомиелит Ссылка на комментарий
Доктор Хаус Опубликовано 23 июля, 2016 Поделиться Опубликовано 23 июля, 2016 Вы хотите что бы имплантат обратно интегрироваться? Ссылка на комментарий
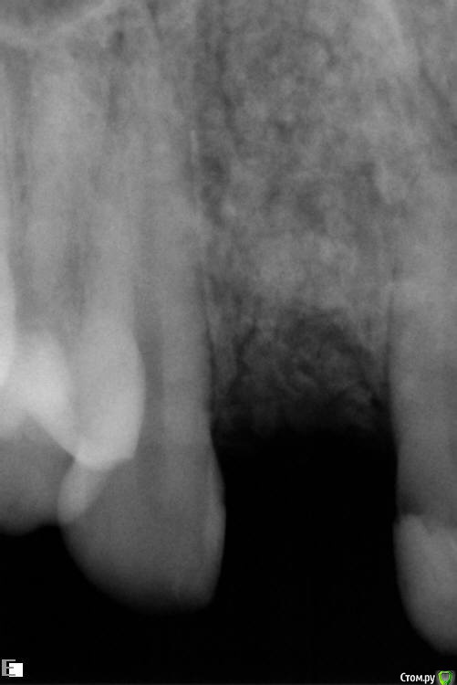
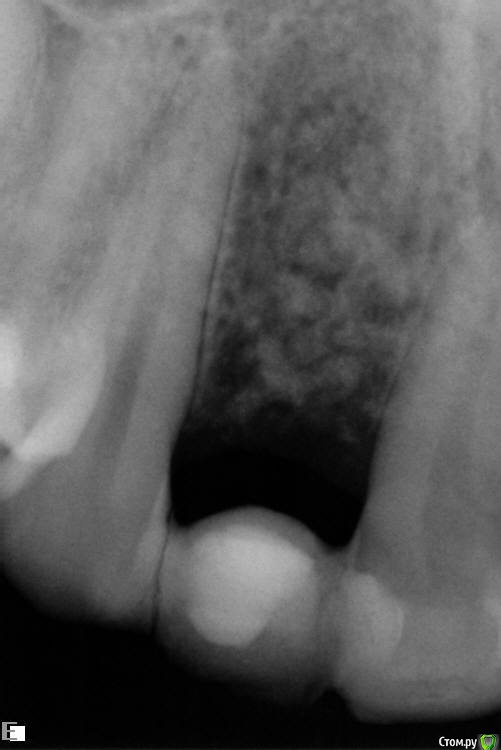
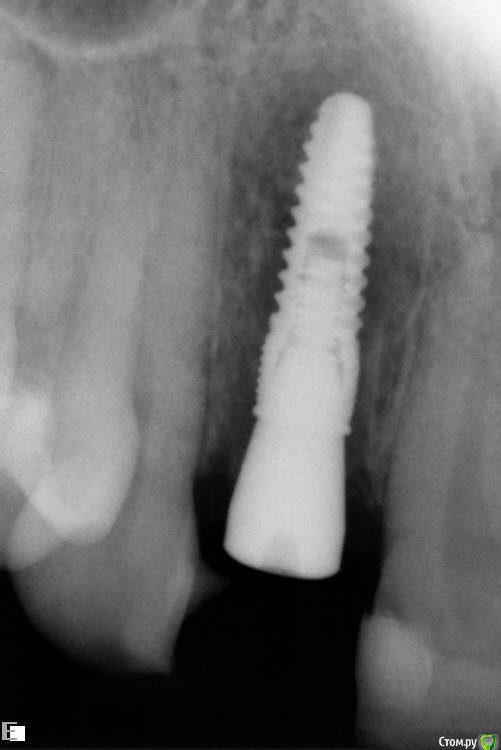
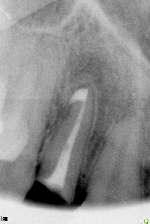
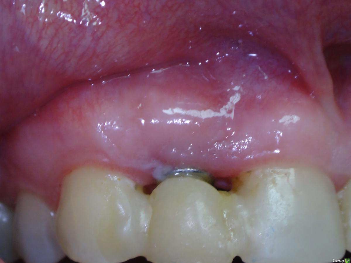
Slaggy Опубликовано 15 августа, 2016 Автор Поделиться Опубликовано 15 августа, 2016 (изменено) Тут просили картинки-20/05,2016 , 15/08,2016 Графт продолжает всплывать через слизистую, хрустит при пальпации области аугментации Почистил слизистую от графта, дам паузу 2 недели и вычищаю все начисто. Изменено 15 августа, 2016 пользователем Slaggy Ссылка на комментарий
Рекомендуемые сообщения
Для публикации сообщений создайте учётную запись или авторизуйтесь
Вы должны быть пользователем, чтобы оставить комментарий
Создать аккаунт
Зарегистрируйте новый аккаунт в нашем сообществе. Это очень просто!
Регистрация нового пользователяВойти
Уже есть аккаунт? Войти в систему.
Войти