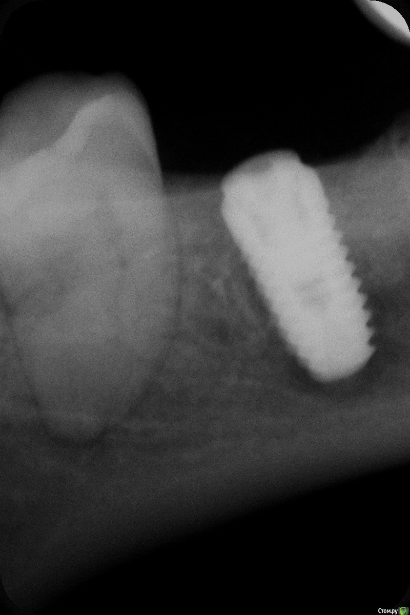
johniola Опубликовано 19 июля, 2016 Поделиться Опубликовано 19 июля, 2016 (изменено) История такая! Месяцев 7 назад удалили 47зуб,была вылущена киста и уложен аллографт (корея).Через 6 месяцев получили кость и установили имплант 4.3 на 10 мм.Через неделю у пациента начались боли и имплант был удалён.Какие мысли ?Вечный вопрос почему? Сверление свежими фрезами на 600 оборотов.Торг при установке около 30. Изменено 19 июля, 2016 пользователем johniola 1 Ссылка на комментарий
kamranchick Опубликовано 19 июля, 2016 Поделиться Опубликовано 19 июля, 2016 заглушку нормально прикрутили? что то она открутиласьдо нерва норм места было? Ссылка на комментарий
johniola Опубликовано 19 июля, 2016 Автор Поделиться Опубликовано 19 июля, 2016 заглушку нормально прикрутили? что то она открутиласьдо нерва норм места было?Заглушка там нормально,до нерва почти впритык,но с этим проблемм не было. Ссылка на комментарий
kamranchick Опубликовано 19 июля, 2016 Поделиться Опубликовано 19 июля, 2016 первый снимок это сразу после операции либо когда прошло неделю? Ссылка на комментарий
dantist_movani Опубликовано 19 июля, 2016 Поделиться Опубликовано 19 июля, 2016 н/ч канал очень близко. Анализы крови в норме? Ссылка на комментарий
stommm Опубликовано 19 июля, 2016 Поделиться Опубликовано 19 июля, 2016 Кость кровила при подготовке ложа? Иррадиации не было? Кроме нч нерва чему там болеть...? Ссылка на комментарий
АнтонТЛТ Опубликовано 19 июля, 2016 Поделиться Опубликовано 19 июля, 2016 Может быть перфорация, гиперкомпрессия или отлом кортикалки язычного поднутрения. Инфицирование ложа слюной. Ссылка на комментарий
Maxfac Опубликовано 19 июля, 2016 Поделиться Опубликовано 19 июля, 2016 Торг при установке около 30.А вот это надо взять на заметку) Начинать торг непосредственно во время установки) Сорри за оффтоп, молчу. Несмешно. 10 Ссылка на комментарий
АнтонТЛТ Опубликовано 19 июля, 2016 Поделиться Опубликовано 19 июля, 2016 А вот это надо взять на заметку) Начинать торг непосредственно во время установки) Сорри за оффтоп, молчу. Несмешно.Жжешь)))) Ссылка на комментарий
johniola Опубликовано 20 июля, 2016 Автор Поделиться Опубликовано 20 июля, 2016 А вот это надо взять на заметку) Начинать торг непосредственно во время установки) Сорри за оффтоп, молчу. Несмешно.Да не было там денег,пациентка родственница Ссылка на комментарий
johniola Опубликовано 20 июля, 2016 Автор Поделиться Опубликовано 20 июля, 2016 Может быть перфорация, гиперкомпрессия или отлом кортикалки язычного поднутрения. Инфицирование ложа слюной.Не знаю на счёт слюны,ассистент работал хорошо.Отлом кортикалки ? не заметил. Ссылка на комментарий
johniola Опубликовано 20 июля, 2016 Автор Поделиться Опубликовано 20 июля, 2016 первый снимок это сразу после операции либо когда прошло неделю?первый снимок сразу после установки,второй через неделю Ссылка на комментарий
johniola Опубликовано 20 июля, 2016 Автор Поделиться Опубликовано 20 июля, 2016 Кость кровила при подготовке ложа? Иррадиации не было? Кроме нч нерва чему там болеть...?после имплантации всё было нормально,не было ни уменьшения чувсвительности,ни иррадиации. Ссылка на комментарий
Евгений Ходыкин Опубликовано 20 июля, 2016 Поделиться Опубликовано 20 июля, 2016 Вывод: прекращайте пихать в лунку графт. Усё на сгустке ведите 1 Ссылка на комментарий
TemTeam Опубликовано 20 июля, 2016 Поделиться Опубликовано 20 июля, 2016 Вывод: прекращайте пихать в лунку графт. Усё на сгустке ведите тогда напрашивается вопрос! зачем вообще графт. вывод по многим темам-на сгустке тоже все хорошо! Ссылка на комментарий
Евгений Ходыкин Опубликовано 20 июля, 2016 Поделиться Опубликовано 20 июля, 2016 тогда напрашивается вопрос! зачем вообще графт. вывод по многим темам-на сгустке тоже все хорошо!Ну я для себя "сокет презервейшены" прекратил практически делать... 3 Ссылка на комментарий
red_butler Опубликовано 20 июля, 2016 Поделиться Опубликовано 20 июля, 2016 пациентка родственница Вот Вам и ответ, тестю один из трех винтов, два раза переставлял. Первый раз не интегрировался - не прошел ой тест, второй с диким воспалением, пришлось удалить через неделю. С третьего все гуд и стоит уже года четыре))) 2 Ссылка на комментарий
johniola Опубликовано 20 июля, 2016 Автор Поделиться Опубликовано 20 июля, 2016 Ну я для себя "сокет презервейшены" прекратил практически делать...просто после вылущивания кисты,пытались сохранить какой то объём. там по высоте места было с гулькин х. 1 Ссылка на комментарий
kamranchick Опубликовано 20 июля, 2016 Поделиться Опубликовано 20 июля, 2016 Заглушке странная какая то))) как будто не плотно сидит)) Ссылка на комментарий
johniola Опубликовано 20 июля, 2016 Автор Поделиться Опубликовано 20 июля, 2016 Заглушке странная какая то))) как будто не плотно сидит))заглушка от другой модели импланта,подходит и к этому. Просто на этих имплантах заглушка идёт отдельно,у меня их много в коробочке,вот и эта попалась под руку Ссылка на комментарий
Евгений Ходыкин Опубликовано 20 июля, 2016 Поделиться Опубликовано 20 июля, 2016 просто после вылущивания кисты,пытались сохранить какой то объём. там по высоте места было с гулькин х.Сколько выждали после удаления?? Ссылка на комментарий
Евгений Ходыкин Опубликовано 20 июля, 2016 Поделиться Опубликовано 20 июля, 2016 6 мес, сорри, ослеп) Ссылка на комментарий
Евгений Ходыкин Опубликовано 20 июля, 2016 Поделиться Опубликовано 20 июля, 2016 Я думаю в алло причина всё-таки... Ссылка на комментарий
Fibez Опубликовано 20 июля, 2016 Поделиться Опубликовано 20 июля, 2016 Джохниола (блин, надеюсь правильно пишу), причина может быть любая. От "запихали" какую-нить гадость из полости рта, до какой-нить не выявленной общесоматической проблемы. Никто Вам ничего конкретного не скажет. По описанию протокола и снимку (сомнительного качества) ничего необычного не видно. Про слюну на поверхности винта... Был у меня с полгода назад пациент на 3.5 и 3.7 А ася была неопытная. Совсем. А пациент ну очень языкастый. Так он мне оба импланта в слюне вымочил целиком и еще и языком по ним поелозил как следует. В результате всё зажило как обычно. Ссылка на комментарий
kriokov Опубликовано 20 июля, 2016 Поделиться Опубликовано 20 июля, 2016 (изменено) просто после вылущивания кисты,пытались сохранить какой то объём. там по высоте места было с гулькин х.мембрана (любая, лишь бы перекрыть ее можно было, и ауто скребком, для сохранения. Прокатывает. Или ничего, тоже вариантПричина, думаю не было даже остеоида после графтинга через 6 мес, чего то типа фиброза, болт торкнул на кортикалке, а вместо губчатой за счет чего и идет интеграция, какой то фиброз был. Изменено 20 июля, 2016 пользователем kriokov 2 Ссылка на комментарий
Рекомендуемые сообщения
Для публикации сообщений создайте учётную запись или авторизуйтесь
Вы должны быть пользователем, чтобы оставить комментарий
Создать аккаунт
Зарегистрируйте новый аккаунт в нашем сообществе. Это очень просто!
Регистрация нового пользователяВойти
Уже есть аккаунт? Войти в систему.
Войти