Виноградов Опубликовано 18 июля, 2016 Поделиться Опубликовано 18 июля, 2016 Добрый день!Подскажите с чем могут быть связаны ноющие ощущения в области импланта, после вживления прошел ровно месяц. Снимок прилагаю! Ссылка на комментарий
red_butler Опубликовано 18 июля, 2016 Поделиться Опубликовано 18 июля, 2016 К своему врачу обращались? Перезалейте снимок через радикал, а то он маленький и ничего не видно. Ссылка на комментарий
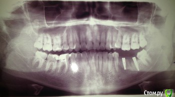
Виноградов Опубликовано 18 июля, 2016 Автор Поделиться Опубликовано 18 июля, 2016 К своему врачу обращались? Перезалейте снимок через радикал, а то он маленький и ничего не видно.обращался говорит все нормально, но как может быть нормально если ноет. http://s014.radikal.ru/i327/1607/a3/1d09b7648e0a.png Ссылка на комментарий
red_butler Опубликовано 18 июля, 2016 Поделиться Опубликовано 18 июля, 2016 обращался говорит все нормально, но как может быть нормально если ноет. http://s014.radikal.ru/i327/1607/a3/1d09b7648e0a.pngнет, это не нормально, нужен очный осмотр, есть вопросы по дальнему импланту. Ссылка на комментарий
red_butler Опубликовано 18 июля, 2016 Поделиться Опубликовано 18 июля, 2016 покажите фото Ссылка на комментарий
Виноградов Опубликовано 18 июля, 2016 Автор Поделиться Опубликовано 18 июля, 2016 покажите фотоСнимок вам прислал, подскажите а что с дальним имплантом? Ссылка на комментарий
red_butler Опубликовано 18 июля, 2016 Поделиться Опубликовано 18 июля, 2016 Снимок вам прислал фото во рту Ссылка на комментарий
Виноградов Опубликовано 18 июля, 2016 Автор Поделиться Опубликовано 18 июля, 2016 фото во рту не получается сделать одному( Ссылка на комментарий
Виноградов Опубликовано 18 июля, 2016 Автор Поделиться Опубликовано 18 июля, 2016 фото во рту вот все что получилось.http://s019.radikal.ru/i618/1607/48/52dc3ac3201d.jpg Ссылка на комментарий
red_butler Опубликовано 18 июля, 2016 Поделиться Опубликовано 18 июля, 2016 http://s019.radikal.ru/i618/1607/48/52dc3ac3201d.jpgзуб мудрости удалить, в области дальнего импланта резорбция кости, плюс просвечивает заглушка.Покажитесь еже раз своему врачу Ссылка на комментарий
Виноградов Опубликовано 18 июля, 2016 Автор Поделиться Опубликовано 18 июля, 2016 зуб мудрости удалить, в области дальнего импланта резорбция кости, плюс просвечивает заглушка.Покажитесь еже раз своему врачуа это плохо когда заглушка просвечивается? странно был в добромете и еще одной клинике, про 8 зуб сказали не трогать он здоровый. Ссылка на комментарий
red_butler Опубликовано 18 июля, 2016 Поделиться Опубликовано 18 июля, 2016 а это плохо когда заглушка просвечивается? плохо странно был в добромете и еще одной клинике, про 8 зуб сказали не трогать он здоровый. он не до конца прорезался и судя по снимку - кариозный Ссылка на комментарий
Виноградов Опубликовано 18 июля, 2016 Автор Поделиться Опубликовано 18 июля, 2016 плохо он не до конца прорезался и судя по снимку - кариозный Да нет, это как раз он прорезался до конца, это после ушивания когда швы сняли десна залезла на зуб, до имплантации такого не было.Он был полностью прорезан. Ссылка на комментарий
dok1 Опубликовано 19 июля, 2016 Поделиться Опубликовано 19 июля, 2016 Когда нибудь зуб мудрости " натворит делов " и протезирование на имплантах можно считать не состоятельным. Дальний имплант незаглублен до нужного уровня. И паралел нее ближнему желательно бы его поставить. Таким образом можно уйти на винтовую фиксацию от цементной. У дальнего импланта микрорезьба скорее всего ифицирована, верхний срез импланта на снимке в идеале должен быть вровень с окружающей костью. Ссылка на комментарий
Виноградов Опубликовано 19 июля, 2016 Автор Поделиться Опубликовано 19 июля, 2016 Когда нибудь зуб мудрости " натворит делов " и протезирование на имплантах можно считать не состоятельным. Дальний имплант незаглублен до нужного уровня. И паралел нее ближнему желательно бы его поставить. Таким образом можно уйти на винтовую фиксацию от цементной. У дальнего импланта микрорезьба скорее всего ифицирована, верхний срез импланта на снимке в идеале должен быть вровень с окружающей костью.Можно подробней что может натворить зуб мудрости, как понять уйти на винтовую фиксацию, и что значит микрорезьба инфицирована? Ссылка на комментарий
rivezico Опубликовано 22 июля, 2016 Поделиться Опубликовано 22 июля, 2016 Незаглублены, судя по снимку, оба винта. Можно подробней что может натворить зуб мудрости имхо зуб надо было удалить что значит микрорезьба инфицирована? инфицирование имплантата. такое может быть в Вашем случае, хотя не факт. то что прорезалась заглушка - плохо. Ссылка на комментарий
Виноградов Опубликовано 22 июля, 2016 Автор Поделиться Опубликовано 22 июля, 2016 Незаглублены, судя по снимку, оба винта. имхо зуб надо было удалить инфицирование имплантата. такое может быть в Вашем случае, хотя не факт. то что прорезалась заглушка - плохо. И как их заглубить? Ссылка на комментарий
red_butler Опубликовано 22 июля, 2016 Поделиться Опубликовано 22 июля, 2016 И как их заглубить? переставить 2 Ссылка на комментарий
Виноградов Опубликовано 22 июля, 2016 Автор Поделиться Опубликовано 22 июля, 2016 переставитьНеужели нельзя так оставить? Был у доктора, он посмотрел сказал что все нормально, просто ушил его под десну и все. Ссылка на комментарий
red_butler Опубликовано 22 июля, 2016 Поделиться Опубликовано 22 июля, 2016 Неужели нельзя так оставить? Был у доктора, он посмотрел сказал что все нормально, просто ушил его под десну и все.можно, потребуется работа с мягкими тканями. Если бы данную работу делал я, то убрал бы мудрый зуб, выкрутил дальний имплант и сразу установил новый.Боли прошли? 1 Ссылка на комментарий
Виноградов Опубликовано 22 июля, 2016 Автор Поделиться Опубликовано 22 июля, 2016 можно, потребуется работа с мягкими тканями. Если бы данную работу делал я, то убрал бы мудрый зуб, выкрутил дальний имплант и сразу установил новый.Боли прошли?Пока еще нет, так как швы наложили сегодня третий день, думаю что еще болит от разрезов. Ссылка на комментарий
rivezico Опубликовано 22 июля, 2016 Поделиться Опубликовано 22 июля, 2016 (изменено) можно, потребуется работа с мягкими тканями. Если бы данную работу делал я, то убрал бы мудрый зуб, выкрутил дальний имплант и сразу установил новый.Боли прошли?++ согласен! Еще поставил бы дальный имплантат покороче. Изменено 22 июля, 2016 пользователем rivezico Ссылка на комментарий
Виноградов Опубликовано 4 августа, 2016 Автор Поделиться Опубликовано 4 августа, 2016 ++ согласен! Еще поставил бы дальный имплантат покороче.8 зуб удалили, вот прошло 2 недели, но все ровно какие то ощущения легкие пульсирующие такие не требующие обезболивающего в месте удаления и импланта есть.Доктор осматривает все заживает хорошо, десна не восполнена. Я уже не знаю на что думать, но это штука не дает нормально жить, не то что боль а просто переживаю. Ссылка на комментарий
Виноградов Опубликовано 4 августа, 2016 Автор Поделиться Опубликовано 4 августа, 2016 можно, потребуется работа с мягкими тканями. Если бы данную работу делал я, то убрал бы мудрый зуб, выкрутил дальний имплант и сразу установил новый.Боли прошли?8 зуб удалили недели 2 назад. Боли остались ну не то что боли, а пульсация такая легкая, не могу понять в чем дело, а еще зубы все в состоянии закрытого рта бывает ощущение как булдто выпил горячей воды и резко рот открыл зимой. вот такие бываю тоже ощущения. Ссылка на комментарий
Рекомендуемые сообщения
Для публикации сообщений создайте учётную запись или авторизуйтесь
Вы должны быть пользователем, чтобы оставить комментарий
Создать аккаунт
Зарегистрируйте новый аккаунт в нашем сообществе. Это очень просто!
Регистрация нового пользователяВойти
Уже есть аккаунт? Войти в систему.
Войти