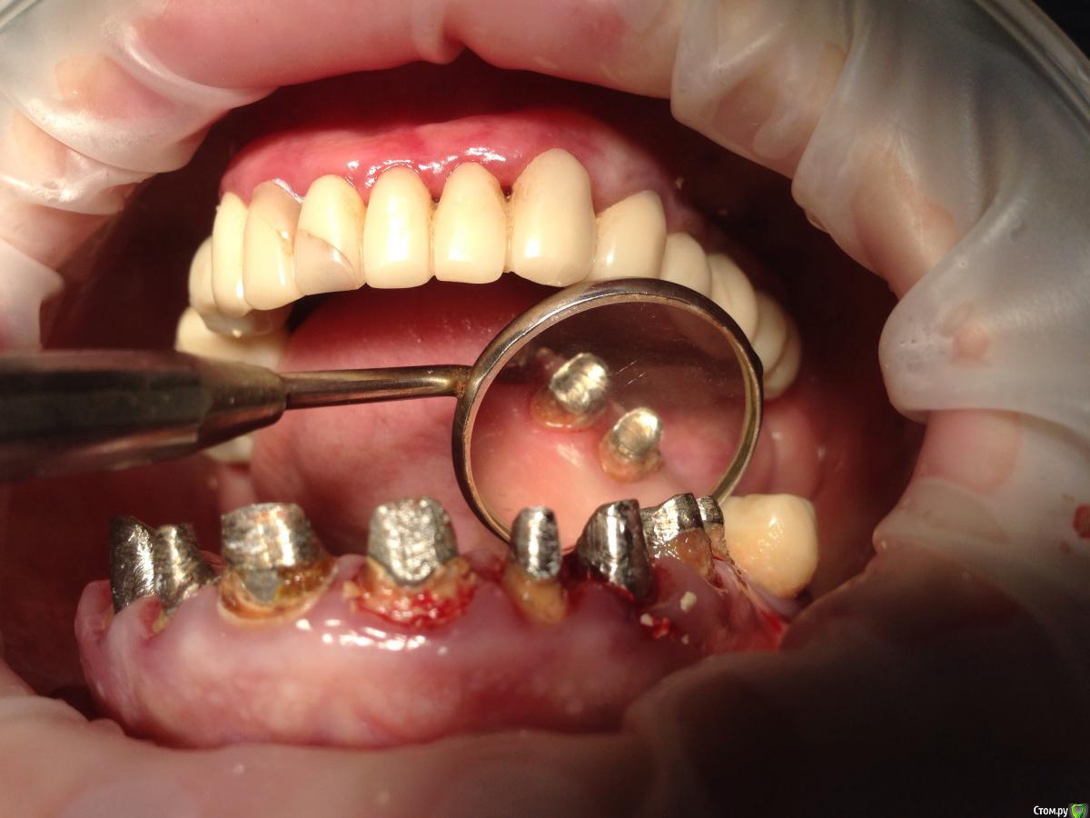
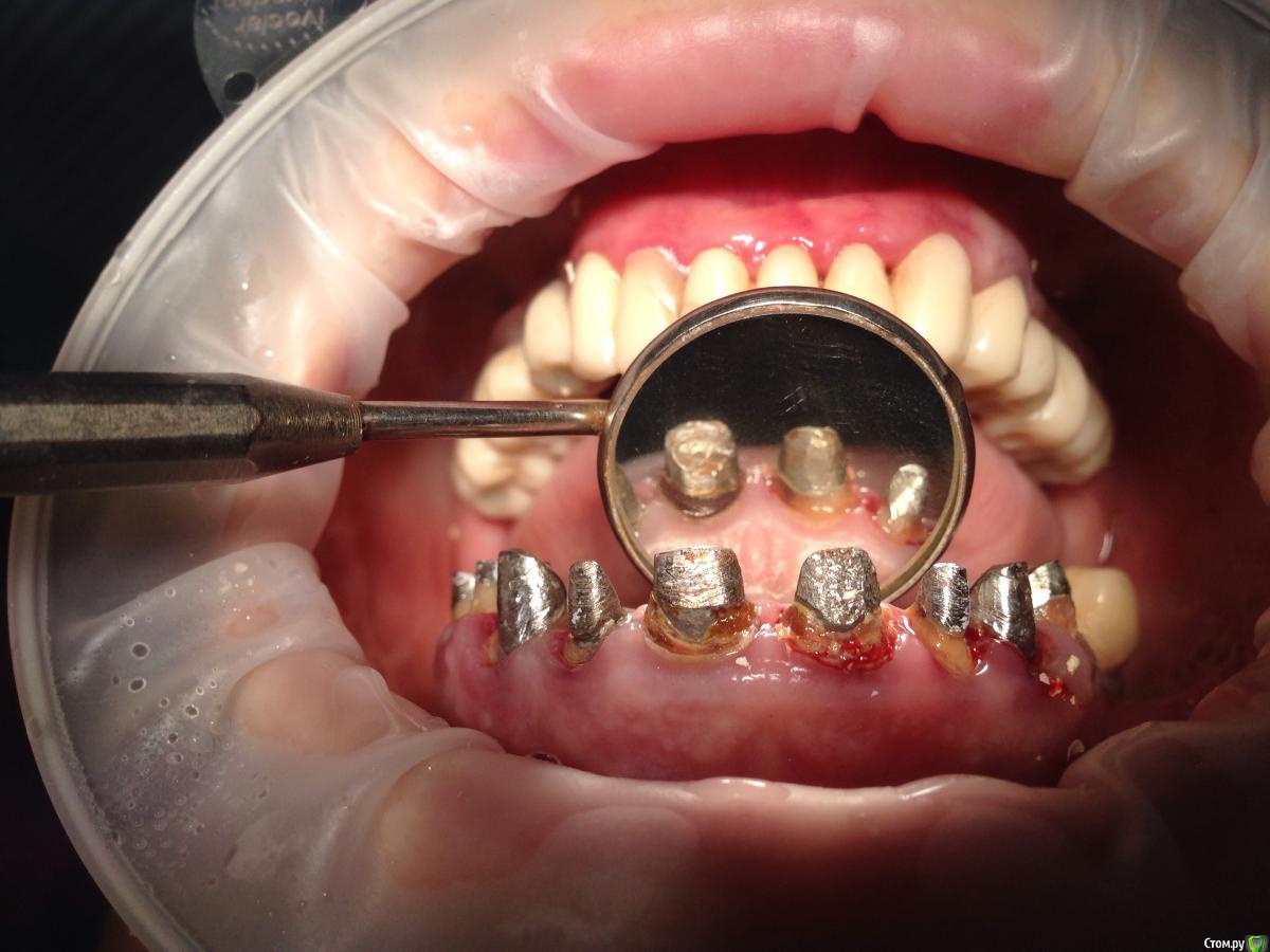
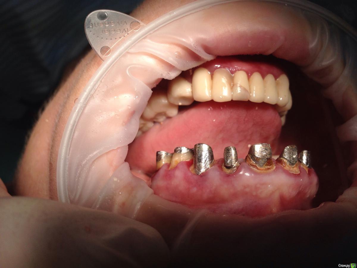
Bratok Опубликовано 17 июля, 2016 Поделиться Опубликовано 17 июля, 2016 Коллеги, всем привет! Вот такая пациентка в клинике был доктор у нас с 20 летним стажем, она уехала сейчас и не работает. Протезировала пациентку.. Были изготовлены временные коронки.. Судя по всему страдал герметизм и под ними все печально.. Десне и феррулу хана...Чтобы Вы тут посоветовали? Планировалось к нее мк... Сделать в 3 сегмента 3-3 и остальные блоком. Какой прогноз? Лет 5? Извиняюсь за качество rg.. Ссылка на комментарий
AndyAndy Опубликовано 17 июля, 2016 Поделиться Опубликовано 17 июля, 2016 Привет! М-да, печаль беда.... Мы же с вами понимаем что все это надо извлекать, убирать кариес и смотреть на то что останется. Возможно хир удлинение коронковой части. Пациентка как настроена вообще? вы наверняка объяснили ей чем она рискует. Но все- таки стремно так все оставлять. Там герметизм нарушен и между вкладками и стенками канала, 100%. Ссылка на комментарий
Bratok Опубликовано 17 июля, 2016 Автор Поделиться Опубликовано 17 июля, 2016 там нарушено все, что могло быть нарушено Ссылка на комментарий
Сева северный Опубликовано 19 июля, 2016 Поделиться Опубликовано 19 июля, 2016 (изменено) Убирайте измененные ткани, дальше по ситуации....... Изменено 19 июля, 2016 пользователем Сева северный 1 Ссылка на комментарий
art700 Опубликовано 14 августа, 2016 Поделиться Опубликовано 14 августа, 2016 Что с кейсом? Ссылка на комментарий
Evgen-Vozhd Опубликовано 16 августа, 2016 Поделиться Опубликовано 16 августа, 2016 Объяснил бы ситуацию пациентке.делал бы все одиночками. по мере вылета зубов в будущем доставлять имплантаты. Или вариант 2: extr. всех зубов , имплантация в позицию 11,13,14,16,21,23,24,26, 42,32, времянки на импланты во фронт, одномоментное постоянное протезирование Ссылка на комментарий
Bratok Опубликовано 16 августа, 2016 Автор Поделиться Опубликовано 16 августа, 2016 Говорил с пациенткой о ее состоянии, пока что не хочет ничего удалять. На свой страх и риск просит протезировать то что есть.. Пока я в отпуске, сделал ей новые времянки чуть герметичее..на мой взгляд если вдруг она снова пропадет..я ей предложил делать маленькими мостами и если будут вылетать то готовиться к all on 6 на верху..ну или другие варианты.Ну и нижние на имплантатах протезируем Ссылка на комментарий
Kolchanov Опубликовано 16 августа, 2016 Поделиться Опубликовано 16 августа, 2016 Ну а почему бы не вытащить, там где надо вытащить, при необходимости удлинить тем или иным способом и т.д.? На кариозную эту фигню будете протезировать? 1 Ссылка на комментарий
korotkevich Опубликовано 17 августа, 2019 Поделиться Опубликовано 17 августа, 2019 (изменено) Коллеги, всем привет! Вот такая пациентка в клинике был доктор у нас с 20 летним стажем, она уехала сейчас и не работает. Протезировала пациентку.. Были изготовлены временные коронки.. Судя по всему страдал герметизм и под ними все печально..Десне и феррулу хана...Чтобы Вы тут посоветовали?Планировалось к нее мк...Сделать в 3 сегмента 3-3 и остальные блоком. Какой прогноз? Лет 5?Извиняюсь за качество rg..В идеале доставать вкладки, убирать кариозные ткани, делать билдапы и затем либо хирургическое удлинение, либо вертипреп, либо и то, и другое; и металлокерамические коронки с гирляндой, таким образом сохраните максимально то, что есть Изменено 17 августа, 2019 пользователем korotkevich Ссылка на комментарий
Рекомендуемые сообщения
Для публикации сообщений создайте учётную запись или авторизуйтесь
Вы должны быть пользователем, чтобы оставить комментарий
Создать аккаунт
Зарегистрируйте новый аккаунт в нашем сообществе. Это очень просто!
Регистрация нового пользователяВойти
Уже есть аккаунт? Войти в систему.
Войти