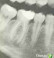
Craysley@rambler.ru Опубликовано 16 июля, 2016 Поделиться Опубликовано 16 июля, 2016 (изменено) Здравствуйте! Сегодня ходила на лечение зубного канала шестерки. Этот зуб до этого мне лечили лет 5 назад. Врач просверлил пломбу, кое-как добрался до корня зуба, вколол какие-то лекарства туда и установил временную пломбу. Сказал, что лекарство как должно постоять там хотя бы неделю. Однако, этим же днем, когда я жевала мягкую булочку, откололся кусочек стенки этого зуба.Вины стоматолога тут в любом случае нет, до этого там по линии разлома были две трещинки. Вроде с другой стороны тоже имеется трещина. Что теперь будет с зубом? Можно ли будет его восстановить пломбой? Прилагаю рентген зуба до сегодняшнего лечения. Изменено 16 июля, 2016 пользователем Craysley@rambler.ru Ссылка на комментарий
red_butler Опубликовано 16 июля, 2016 Поделиться Опубликовано 16 июля, 2016 Похоже просто скололся фрагмент старой пломбы, обратитесь в ближайшее время к своему врачу, временная реставрация должна быть герметичной. Ссылка на комментарий
St. Опубликовано 16 июля, 2016 Поделиться Опубликовано 16 июля, 2016 Что теперь будет с зубом? Можно ли будет его восстановить пломбой? Пломбой - нет. Нужна будет коронка. Про добавить временно пломбу пока с лекарством ходите - поддерживаю. Ссылка на комментарий
Craysley@rambler.ru Опубликовано 16 июля, 2016 Автор Поделиться Опубликовано 16 июля, 2016 Завтра собираюсь к своему стоматологу. Просто не хотелось бы никаких коронок, вставок или наращиваний... Ведь так понимаю будут еще часть зуба убирать. Надеялась, что удастся закрыть постоянной пломбой. Ссылка на комментарий
St. Опубликовано 16 июля, 2016 Поделиться Опубликовано 16 июля, 2016 До скола зубу тоже показана была коронка, т.к. он без нерва и с очень большой пломбой. С новой пломбой вы рискуете сломать стенку зуба на не прогнозируемую глубину. И тогда как повезет - или коронка или удаление зуба. 1 Ссылка на комментарий
red_butler Опубликовано 16 июля, 2016 Поделиться Опубликовано 16 июля, 2016 Выбор не велик, или коронка на зубе, либо на импланте. Ссылка на комментарий
Рекомендуемые сообщения
Для публикации сообщений создайте учётную запись или авторизуйтесь
Вы должны быть пользователем, чтобы оставить комментарий
Создать аккаунт
Зарегистрируйте новый аккаунт в нашем сообществе. Это очень просто!
Регистрация нового пользователяВойти
Уже есть аккаунт? Войти в систему.
Войти