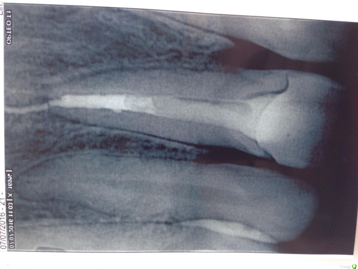
*Katerina* Опубликовано 16 июля, 2016 Поделиться Опубликовано 16 июля, 2016 (изменено) Добрый день, дорогие врачи ) Очень нуждаюсь в вашей профессиональной консультации. Две недели назад был очень сильный удар по передним зубам, в результате которого треснула верхняя единица! Многострадальный зуб был уже депульпирован и установлен штифт, пломба со штифтом целые, треснула передняя стенка зуба (Трещина глубокая, на 3мм ниже уровня десны( внешне зуб выглядит целым). Мне предлагают два варианта: удаление и имплантация или восстановление остатков зуба с вкладкой и коронкой? Снимок выложу Изменено 16 июля, 2016 пользователем *Katerina* Ссылка на комментарий
red_butler Опубликовано 16 июля, 2016 Поделиться Опубликовано 16 июля, 2016 http://forum.stom.ru/topic/20613-sovety-patcientam-obiazatelno-k-prochteniiu/Отредактируйте свою тему и приведите в соответствие правилам форума. Ссылка на комментарий
red_butler Опубликовано 16 июля, 2016 Поделиться Опубликовано 16 июля, 2016 По этому снимку не возможно понять как проходит линия перелома. Нужен очный осмотр. Ссылка на комментарий
*Katerina* Опубликовано 18 июля, 2016 Автор Поделиться Опубликовано 18 июля, 2016 По этому снимку не возможно понять как проходит линия перелома. Нужен очный осмотр.Спасибо! Тему можно закрыть Ссылка на комментарий
red_butler Опубликовано 18 июля, 2016 Поделиться Опубликовано 18 июля, 2016 Спасибо! Решили проблему? Ссылка на комментарий
*Katerina* Опубликовано 20 июля, 2016 Автор Поделиться Опубликовано 20 июля, 2016 Решили проблему? Решилась на имплантацию) если переживу, обязательно поделюсь впечатлениями ) 1 Ссылка на комментарий
dok1 Опубликовано 21 июля, 2016 Поделиться Опубликовано 21 июля, 2016 Да переживёте. Всё будет хорошо. 1 Ссылка на комментарий
Рекомендуемые сообщения
Для публикации сообщений создайте учётную запись или авторизуйтесь
Вы должны быть пользователем, чтобы оставить комментарий
Создать аккаунт
Зарегистрируйте новый аккаунт в нашем сообществе. Это очень просто!
Регистрация нового пользователяВойти
Уже есть аккаунт? Войти в систему.
Войти