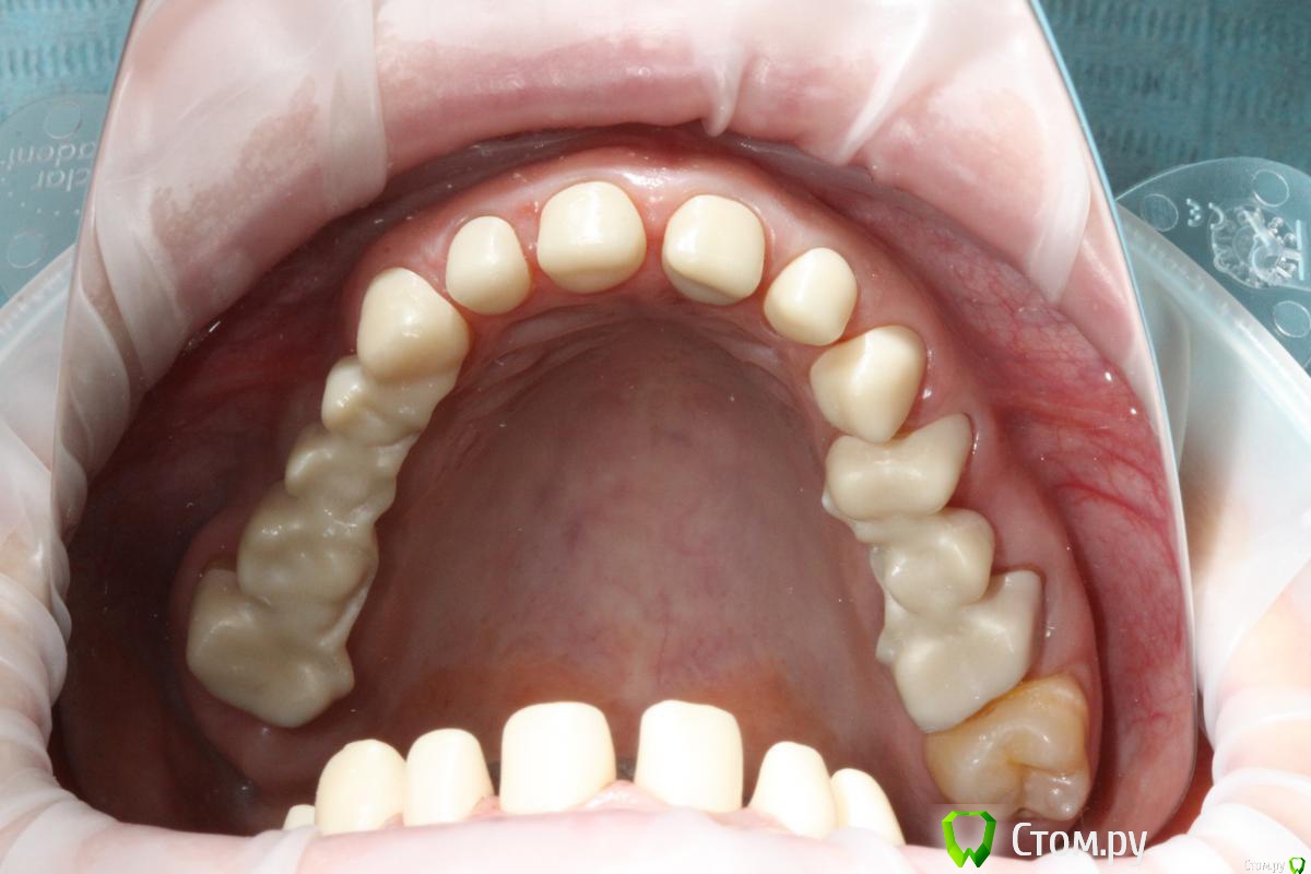
dr.Dre Опубликовано 15 июля, 2016 Поделиться Опубликовано 15 июля, 2016 (изменено) Добрый вечер коллеги,ситуация такая пациентка 40 лет,дефект 3 клас по Кеннеди,как спротезировать лучше? Изменено 15 июля, 2016 пользователем dr.Dre Ссылка на комментарий
pils Опубликовано 15 июля, 2016 Поделиться Опубликовано 15 июля, 2016 Имплантация, съемный протез или несъемный. Всего три варианта, чего тут думать?А если серьезно, коллега, то Вы же профессионал, должны понимать, что такие данные, как возраст и классификация по Кеннеди, конечно, важны, но их явно недостаточно, чтобы что-либо советовать помимо того, что написал в первой строчке. 1 Ссылка на комментарий
dr.Dre Опубликовано 15 июля, 2016 Автор Поделиться Опубликовано 15 июля, 2016 Имплантация, съемный протез или несъемный. Всего три варианта, чего тут думать?А если серьезно, коллега, то Вы же профессионал, должны понимать, что такие данные, как возраст и классификация по Кеннеди, конечно, важны, но их явно недостаточно, чтобы что-либо советовать помимо того, что написал в первой строчке.ну а мк ,можно поставить,не большая ли нагрузка будет на 2 зуба? Ссылка на комментарий
AndyAndy Опубликовано 16 июля, 2016 Поделиться Опубликовано 16 июля, 2016 ну а мк ,можно поставить,не большая ли нагрузка будет на 2 зуба?Будет большая нагрузка, вспомните правило Агапова-Оксмана. Но такие работы все мы встречали в практике. Тут многое зависит от вашего препа - слишком агрессивно запилите и будет расцементировка постоянная. Ссылка на комментарий
art700 Опубликовано 16 июля, 2016 Поделиться Опубликовано 16 июля, 2016 Вы хотите мост с 3 по 7 зуб поставить? Вы приколист))) На имплантацию мотивируйте. Ссылка на комментарий
chervoncevdaniil Опубликовано 16 июля, 2016 Поделиться Опубликовано 16 июля, 2016 Вы хотите мост с 3 по 7 зуб поставить? Вы приколист))) На имплантацию мотивируйте.[/На самом деле,смотря какие антагонисты.При правильном ретентивном препе и если 3 и 7 нормальные по размерам и количеству твёрдых тканей,такая конструкция в случае только металлокерамики (никакого циркона)имеет место быть 2 Ссылка на комментарий
MaxDok Опубликовано 16 июля, 2016 Поделиться Опубликовано 16 июля, 2016 Вы хотите мост с 3 по 7 зуб поставить? Вы приколист))) На имплантацию мотивируйте.[/На самом деле,смотря какие антагонисты.При правильном ретентивном препе и если 3 и 7 нормальные по размерам и количеству твёрдых тканей,такая конструкция в случае только металлокерамики (никакого циркона)имеет место бытьКакой вопрос - такой ответ , все правильно. ) Ссылка на комментарий
chervoncevdaniil Опубликовано 16 июля, 2016 Поделиться Опубликовано 16 июля, 2016 (изменено) ame="chervoncevdaniil" post="556966" timestamp="1468669447"]Какой вопрос - такой ответ , все правильно. )Согласен,вроде человек не первый день на форуме,а вопросы по протезированию по классификации Кеннеди спрашивает,без фото,орто и моделей.По названию темы подумал,что речь о третьем скелетном классе,а тут включенный дефект банальный Изменено 16 июля, 2016 пользователем chervoncevdaniil Ссылка на комментарий
Евгений Ходыкин Опубликовано 16 июля, 2016 Поделиться Опубликовано 16 июля, 2016 Вы хотите мост с 3 по 7 зуб поставить? Вы приколист))) На имплантацию мотивируйте.[/На самом деле,смотря какие антагонисты.При правильном ретентивном препе и если 3 и 7 нормальные по размерам и количеству твёрдых тканей,такая конструкция в случае только металлокерамики (никакого циркона)имеет место бытьЦиркон можно, с нёбным усилением Ссылка на комментарий
chervoncevdaniil Опубликовано 16 июля, 2016 Поделиться Опубликовано 16 июля, 2016 ame="chervoncevdaniil" post="556966" timestamp="1468669447"]Циркон можно, с нёбным усилениемЧто такое небное усиление? Ссылка на комментарий
Евгений Ходыкин Опубликовано 16 июля, 2016 Поделиться Опубликовано 16 июля, 2016 Что такое небное усиление?Грубо говоря типа гирлянды нёбно техники делают. Банально утолщая каркас в тонких местах. Ссылка на комментарий
Евгений Ходыкин Опубликовано 16 июля, 2016 Поделиться Опубликовано 16 июля, 2016 Видно? Ссылка на комментарий
Евгений Ходыкин Опубликовано 16 июля, 2016 Поделиться Опубликовано 16 июля, 2016 Тут Ссылка на комментарий
chervoncevdaniil Опубликовано 16 июля, 2016 Поделиться Опубликовано 16 июля, 2016 ТутДа видно,первый раз про такое слышу.Пациент не жалуется,что выступает что то с небной стороны? Ссылка на комментарий
art700 Опубликовано 16 июля, 2016 Поделиться Опубликовано 16 июля, 2016 Я бы поставил мост туда только при одном условии. Если низ съёмный, и то подумал бы) Ссылка на комментарий
Евгений Ходыкин Опубликовано 17 июля, 2016 Поделиться Опубликовано 17 июля, 2016 Да видно,первый раз про такое слышу.Пациент не жалуется,что выступает что то с небной стороны?Ну заранее же всё оговорено было. В данном случае мост был вынужденной мерой... Ссылка на комментарий
Fibez Опубликовано 19 июля, 2016 Поделиться Опубликовано 19 июля, 2016 Евгений, а я стал бояться делать такие протяженные циркониевые мосты. Лопаются не смотря на утолщение каркаса. Уж лучше, если такая временная работа, то делать комбинированный м\к+ ц/л. Ссылка на комментарий
Евгений Ходыкин Опубликовано 19 июля, 2016 Поделиться Опубликовано 19 июля, 2016 Евгений, а я стал бояться делать такие протяженные циркониевые мосты. Лопаются не смотря на утолщение каркаса. Уж лучше, если такая временная работа, то делать комбинированный м\к+ ц/л.Пока все такие конструкции функционируют. Надеюсь и дальше будет гуд Ссылка на комментарий
dr.Dre Опубликовано 19 июля, 2016 Автор Поделиться Опубликовано 19 июля, 2016 Все спасибо за советы Ссылка на комментарий
Сева северный Опубликовано 19 июля, 2016 Поделиться Опубликовано 19 июля, 2016 Мосты большой протяженности., всегда риск. Да и в случае чего..... (эксперт будет не на вашей стороне) Ссылка на комментарий
Рекомендуемые сообщения
Для публикации сообщений создайте учётную запись или авторизуйтесь
Вы должны быть пользователем, чтобы оставить комментарий
Создать аккаунт
Зарегистрируйте новый аккаунт в нашем сообществе. Это очень просто!
Регистрация нового пользователяВойти
Уже есть аккаунт? Войти в систему.
Войти