AlexFox Опубликовано 13 июля, 2016 Поделиться Опубликовано 13 июля, 2016 Доброго времени суток,коллеги.Огромная просьба к имплантологам поделиться своим мнением по-поводу клинического случая.Пациенту 45 лет,жалобы на отсутствие жевательной группы зубов во втором сегменте.Для постановки имплантов требуется синуслифтинг.Меня настораживает малый объем имеющейся костной ткани при большом объеме поднятия дна.Плюс слизистой на кт я вообще не вижу.Хотелось бы узнать ваше мнение об этом. Ссылка на комментарий
dok1 Опубликовано 13 июля, 2016 Поделиться Опубликовано 13 июля, 2016 Сформируете окно. А там по ходу и появится понимание ситуации. Может только лифтинг, а ипланты отсроченно. Я б так сделал. 2 Ссылка на комментарий
AlexanderGudkov Опубликовано 13 июля, 2016 Поделиться Опубликовано 13 июля, 2016 Да все норм будет) слизистая есть)) 1 1 Ссылка на комментарий
AlexFox Опубликовано 13 июля, 2016 Автор Поделиться Опубликовано 13 июля, 2016 Я и планирую в два этапа.Сначала синуслифтинг,после-импланты Ссылка на комментарий
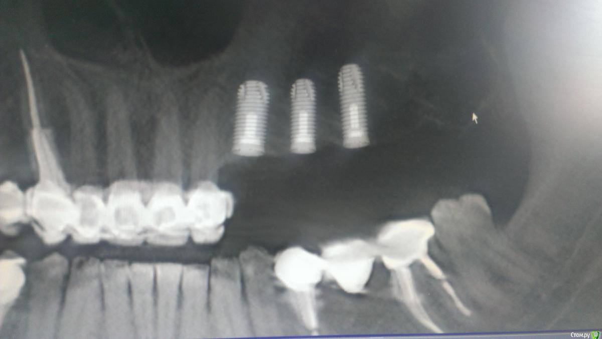
BugDan Опубликовано 14 июля, 2016 Поделиться Опубликовано 14 июля, 2016 (изменено) Я бы сделал синус с ауто-ксено 1:1 по причине чистой кортикалки в области моляров.Ставить ли импланты сразу или нет зависит от макродизайна имплантатов котрыми вы планируете пользоваться и опыта в первую очередь.На картинках планирования 23 стоит далековато от 22 , винт 5 стоит чуть медиальнее чем надо, а 6 сильно медиальнее чем нужно. Для страховки просмотрите латеральную стенку синуса на предмет артерии. Изменено 14 июля, 2016 пользователем BugDan Ссылка на комментарий
Astronaft Опубликовано 14 июля, 2016 Поделиться Опубликовано 14 июля, 2016 23 занчительно мезиальнее надо.Я бы ограничился 3 винтами задесь, поставив 25 под углом, что бы вышел на 26. 1 Ссылка на комментарий
Zborzh Опубликовано 14 июля, 2016 Поделиться Опубликовано 14 июля, 2016 Хотя бы пару винтов с синусом поставьте, хоть какая то поддержка для графта будет. Третий винт, дистальный, месяцев через 5 можно доставить. Старайтесь выбирать имплантаты с активной резьбой, типа SPI или Nobel active. При условии их использования и грамотной модификации протокола сверления, может, и все 3 имплантата получится зафиксировать. Ссылка на комментарий
Доктор Добрых Дел Опубликовано 14 июля, 2016 Поделиться Опубликовано 14 июля, 2016 Тоже за 3 винта. Условия для синуса хорошие, все будет ок. Главное нежно со слизистой) Ссылка на комментарий
Nazim_NV86 Опубликовано 14 июля, 2016 Поделиться Опубликовано 14 июля, 2016 Синус и имплантом "костенеет" быстрее чем без импланта. + удобнее и экономичнее. Дистальный я б не поставил сразу, ибо не стабилизируется. Первые два обязательно. Согласен с коллегами что трёх хватит. Самое сложное тут не синус, а верно расположить импланты. Ссылка на комментарий
dok1 Опубликовано 14 июля, 2016 Поделиться Опубликовано 14 июля, 2016 Ставил как-то в точно такой же ситуации. Думал - сделаю только синус, импланты отсроченно( но импланты приготовил на всякий ). В итоге и винты закрутил. В полуторамилиметровой кости спокойно стабилизировались. Торк конечно небольшой. Но стабильность достигнута. И дальше всё ОК было. Ссылка на комментарий
AlexFox Опубликовано 14 июля, 2016 Автор Поделиться Опубликовано 14 июля, 2016 Спасибо,коллеги.На основании ваших замечаний изменил постановку имплантов.Выложил фото,буду рад вашим коментариям Ссылка на комментарий
Fibez Опубликовано 15 июля, 2016 Поделиться Опубликовано 15 июля, 2016 Пациенту скажите, что будете делать открытый синуслифтинг. И во время операции, если Вам всё понравится, установите ему сразу все импланты. Если Вам не понравится, то имплантов будет только 2 (23 и 24), а через 6 месяцев еще 2 (25 и 26) В области 26 я бы ждал 12 месяцев. В области 25 - 9. В области 23-24 можно делать временные коронки или сразу, или через 6 месяцев Ссылка на комментарий
Рекомендуемые сообщения
Для публикации сообщений создайте учётную запись или авторизуйтесь
Вы должны быть пользователем, чтобы оставить комментарий
Создать аккаунт
Зарегистрируйте новый аккаунт в нашем сообществе. Это очень просто!
Регистрация нового пользователяВойти
Уже есть аккаунт? Войти в систему.
Войти