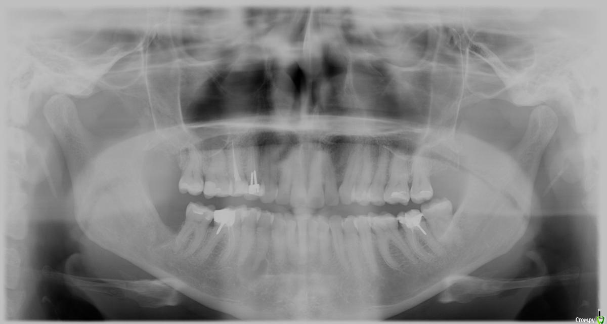
good customer Опубликовано 6 июля, 2016 Поделиться Опубликовано 6 июля, 2016 Здравствуйте, уважаемые Врачи! В мае 2016г на панорамном снимке была обнаружена киста четверки (не болит, не лечили, не били).В июне была сделана кт (в др клинике), где подтвердили кисту зуба. Врач порекомендовал наблюдать в течение 6 мес.Я усомнилась.Сегодня вновь посетила первую клинику и сделали кт. Киста подтвердилась, но не зуба.Как я поняла, киста в тканях проросла так далеко, что истончилась кость и скоро будет задет нерв.Очень благодарна терапевту, что не стал вскрывать зуб, а хирург выписал направление на консультацию в МГМСУ на Вучетича. Успела в институт дозвониться в конце рабочего дня- сказали, что запись на август и положили трубку.Скорее всего, на форуме есть чл-хирурги.Уважаемые Врачи, посмотрите, пожалуйста, мои снимки.Панорамный снимок и отсканированную распечатку фрагмента зуба кт (есть полная версия на диске).Подскажите, пожалуйста, кому из врачей в данном институте можно довериться (или в др лечебном заведении)?Спасибо. Ссылка на комментарий
Bier Опубликовано 6 июля, 2016 Поделиться Опубликовано 6 июля, 2016 а зуб проверялся на витальность? Нужно провести холодовой тест и/или ЭОД. 5 1 Ссылка на комментарий
good customer Опубликовано 6 июля, 2016 Автор Поделиться Опубликовано 6 июля, 2016 Сделали снимок и все. Осмотра и теста не было. Ссылка на комментарий
Bier Опубликовано 7 июля, 2016 Поделиться Опубликовано 7 июля, 2016 Все же очень похоже что это киста от зуба, а не сама по себе. Нужно определить витальность. Если зуб мёртвый, надо его вскрывать и чистить канал 2 Ссылка на комментарий
good customer Опубликовано 7 июля, 2016 Автор Поделиться Опубликовано 7 июля, 2016 Bier, спасибо. Надеюсь, это не онко, которой меня уже напугали.... Ссылка на комментарий
Bier Опубликовано 7 июля, 2016 Поделиться Опубликовано 7 июля, 2016 На оно это совсем не похоже, успокойтесь 4 Ссылка на комментарий
good customer Опубликовано 7 июля, 2016 Автор Поделиться Опубликовано 7 июля, 2016 Bier, спасибо Вам! Записалась в вышеупомянутый институт. Почитала отзывы. Чувствую себя неуверенно. Ссылка на комментарий
Bier Опубликовано 8 июля, 2016 Поделиться Опубликовано 8 июля, 2016 Bier, спасибо Вам! Записалась в вышеупомянутый институт. Почитала отзывы. Чувствую себя неуверенно.не надо туда ходить. Контакты в личном сообщении скинул. Ссылка на комментарий
good customer Опубликовано 8 июля, 2016 Автор Поделиться Опубликовано 8 июля, 2016 Bier, добрый день! ничего нет от Вас! Спасибо, что не бросаете меня Ссылка на комментарий
kladoffka Опубликовано 8 июля, 2016 Поделиться Опубликовано 8 июля, 2016 Обычная гранулема, имхо. Чего там делать члх? Оо 3 Ссылка на комментарий
good customer Опубликовано 8 июля, 2016 Автор Поделиться Опубликовано 8 июля, 2016 В частной стоматологической клинике от меня отказались. выдвинуты предположения, что это киста к зубу не имеет отношения. даже рассказали про онкологию. В практике врачей такого не было , поэтому направили в члх. Ссылка на комментарий
good customer Опубликовано 10 июля, 2016 Автор Поделиться Опубликовано 10 июля, 2016 Добрый вечер, уважаемые Врачи! Нашла панорамный снимок от 2014г. кисты, вроде, не было.... Ссылка на комментарий
Alejandro Опубликовано 12 июля, 2016 Поделиться Опубликовано 12 июля, 2016 Приглядитесь: на этом снимке образование тоже есть. Проверили зуб на витальность? 1 Ссылка на комментарий
good customer Опубликовано 12 июля, 2016 Автор Поделиться Опубликовано 12 июля, 2016 (изменено) Добрый вечер!Была на консультации. Врач сказал, что на витальность проверять не надо, т.к. будет депульпация......сделала прицельный снимок. Изменено 12 июля, 2016 пользователем good customer Ссылка на комментарий
Bier Опубликовано 14 июля, 2016 Поделиться Опубликовано 14 июля, 2016 Это Вьючнов написал? Ссылка на комментарий
good customer Опубликовано 14 июля, 2016 Автор Поделиться Опубликовано 14 июля, 2016 К нему только на 19, плотная запись. Это врач из МГМСУ Абу Бакер Ссылка на комментарий
Nazim_NV86 Опубликовано 15 июля, 2016 Поделиться Опубликовано 15 июля, 2016 Я бы просто вскрыл с вестибулярки. Снял давление в полости (цистотомия) и подождал бы пару тройку месяцев. При условии что зуб витальный конечно. 1 Ссылка на комментарий
Bier Опубликовано 15 июля, 2016 Поделиться Опубликовано 15 июля, 2016 К нему только на 19, плотная запись. Это врач из МГМСУ Абу БакерНе нужно в наши ВУЗы ходить, они далеки от современной стоматологии. 5 Ссылка на комментарий
Maxfac Опубликовано 19 июля, 2016 Поделиться Опубликовано 19 июля, 2016 Не нужно в наши ВУЗы ходить, они далеки от современной стоматологии.О как. Ссылка на комментарий
good customer Опубликовано 28 июля, 2016 Автор Поделиться Опубликовано 28 июля, 2016 добрый вечер, уважаемые Врачи. предложили план лечения 44. Ссылка на комментарий
ПалСаныч Опубликовано 5 августа, 2016 Поделиться Опубликовано 5 августа, 2016 О как.А ты как думал!))) думал на острие прогресса?))) Ссылка на комментарий
Maxfac Опубликовано 5 августа, 2016 Поделиться Опубликовано 5 августа, 2016 Думаю, что любое обобщение "под одну гребёнку" - это не очень умно. 1 Ссылка на комментарий
Bier Опубликовано 5 августа, 2016 Поделиться Опубликовано 5 августа, 2016 Максим, мы можем поспорить на эту тему, но в закрытом разделе Ссылка на комментарий
Maxfac Опубликовано 5 августа, 2016 Поделиться Опубликовано 5 августа, 2016 Я что-то разлюбил спорить. Думаю, мы с Вами друг друга поняли) Ссылка на комментарий
DmitrySH Опубликовано 5 августа, 2016 Поделиться Опубликовано 5 августа, 2016 Зуб ранее не лечен, у него очень хорошие шансы на благоприятный исход.Стекловолокно сильно лишнее(еще и 2 раза). Коронковая часть зуба сохранена.Потребуется микродоступ, около 1*1.5 (2) мм. Зуб останется практически целым. Ссылка на комментарий
Рекомендуемые сообщения
Для публикации сообщений создайте учётную запись или авторизуйтесь
Вы должны быть пользователем, чтобы оставить комментарий
Создать аккаунт
Зарегистрируйте новый аккаунт в нашем сообществе. Это очень просто!
Регистрация нового пользователяВойти
Уже есть аккаунт? Войти в систему.
Войти