полосатая Опубликовано 6 июля, 2016 Поделиться Опубликовано 6 июля, 2016 Здравствуйте.Позавчера стоматолог раскрыл 7-ку на нижней челюсти.На снимке обнаружилась(случайно )гранулема на корне.Зуб был опорным для моста, был давно депульпирован,каналы запломбированы гуттаперчей,не беспокоил,мост стоял лет 15. Врач удалил вкладку, каналы почистил,промыл,поставил какое -то лекарство и временную пломбу. Сначала зуб немного ныл, а со вчерашнего вечера уже ломит челюсть и отдает висок,увеличился подчелюстной лимфоузел, Десна отечная, красная. Одна таблетка кетанов снимает боль на 1-2 часа.Полоскания соль+сода+йод не помогает.До этого доктор мне лечил гранулему на другом зубе тоже депульпированном и запломбированном гуттаперчей , но такой реакции не было. Не могу дозвониться к своему врачу целый день, телефон отключен!?Следующий прием назначен на вторник. Прошу помощи. Выпила уже 8 таблеток кетанов по 10мг.Кетонал 100мг. вообще не помогает.Вторую бессонную ночь не переживу...Может нужно удалить эту временную пломбу и полоскать ? Ссылка на комментарий
red_butler Опубликовано 6 июля, 2016 Поделиться Опубликовано 6 июля, 2016 Нужен снимок Советы пациентам! ОБЯЗАТЕЛЬНО К ПРОЧТЕНИЮ! 1 Ссылка на комментарий
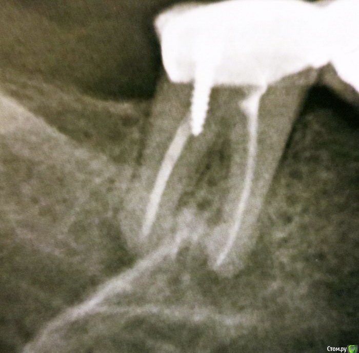
полосатая Опубликовано 6 июля, 2016 Автор Поделиться Опубликовано 6 июля, 2016 Снимок зуба до лечения. Ссылка на комментарий
полосатая Опубликовано 6 июля, 2016 Автор Поделиться Опубликовано 6 июля, 2016 Кетанов уже не помогает.. Ссылка на комментарий
полосатая Опубликовано 7 июля, 2016 Автор Поделиться Опубликовано 7 июля, 2016 (изменено) Примерно 3 часа назад я удалила пломбу.В каналах бело-желтое вещество с запахом йода.После полоскания боль вроде бы стала меньше. Но сейчас уже никакие таблетки и полоскания не помогают.Лидокаин на ватке в зуб тоже бестолку.Подчелюстной лимфоузел увеличился,болезненный.Боль просто ужасная.ПОМОГИТЕ КТО-НИБУДЬ!!!!!!Сейчас у нас только хирурги работают, а зуб не хочу терять.ЧЕМ снять эту боль? Изменено 7 июля, 2016 пользователем полосатая Ссылка на комментарий
red_butler Опубликовано 7 июля, 2016 Поделиться Опубликовано 7 июля, 2016 Нужен rg во время и после лечения, обратитесь в ближайшее время к врачу Ссылка на комментарий
St. Опубликовано 7 июля, 2016 Поделиться Опубликовано 7 июля, 2016 Самостоятельно Вы не справитесь, нужно обратиться к врачу. Ссылка на комментарий
Рекомендуемые сообщения
Для публикации сообщений создайте учётную запись или авторизуйтесь
Вы должны быть пользователем, чтобы оставить комментарий
Создать аккаунт
Зарегистрируйте новый аккаунт в нашем сообществе. Это очень просто!
Регистрация нового пользователяВойти
Уже есть аккаунт? Войти в систему.
Войти