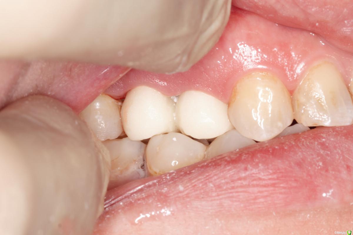
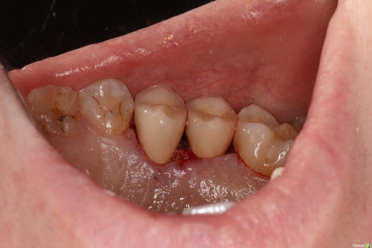
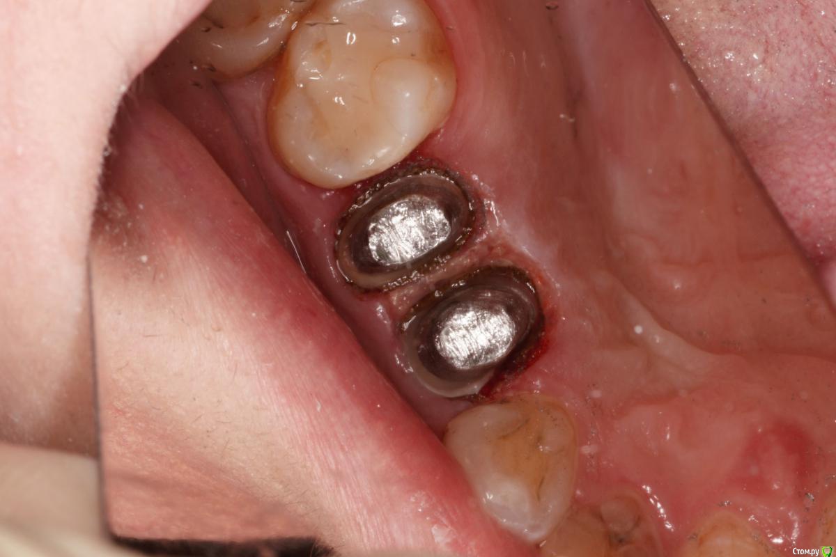
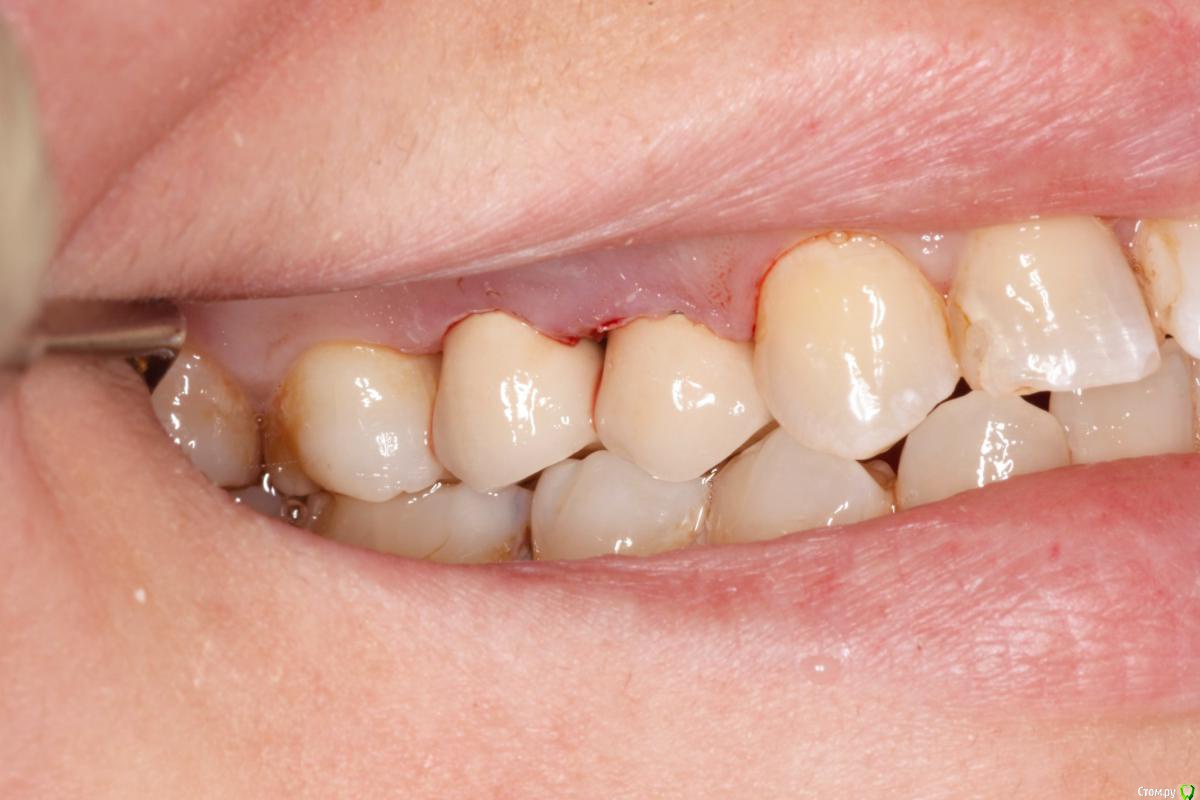
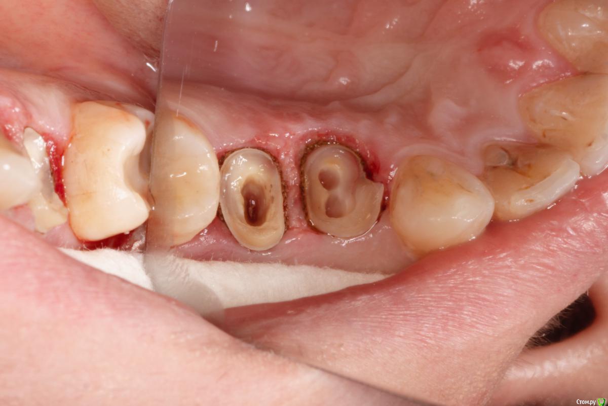
skeettrap Опубликовано 5 июля, 2016 Поделиться Опубликовано 5 июля, 2016 Стандартная ситуация : коллега попросила сделать родственнице (мужа) за неделю - во время краткосрочного визита из Израиля.Исходная ситуация 14,15 сильно разрушены с временными пломбами и наплывшей десной(фото не сделал).На первом этапе сделаны культевые вкладки прямым методом (десну подрезал бором). Постановка вкладок на следующий день, изготовление временных коронок, снятие слепков. Через 2 дня - фиксация. Ссылка на комментарий
chervoncevdaniil Опубликовано 6 июля, 2016 Поделиться Опубликовано 6 июля, 2016 что за материал для временных коронок? Ссылка на комментарий
kamranchick Опубликовано 6 июля, 2016 Поделиться Опубликовано 6 июля, 2016 На SNAP похож Ссылка на комментарий
Evgen-Vozhd Опубликовано 6 июля, 2016 Поделиться Опубликовано 6 июля, 2016 Сделано хорошо. пара имплантов здесь просится Ссылка на комментарий
skeettrap Опубликовано 6 июля, 2016 Автор Поделиться Опубликовано 6 июля, 2016 Материал Tempron GC, SNAP не люблю. Про имплантаты согласен, но она приезжает раз в несколько лет, а в израильской стоматологии сильно разочаровалась. Ссылка на комментарий
Bratok Опубликовано 6 июля, 2016 Поделиться Опубликовано 6 июля, 2016 Бедный феррул )) хир удлинение не стали делать? Ссылка на комментарий
chervoncevdaniil Опубликовано 6 июля, 2016 Поделиться Опубликовано 6 июля, 2016 Материал Tempron GC, SNAP не люблю. Про имплантаты согласен, но она приезжает раз в несколько лет, а в израильской стоматологии сильно разочаровалась.Вы просто делаете из него лепешку,кладете в область препарированных зубов,пац смыкает,а когда застынет-выпиливаете из него форму коронок? Ссылка на комментарий
skeettrap Опубликовано 6 июля, 2016 Автор Поделиться Опубликовано 6 июля, 2016 На удлинение времени не было. Главное было проснять. Временные делаю так: после замешивания немного жду, когда начинает полимеризоваться, делаю типа брусочка, даю накусить, немного с боков приминаем (это при открытом рте). До окончательного отверждения несколько раз вынимаю и вставляю. По мере нагрева помещаю в холодную воду.После отверждения формирую предварительно, внутри немного убираю и делаю перебазировку. Окончательно формирую и фиксирую. Ссылка на комментарий
Рекомендуемые сообщения
Для публикации сообщений создайте учётную запись или авторизуйтесь
Вы должны быть пользователем, чтобы оставить комментарий
Создать аккаунт
Зарегистрируйте новый аккаунт в нашем сообществе. Это очень просто!
Регистрация нового пользователяВойти
Уже есть аккаунт? Войти в систему.
Войти