Перейти к содержанию
Стоматология для всех

Депульпированный зуб


martiniden77

Рекомендуемые сообщения

Добрый день!

 

Подскажите, пожалуйста.

 

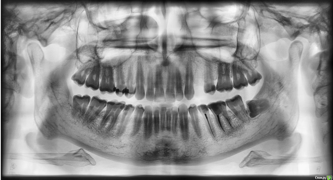
Два месяца назад был депульпирован нижний пятый зуб. Первый месяц было все хорошо.

После появились неприятные ощущения, покалывание, ощущение щекотания в кости у зуба.

 

На постукивания зуб немного реагировал в течение месяца. Боль не яркая, но глухая.

 

Две недели назад заложили лекарство.

Прошла неделя-поменяли лекарство, но при заложении его и уплотнении когда происходило надавливание внутри-боль отдавалась где-то в кости и немного в самом зубе.

Прошло два дня, появилось ощущения небольшого нарывания и ноющей боли. Сеичас в зубе лекарство, зуб не распломбирован-сверху просто снята частично пломба и внутрь заложено лекарство-сверху временная пломба.

 

Что это может быть такое?

post-48120-0-83637900-1467617660_thumb.jpg

Изменено пользователем martiniden77
Ссылка на комментарий
Гость
Эта тема закрыта для публикации ответов.
×
×
  • Создать...
Вверх