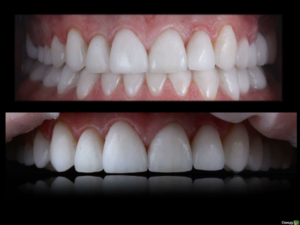
Чертков Александр Опубликовано 29 июня, 2016 Поделиться Опубликовано 29 июня, 2016 ...сказала она...ну уайт - так уайт... http://s018.radikal.ru/i500/1606/90/96c737703bed.jpghttp://s019.radikal.ru/i641/1606/f2/e0301cd6cc0a.jpg Точно уайт? ДА!!! Ок. http://s19.radikal.ru/i192/1606/7a/d98c6da1842e.jpghttp://s017.radikal.ru/i434/1606/a4/445b38c9b931.jpghttp://s018.radikal.ru/i501/1606/fa/03ff6f6ade5c.jpg Ещё бы гигиену наладить... 13 Ссылка на комментарий
PaulSky Опубликовано 29 июня, 2016 Поделиться Опубликовано 29 июня, 2016 Мир стал светлее!) Внизу, как понимаю, удалось закрыть рецессии пластикой. В результате удалось оставить границу в пределах эмали? 1 Ссылка на комментарий
Чертков Александр Опубликовано 29 июня, 2016 Автор Поделиться Опубликовано 29 июня, 2016 Да, частично закрыли...3-4 класс...выжали максимум Ссылка на комментарий
Евгений Ходыкин Опубликовано 29 июня, 2016 Поделиться Опубликовано 29 июня, 2016 Саныч, это она самая?? Ссылка на комментарий
Чертков Александр Опубликовано 29 июня, 2016 Автор Поделиться Опубликовано 29 июня, 2016 Саныч, это она самая??Ага Ссылка на комментарий
NazranDantist Опубликовано 29 июня, 2016 Поделиться Опубликовано 29 июня, 2016 (изменено) Мой любимый цвет. Главное, чтобы пациенту нравилось и окружению пациента. Лучшая реклама для доктора.))) 5 баллов Изменено 29 июня, 2016 пользователем NazranDantist 1 Ссылка на комментарий
joker_61rus Опубликовано 29 июня, 2016 Поделиться Опубликовано 29 июня, 2016 Желание пациета как говорится... у нас был случай что самые белые не устроили пациента, говорит че такие темные? Свои были а4 цвета. Мы ей предложить светлее не смогли, она сказала раз нет у вас такого цвета, нечего и работать. Вот так.сори за оффтоп. Долго с десной работали? 1 Ссылка на комментарий
Vladimirov Опубликовано 29 июня, 2016 Поделиться Опубликовано 29 июня, 2016 говорит че такие темные? Свои были а4 цвета. Ссылка на комментарий
Чертков Александр Опубликовано 30 июня, 2016 Автор Поделиться Опубликовано 30 июня, 2016 Долго с десной работали? В два захода: сначала верх, затем низ...пауза 3 месяца...протезирование Ссылка на комментарий
voff Опубликовано 30 июня, 2016 Поделиться Опубликовано 30 июня, 2016 скептически отношусь к таким пациентам и их желаниям, люблю "молодые, растущие организмы" Ссылка на комментарий
Чертков Александр Опубликовано 14 ноября, 2016 Автор Поделиться Опубликовано 14 ноября, 2016 http://s05.radikal.ru/i178/1611/ca/fa3f51e1b680.jpghttp://s020.radikal.ru/i721/1611/b4/dc468f461d4e.jpghttp://s013.radikal.ru/i325/1611/c9/2f4c11415de2.jpghttp://s012.radikal.ru/i320/1611/25/611c82f2b0cb.jpg почти полгода...там где чудо невозможно - там его и нет... 2 Ссылка на комментарий
gum Опубликовано 21 ноября, 2016 Поделиться Опубликовано 21 ноября, 2016 Класс и хирургия и ортопедия Ссылка на комментарий
Чертков Александр Опубликовано 28 ноября, 2016 Автор Поделиться Опубликовано 28 ноября, 2016 Класс и хирургия и ортопедияСпасибо! Ссылка на комментарий
vilenin_91 Опубликовано 6 декабря, 2016 Поделиться Опубликовано 6 декабря, 2016 Доктора, подскажите пожалуйста, как поступать в таких ситуациях, при наличие рецессией и клиновидных дефектов. С рецессиями более или менее понятно, подсадки, выжидаем, только потом протезируем. А если есть клиновидные дефекты, то получается агрессивный запил чтобы довести уступ до клиновидки? И если пациент не готов на пластику, то даже не стоит браться, т.к придется делать уступ на корне и не будет в этой части адгезии к реставрации? Ссылка на комментарий
Евгений Ходыкин Опубликовано 6 декабря, 2016 Поделиться Опубликовано 6 декабря, 2016 Доктора, подскажите пожалуйста, как поступать в таких ситуациях, при наличие рецессией и клиновидных дефектов. С рецессиями более или менее понятно, подсадки, выжидаем, только потом протезируем. А если есть клиновидные дефекты, то получается агрессивный запил чтобы довести уступ до клиновидки? И если пациент не готов на пластику, то даже не стоит браться, т.к придется делать уступ на корне и не будет в этой части адгезии к реставрации?С позволения глубокоуважаемого ТС Адгезия к дентину и цементу будет, только меньше чем к эмали, разумеется. Мауро делает такие работы, отдалённо всё збс у него Ссылка на комментарий
vilenin_91 Опубликовано 7 декабря, 2016 Поделиться Опубликовано 7 декабря, 2016 Понял, спасибо. Подскажите пожалуйста, по поводу границы препарирования при клиновидных дефектах, как лучше поступить: убрать полностью, чтобы не было поднутренний, либо аккуратно продлить от клиновидных уступ к апроксималкам, убрать вестибулярно сколько нужно убрать острые края и оставить как доп элемент ретенции или закрыть пломбировачным а потом препарировать?) Ссылка на комментарий
Чертков Александр Опубликовано 8 декабря, 2016 Автор Поделиться Опубликовано 8 декабря, 2016 Понял, спасибо. Подскажите пожалуйста, по поводу границы препарирования при клиновидных дефектах, как лучше поступить: убрать полностью, чтобы не было поднутренний, либо аккуратно продлить от клиновидных уступ к апроксималкам, убрать вестибулярно сколько нужно убрать острые края и оставить как доп элемент ретенции или закрыть пломбировачным а потом препарировать?)Можно и так и так...зависит от ситуации Ссылка на комментарий
Ibulat_1986 Опубликовано 16 января, 2017 Поделиться Опубликовано 16 января, 2017 BLO? )) такая же работа относительно недавно была Ссылка на комментарий
suballex Опубликовано 16 января, 2017 Поделиться Опубликовано 16 января, 2017 В общем - отлично. Но, если придираться - отсутствуют щечные коридоры, на фото с улыбкой. Смотрится, будто "много" зубов. ИМХО 1 Ссылка на комментарий
Чертков Александр Опубликовано 16 января, 2017 Автор Поделиться Опубликовано 16 января, 2017 В общем - отлично. Но, если придираться - отсутствуют щечные коридоры, на фото с улыбкой. Смотрится, будто "много" зубов. ИМХОСпасибо. Эффект блич...от него не уйти. Ссылка на комментарий
Рекомендуемые сообщения
Для публикации сообщений создайте учётную запись или авторизуйтесь
Вы должны быть пользователем, чтобы оставить комментарий
Создать аккаунт
Зарегистрируйте новый аккаунт в нашем сообществе. Это очень просто!
Регистрация нового пользователяВойти
Уже есть аккаунт? Войти в систему.
Войти