Перейти к содержанию
Стоматология для всех

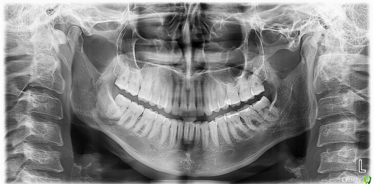
Стираемость слева


chuvashova_mv

Рекомендуемые сообщения

Здравствуйте!

Слева стираемость зубов.

Три месяца назад пролечили 36 зуб по среднему кариесу, есть им не могу (заводила тему).

Поэтому увеличилась нагрузка на правую сторону челюсти. Начались небольшие щелчки. Вторую неделю затылок тянет, голова побаливает и щётки с утра чуть сильнее.

В субботу пойду к стоматологу-терапевту.

Или к кому с этим идти?

Два врача (ортодонт и стом.терапевт) шлифавнуть зубы справа, но мне как-то не хочется снимать эмаль(

Подскажите, как правильнее поступить?

post-48203-0-29535200-1467125894_thumb.jpg

Ссылка на комментарий

Для публикации сообщений создайте учётную запись или авторизуйтесь

Вы должны быть пользователем, чтобы оставить комментарий

Создать аккаунт

Зарегистрируйте новый аккаунт в нашем сообществе. Это очень просто!

Регистрация нового пользователя

Войти

Уже есть аккаунт? Войти в систему.

Войти
×
×
  • Создать...
Вверх