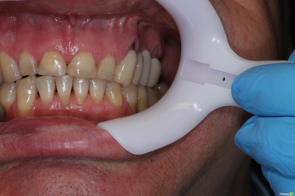
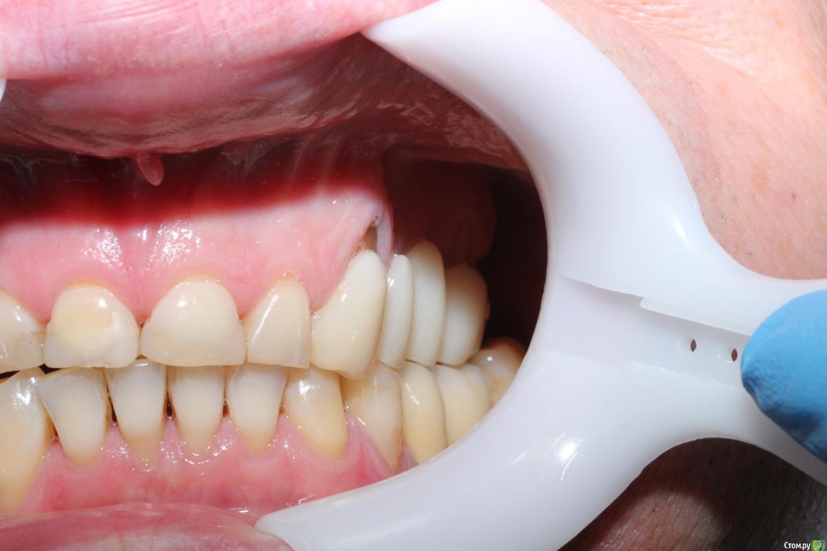
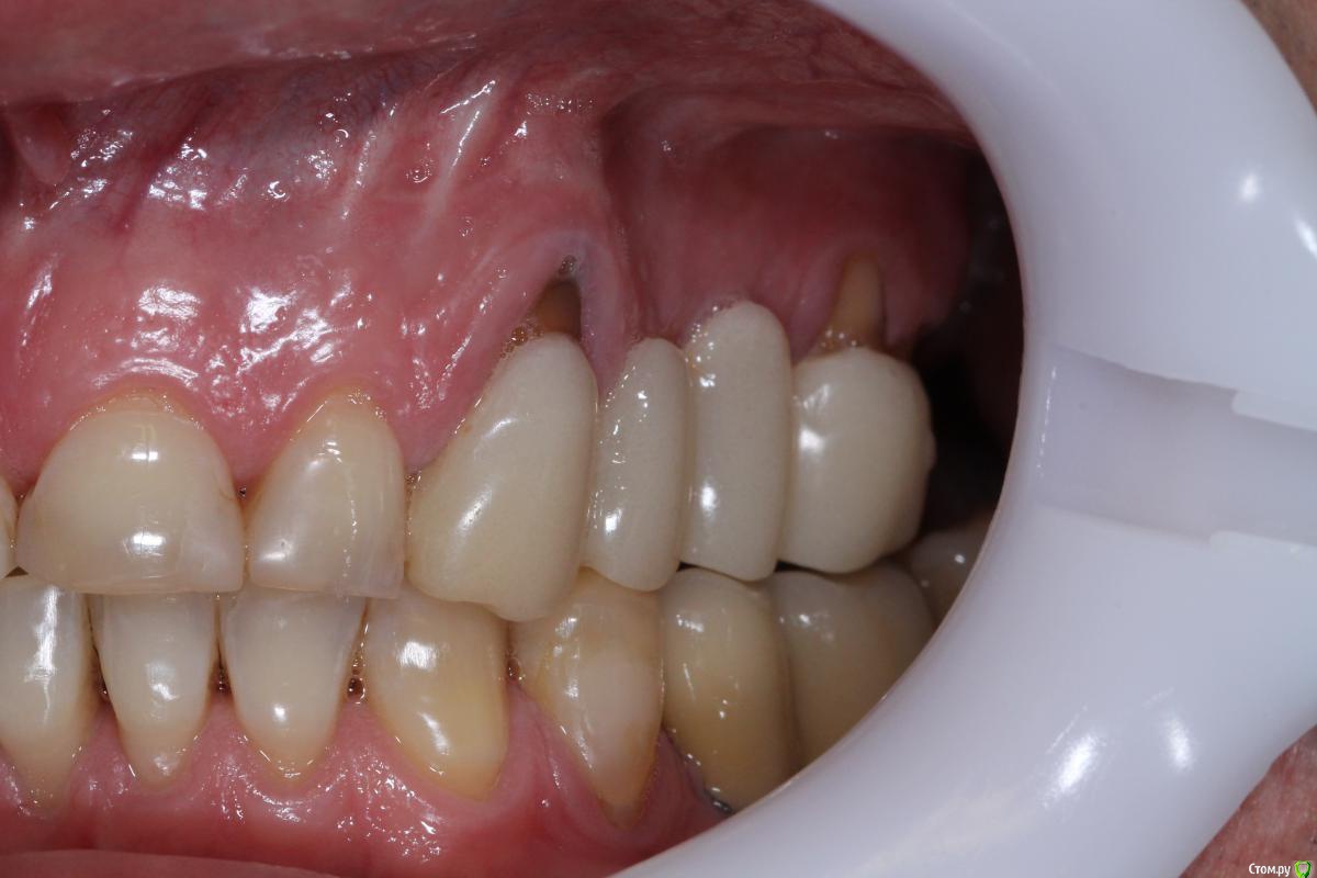
alekszander Опубликовано 27 июня, 2016 Поделиться Опубликовано 27 июня, 2016 Всем доброго времени суток! Коллеги, подскажите как лучше закрыть рецессию?Мой давнешний пациент, мост МК я снял, сделал временный (импланты туда не планирует).Вот вроде и пластики все делаю и импланты давно ставлю, а рецесси закрыть не представилось случая( Смущает большой дефект, с левой стороны.Ну и по литературе может посоветуете кого почитать? Ссылка на комментарий
alekszander Опубликовано 29 июня, 2016 Автор Поделиться Опубликовано 29 июня, 2016 Коллеги, вы хоть подскажите - есть особенности при таких массивных дефектах или стандартно тунельным сделать со смещением коронально? Ссылка на комментарий
basha.ru Опубликовано 29 июня, 2016 Поделиться Опубликовано 29 июня, 2016 Зуккелли пластическая хирургия мягких тканей полости рта.А.Скулеан.Работы Анастасии Смоляковой на форуме Ссылка на комментарий
alekszander Опубликовано 29 июня, 2016 Автор Поделиться Опубликовано 29 июня, 2016 Анастасии отдельное огромное спасибо за кейсы! Есть у кого Зуккелли в цифровом формате почитать? Ссылка на комментарий
Рекомендуемые сообщения
Для публикации сообщений создайте учётную запись или авторизуйтесь
Вы должны быть пользователем, чтобы оставить комментарий
Создать аккаунт
Зарегистрируйте новый аккаунт в нашем сообществе. Это очень просто!
Регистрация нового пользователяВойти
Уже есть аккаунт? Войти в систему.
Войти