Mascot Опубликовано 26 июня, 2016 Поделиться Опубликовано 26 июня, 2016 Добрый день!Интересует вопрос - обязательна ли полная санация рта перед единичной имплантацией? Состояние зубом совсем неважное, много пломб, и больших, и маленьких, где-то есть кариес, гранулёма (название ?). Финансово очень ограничена, с этим связан вопрос. Мнения консультирующих врачей разделились, в конец меня запутав. Буду благодарна за Ваше мнение. Ссылка на комментарий
Kolchanov Опубликовано 26 июня, 2016 Поделиться Опубликовано 26 июня, 2016 При ограниченности финансов надо хорошенько подумать, что важнее: единичная имплантация или санация. Не видя вашей ситуации глазом советовать невозможно никак. 1 Ссылка на комментарий
red_butler Опубликовано 26 июня, 2016 Поделиться Опубликовано 26 июня, 2016 http://forum.stom.ru/topic/20613-sovety-patcientam-obiazatelno-k-prochteniiu/ Ссылка на комментарий
Larnary Опубликовано 26 июня, 2016 Поделиться Опубликовано 26 июня, 2016 (изменено) Если полость рта требует санации,то она должна быть осуществлена вне зависимости от имплантации. Это Ваше здоровье. И чтобы организм был здоровым заинтересованы должны быть в первую очередь Вы. Тк каждый вновь удаленный зуб наносит вред всей зубочелюстной системе в целом да и жкт в том числе... Хронические очаги воспаления могут приводить к очень серьезным последствиям и тот же одонтогенный гайморит не редкость...А финансовые вопросы на форуме не обсуждаются. Изменено 26 июня, 2016 пользователем Larnary Ссылка на комментарий
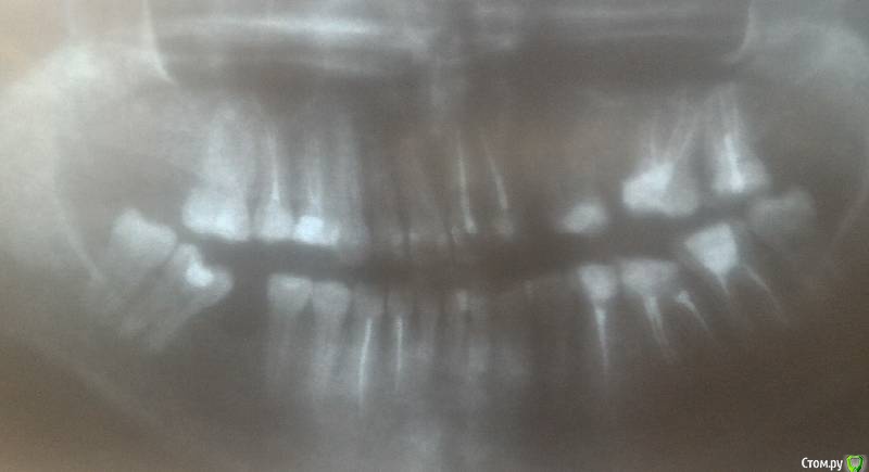
Mascot Опубликовано 26 июня, 2016 Автор Поделиться Опубликовано 26 июня, 2016 Вот снимок.Верхняя тройка.Выпала пломба и при попытке стоматолога зачистить под штифтовкладку - стенка отвалилась совсем.Без зуба ходить не вариант. Мелкий кариес будет пролечен, вопрос надо ли менять все старые пломбы, обязательно пролечить (?) гранулему (?)? И еще вопрос, реально ли поставить мост на 6,5,4,3, не трогая двойку и не депульпируя четверку? (Одно из предложений ортопедов) Ссылка на комментарий
red_butler Опубликовано 26 июня, 2016 Поделиться Опубликовано 26 июня, 2016 Работы не початый край 1 Ссылка на комментарий
Alejandro Опубликовано 26 июня, 2016 Поделиться Опубликовано 26 июня, 2016 Да работы много, но бОльшую часть можно проводить пока происходит интеграция имплантата) Ссылка на комментарий
Alejandro Опубликовано 26 июня, 2016 Поделиться Опубликовано 26 июня, 2016 Про мост немного не допонял... Сегмент какой? Ссылка на комментарий
Mascot Опубликовано 27 июня, 2016 Автор Поделиться Опубликовано 27 июня, 2016 Да работы много, но бОльшую часть можно проводить пока происходит интеграция имплантата)Это радует) Спасибо. Ссылка на комментарий
Mascot Опубликовано 27 июня, 2016 Автор Поделиться Опубликовано 27 июня, 2016 Про мост немного не допонял... Сегмент какой?Слева сверху. Там, где отсутствуют 5,3 Ссылка на комментарий
Alejandro Опубликовано 27 июня, 2016 Поделиться Опубликовано 27 июня, 2016 Так ведь третий зуб (клык) планируется замещать конструкцией на имплантате, а его нельзя использовать как опору в мостовидном протезе вместе со своими зубами). По поводу витальности зубов в мостовидном протезе: качество снимка оставляет желать лучшего, нужны прицельные снимки. Ссылка на комментарий
Mascot Опубликовано 27 июня, 2016 Автор Поделиться Опубликовано 27 июня, 2016 Так ведь третий зуб (клык) планируется замещать конструкцией на имплантате, а его нельзя использовать как опору в мостовидном протезе вместе со своими зубами). По поводу витальности зубов в мостовидном протезе: качество снимка оставляет желать лучшего, нужны прицельные снимки.В смысле если вместо импланта поставить такой мост. Имеет ли право на существование такая конструкция? Сорри, что ввела в заблуждение) Ссылка на комментарий
Alejandro Опубликовано 27 июня, 2016 Поделиться Опубликовано 27 июня, 2016 И еще вопрос, реально ли поставить мост на 6,5,4,3, не трогая двойку и не депульпируя четверку? (Одно из предложений ортопедов) Вот в этой конструкции 3 зуб использовать нельзя, если тут будет имплантат. Если это альтернативная конструкция вместо имплантации, то такая конструкция долго не простоит Ссылка на комментарий
Mascot Опубликовано 27 июня, 2016 Автор Поделиться Опубликовано 27 июня, 2016 Спасибо за Ваше мнение!) Ссылка на комментарий
Рекомендуемые сообщения
Для публикации сообщений создайте учётную запись или авторизуйтесь
Вы должны быть пользователем, чтобы оставить комментарий
Создать аккаунт
Зарегистрируйте новый аккаунт в нашем сообществе. Это очень просто!
Регистрация нового пользователяВойти
Уже есть аккаунт? Войти в систему.
Войти