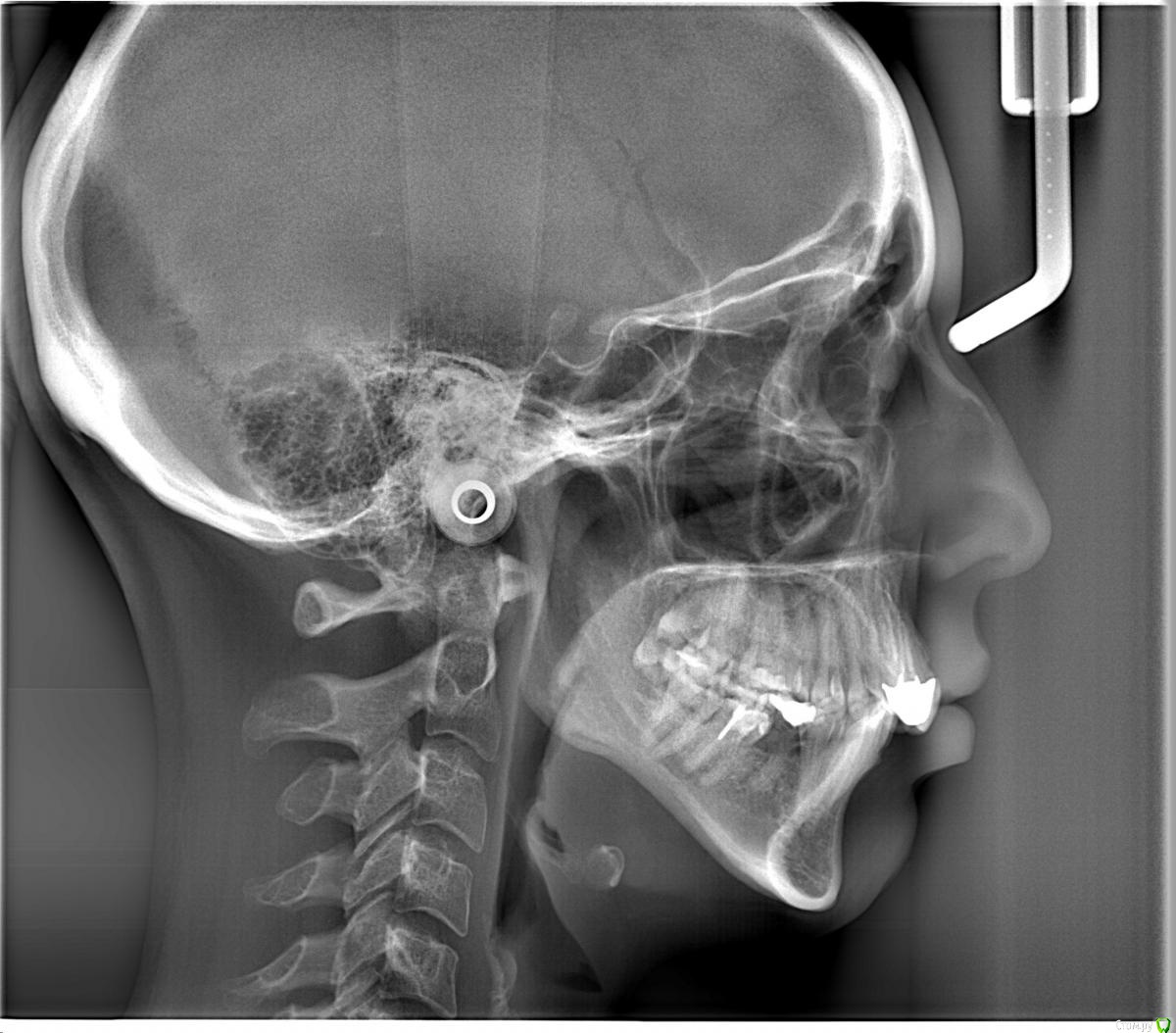
Oksanater Опубликовано 22 июня, 2016 Поделиться Опубликовано 22 июня, 2016 Здравствуйте.У меня глубокий дистальный прикус. Ноет правый суглоб. После некоторого изучения проблемы, я решила все таки обратится в клинику, где в стоматологии работает остеопат. Выбрана тактика остеопатического выдвижения нижней челюсти вперед совместно с ношением капы ночью. Предварительно ориентируются на 2 месяца такого лечения (мне 34 года). После этого в плане брекеты на верхнюю и нижнюю челюсть, которые переместят зубы в правльное положение, и возможно протезирование боковых зубов, где будет сильная диокклюзия.Что меня смущает. И что прошу проккоментировать:на первом приеме был сделан только слепок для капы, но остеопат "вставил челюсть" и отпустили домой, до следующего приема через две недели, когда дадут капу. Челюсть действительно подалась вперед, даже на следуещее утро пришлось ехать к стоматологу чтоб спилить коронки на верхних резцах, т.к. они поставлены взамен крывых своих зубов и сделаны намного толще (видимо чтоб создать типа смыкание с нижнимы зубами). Нижние резцы стали ударятся о верхние, но после обпиливания стало лучше. По прошествию суток чувствую, что челюсть все равно потихоньку занимает прежнее положение.У меня возникло опасение по поводу такого лечения. Не будет ли только ночное ношение капы просто расшатывать суглобы, не приведя к стойкому выдвижению?Если в моем вопросе помимо снимков все же нужны фото, то сделаю. Пока не делаю, т.к. после "вправления" как-то странно закрываю у "укладываю" зубы и очень напряжены мышцы нижней трети лица. Ссылка на комментарий
m.d.n Опубликовано 22 июня, 2016 Поделиться Опубликовано 22 июня, 2016 реконструкция оклюзионной плоскости нужна.выкладывайте фото .Так же кт суставов нужно , и гипсовка в артикулятор Ссылка на комментарий
Oksanater Опубликовано 25 июня, 2016 Автор Поделиться Опубликовано 25 июня, 2016 Уважаемый модератор, удалите, пожалуйста, мое сообщение с фото или хотя бы сами фото из сообщения. Ссылка на комментарий
Рекомендуемые сообщения
Для публикации сообщений создайте учётную запись или авторизуйтесь
Вы должны быть пользователем, чтобы оставить комментарий
Создать аккаунт
Зарегистрируйте новый аккаунт в нашем сообществе. Это очень просто!
Регистрация нового пользователяВойти
Уже есть аккаунт? Войти в систему.
Войти