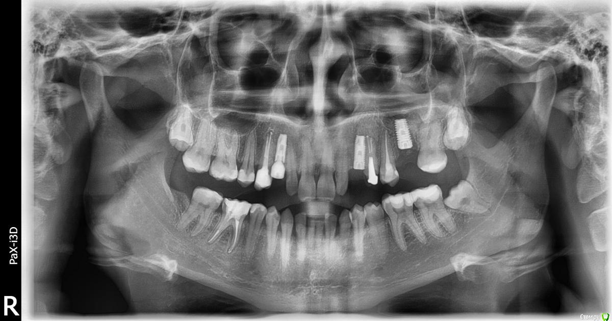
fifa888.dexo Опубликовано 20 июня, 2016 Поделиться Опубликовано 20 июня, 2016 (изменено) Здравствуйте можно ли по этому снимку сказать суставы на месте или нет?http://s019.radikal....0067e02b79c.png Изменено 20 июня, 2016 пользователем fifa888.dexo Ссылка на комментарий
Doctor Vlad Опубликовано 20 июня, 2016 Поделиться Опубликовано 20 июня, 2016 а вас чтото беспокоит? Ссылка на комментарий
fifa888.dexo Опубликовано 20 июня, 2016 Автор Поделиться Опубликовано 20 июня, 2016 (изменено) а вас чтото беспокоит?до постановки коронок не беспокоило ничего вообще,ходила с временными и вообще не знала о суставах ничего,после постановки моя жизнь превратилась в ад.Первые две недели было просто неудобно,не знала куда пристроить челюсть,потом начался хруст,скрип,щелканье,боль и закладывание в ушах,,один раз заклинило шею и очень болела голова,по городу ортопеды сказали занижен прикус то ли с одной то ли с обеих сторон,через месяц ношения челюсть перекосило вправо.В этот же день мое терпение кончилось,и я настояла переделать все как было на временных,очень внимательно отнеслась к подтачиванию.В первые сутки прошла острая боль и давление в голову,челюсть восстанавливалась неделю.Первые два дня пила найс,потом делала упражнения из интернета. На данный момент все встало на место практически,я могу более менее спокойно расслабить и сомкнуть челюсть,но чувство, что с одной стороны нагрузка больше все равно осталось. Записана к другому ортопеду по совету моего же ортопеда,на консультацию,у него есть аксиограф итд. Терзают сомнения что коронки были или завышены или занижены и моя челюсть тут не при чем)))К слову коронки были на 4-ах,т.е на своих зубах.Когда были временные,которые я носила год, мне одели на шестой зуб(имплант) сначала постоянную,все было нормально,но когда одели на четверки постоянные а потом на шестой,то коронка показалась что мешала и ее точили еще.Ах да,зуб справа внизу шестой был выведен из прикуса до имплантации,то теперь я чувствую полноценную опору на него,зуб слева вверху пятый никогда не касался антагониста внизу,но теперь он стирается изнутри иногда слышу там хрустит как песок. Пы.сы. Сегодня мне снился сон,что у меня вставная челюсть и мне больше не надо ни о чем думать и ничего мне не мешает итд)))))) Изменено 20 июня, 2016 пользователем fifa888.dexo Ссылка на комментарий
Рекомендуемые сообщения
Для публикации сообщений создайте учётную запись или авторизуйтесь
Вы должны быть пользователем, чтобы оставить комментарий
Создать аккаунт
Зарегистрируйте новый аккаунт в нашем сообществе. Это очень просто!
Регистрация нового пользователяВойти
Уже есть аккаунт? Войти в систему.
Войти