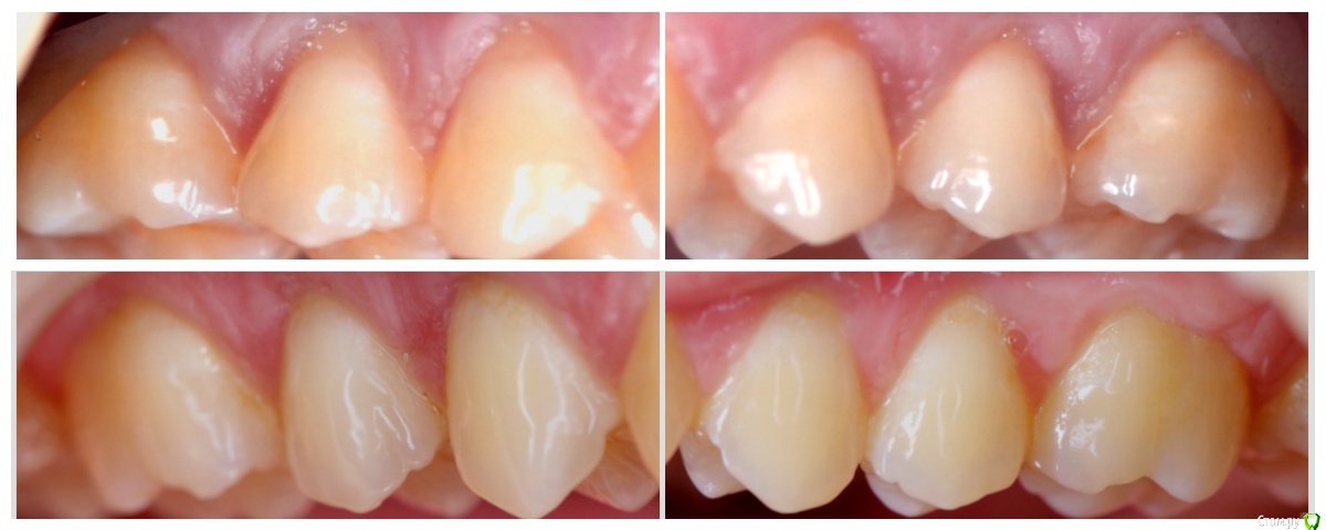
faity Опубликовано 17 июня, 2016 Поделиться Опубликовано 17 июня, 2016 Несколько месяцев назад очень хорошая знакомая попросила закрыть рецессии на верхней челюсти, ибо болело жутко. Изначально не хотел браться, но в результате согласился. Соответсвенно протокол стандартный, единственное пришлось брать СДТ и деэпителизировать, т.к. биотип у девушки тонкий, от покрывного до надкостницы 2 мм максимум. Причина моего первоначального отказа это болезнь Крона у пациента, заживляемость плохая, эпителизирование медленное. Но мы попробовали, результат пациента устраивает полностью, гиперестезия ушла полностью На работе радикал закрыт, поэтому прикрепляю так 3 Ссылка на комментарий
Acidrocker Опубликовано 17 июня, 2016 Поделиться Опубликовано 17 июня, 2016 Хорошо! Андрей, туннель? Ссылка на комментарий
faity Опубликовано 17 июня, 2016 Автор Поделиться Опубликовано 17 июня, 2016 Да, Яш. Смещением тут результата бы вообще не было. Слизистой почти нет( Ссылка на комментарий
Рекомендуемые сообщения
Для публикации сообщений создайте учётную запись или авторизуйтесь
Вы должны быть пользователем, чтобы оставить комментарий
Создать аккаунт
Зарегистрируйте новый аккаунт в нашем сообществе. Это очень просто!
Регистрация нового пользователяВойти
Уже есть аккаунт? Войти в систему.
Войти