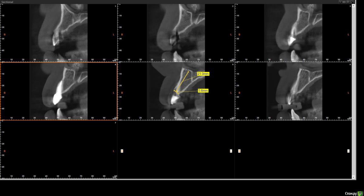
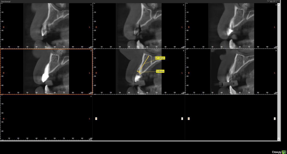
Tari Опубликовано 15 июня, 2016 Поделиться Опубликовано 15 июня, 2016 Зуб 2.2 произошла фрактура корня, по вестибулярной поверхности свищевой ход. Понятно, что зуб под удаление. Не могу определиться с хирургией по КТ (одномометная имплантация, сохранена ли вестибулярная кость, нужна ли будет нкр) и какую временную ортопедическую реабилитацию предложить(временная коронка,косметическая пластинка).Если срезы не понятны-выложу другие. Ссылка на комментарий
Tari Опубликовано 15 июня, 2016 Автор Поделиться Опубликовано 15 июня, 2016 Извините, комп тормозит, дважды послалось Ссылка на комментарий
kamranchick Опубликовано 15 июня, 2016 Поделиться Опубликовано 15 июня, 2016 на мой взглядудаление+ одномоментно+ ССТ с бугра, можно сразу временную коронкуНКР думаю не стоит делать Ссылка на комментарий
AlexanderGudkov Опубликовано 15 июня, 2016 Поделиться Опубликовано 15 июня, 2016 Согласен с предыдущим оратором)) Ссылка на комментарий
Tari Опубликовано 15 июня, 2016 Автор Поделиться Опубликовано 15 июня, 2016 Я не пойму по кт и т.к есть свищ, там сохранена кортикалка или нет. Похоже, что нет.Или я не так смотрю? Ссылка на комментарий
kamranchick Опубликовано 15 июня, 2016 Поделиться Опубликовано 15 июня, 2016 По кт крайне редко кортикалку можно увидеть во фронте, есть свищ и бог с ним)) откюретажите, а закрутится есть место у вас вагон. Ссылка на комментарий
Tari Опубликовано 15 июня, 2016 Автор Поделиться Опубликовано 15 июня, 2016 Спасибо! Ссылка на комментарий
Jurai Опубликовано 16 июня, 2016 Поделиться Опубликовано 16 июня, 2016 Я в таких случаях все для НКР все-таки держу под рукой - не понадобится, и слава небесам, понадобится - а мы готовы. 4 Ссылка на комментарий
Рекомендуемые сообщения
Для публикации сообщений создайте учётную запись или авторизуйтесь
Вы должны быть пользователем, чтобы оставить комментарий
Создать аккаунт
Зарегистрируйте новый аккаунт в нашем сообществе. Это очень просто!
Регистрация нового пользователяВойти
Уже есть аккаунт? Войти в систему.
Войти