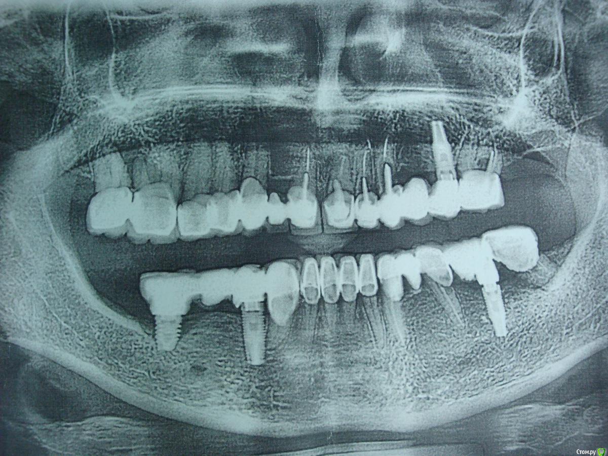
gum Опубликовано 15 июня, 2016 Поделиться Опубликовано 15 июня, 2016 Коллеги подскажите что за система? Ссылка на комментарий
faity Опубликовано 15 июня, 2016 Поделиться Опубликовано 15 июня, 2016 На нобель похоже, груви 3 сегмент, реплейс 4 сегментwhatimplantis.com в помощь Ссылка на комментарий
red_butler Опубликовано 15 июня, 2016 Поделиться Опубликовано 15 июня, 2016 Нее, это не нобель Ссылка на комментарий
gum Опубликовано 16 июня, 2016 Автор Поделиться Опубликовано 16 июня, 2016 Посмотрю на сайте, если у кого будут варианты подскажите пожалуйста. Ссылка на комментарий
gum Опубликовано 16 июня, 2016 Автор Поделиться Опубликовано 16 июня, 2016 biomet 3 i м.б.? Ссылка на комментарий
EdGein Опубликовано 16 июня, 2016 Поделиться Опубликовано 16 июня, 2016 Alpha Bio? Ссылка на комментарий
gum Опубликовано 16 июня, 2016 Автор Поделиться Опубликовано 16 июня, 2016 Нет это не альфа. Ссылка на комментарий
gum Опубликовано 25 июля, 2016 Автор Поделиться Опубликовано 25 июля, 2016 Всем привет, на сайте соответствия не обнаружил, пациентка выяснить название системы не может, клиники той уже нет, м.б. кто-то знает систему? Пациентка уже готова для дальнейшего протезирования, а система не известна. Формирователь от Semados подошел, но вряд ли подойдет абатмент. Ссылка на комментарий
red_butler Опубликовано 25 июля, 2016 Поделиться Опубликовано 25 июля, 2016 Коллега, а какая планируется конструкция? Часть зубов и один винт на выход. Может все импланты заменить? Ссылка на комментарий
gum Опубликовано 25 июля, 2016 Автор Поделиться Опубликовано 25 июля, 2016 У пациента нет средств на данный момент на имплантацию. На вч остались 13,14,15 и имплантат планирую коронки и ЧСПП. На нижней пока все как есть, не снимаю, так как не знаю систему (будут удалены имплантат по месту 46, 35 и 37, далее фронт коронки и тоже временно ЧСПП или сразу установка 2 винтов, решу после КТ)На замену имплантатов она не согласиться, доставить на нч 2 шт она согласна, а с верхом пока только ЧСПП Ссылка на комментарий
gum Опубликовано 28 июля, 2016 Автор Поделиться Опубликовано 28 июля, 2016 Всем здравствуйте. Ура узнал систему это BTIТеперь вопрос номер два: Кто работал на этой системе, какие ключи от др систем подходят? Кто знает подскажите? Ссылка на комментарий
АнтонТЛТ Опубликовано 28 июля, 2016 Поделиться Опубликовано 28 июля, 2016 У них на сайте есть контакты московского представительства Ссылка на комментарий
gum Опубликовано 29 июля, 2016 Автор Поделиться Опубликовано 29 июля, 2016 Спасибо буду связываться Ссылка на комментарий
Bobon Опубликовано 14 мая, 2020 Поделиться Опубликовано 14 мая, 2020 Подскажите пожалуйста какая это имплантационная система? Ссылка на комментарий
kramer Опубликовано 14 мая, 2020 Поделиться Опубликовано 14 мая, 2020 Подскажите пожалуйста какая это имплантационная система?Корея 1 Ссылка на комментарий
Bobon Опубликовано 14 мая, 2020 Поделиться Опубликовано 14 мая, 2020 Остэм? я от суперлайна примерил ключ не подошел. незнаю там может еще какие есть? Ссылка на комментарий
Irouil Опубликовано 14 мая, 2020 Поделиться Опубликовано 14 мая, 2020 (изменено) Не осстем, по крайней мере не тс3 Изменено 14 мая, 2020 пользователем Irouil 1 Ссылка на комментарий
Bobon Опубликовано 15 мая, 2020 Поделиться Опубликовано 15 мая, 2020 буду думать тогда) клиника где пациент делал имплантацию закрылась вообще, Клиника больше не функционирует вообще, поэтому узнать нет возможности Ссылка на комментарий
Дмитрий М Опубликовано 22 мая, 2020 Поделиться Опубликовано 22 мая, 2020 (изменено) на enyone похож Изменено 22 мая, 2020 пользователем Дмитрий М 1 Ссылка на комментарий
Bobon Опубликовано 26 мая, 2020 Поделиться Опубликовано 26 мая, 2020 на enyone похож спасибо всем за ответы оказалась система осстем, работа в процессе... либо просто запчасти подошли Ссылка на комментарий
stommm Опубликовано 27 мая, 2020 Поделиться Опубликовано 27 мая, 2020 Какого цвета заглушка? Может инно. По снимку похож немного Ссылка на комментарий
Рекомендуемые сообщения
Для публикации сообщений создайте учётную запись или авторизуйтесь
Вы должны быть пользователем, чтобы оставить комментарий
Создать аккаунт
Зарегистрируйте новый аккаунт в нашем сообществе. Это очень просто!
Регистрация нового пользователяВойти
Уже есть аккаунт? Войти в систему.
Войти