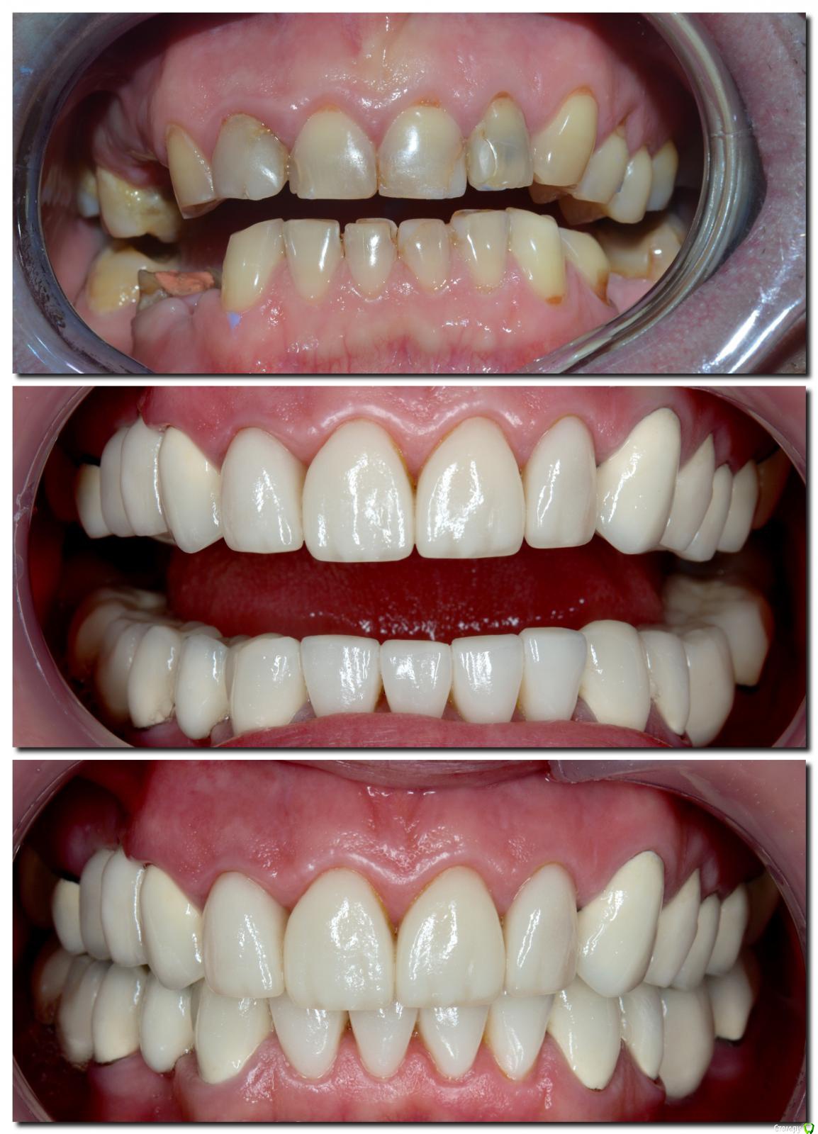
NazranDantist Опубликовано 14 июня, 2016 Поделиться Опубликовано 14 июня, 2016 Много коронок, немного имплантов.4-е резца верх и низ И-макс, остальное МК 3 Ссылка на комментарий
chervoncevdaniil Опубликовано 14 июня, 2016 Поделиться Опубликовано 14 июня, 2016 Фото с препом можно посмотреть? Ссылка на комментарий
anvladd Опубликовано 14 июня, 2016 Поделиться Опубликовано 14 июня, 2016 (изменено) В очередной раз убеждаюсь в том как мы зависим от техников. 1сегмент выпуклил зачемто. Изменено 14 июня, 2016 пользователем anvladd Ссылка на комментарий
Рекомендуемые сообщения
Для публикации сообщений создайте учётную запись или авторизуйтесь
Вы должны быть пользователем, чтобы оставить комментарий
Создать аккаунт
Зарегистрируйте новый аккаунт в нашем сообществе. Это очень просто!
Регистрация нового пользователяВойти
Уже есть аккаунт? Войти в систему.
Войти