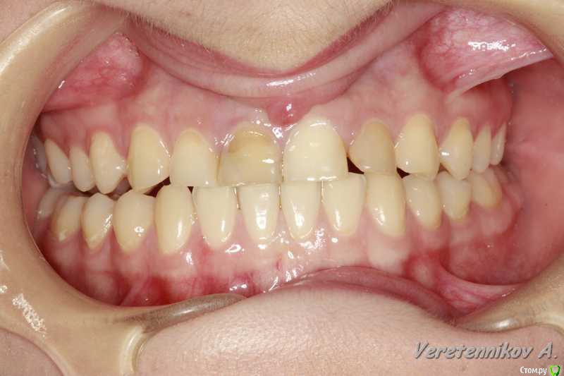
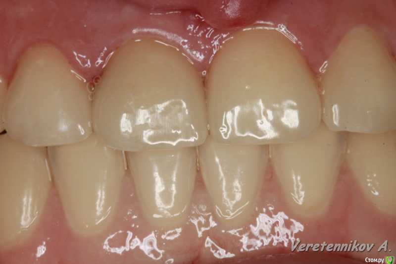
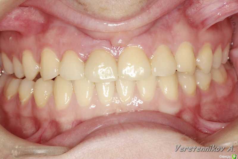
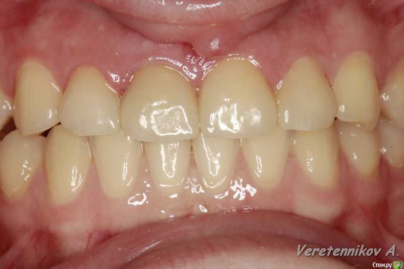
an_ver Опубликовано 14 июня, 2016 Поделиться Опубликовано 14 июня, 2016 4 винира,изменение формы и коррекция цвета 10 Ссылка на комментарий
anvladd Опубликовано 14 июня, 2016 Поделиться Опубликовано 14 июня, 2016 Из чего? Ссылка на комментарий
an_ver Опубликовано 14 июня, 2016 Автор Поделиться Опубликовано 14 июня, 2016 Пре Из чего?пресс+нанесение Ссылка на комментарий
AndyAndy Опубликовано 14 июня, 2016 Поделиться Опубликовано 14 июня, 2016 Хорошо получилось Ссылка на комментарий
an_ver Опубликовано 15 июня, 2016 Автор Поделиться Опубликовано 15 июня, 2016 Хорошо получилосьСпасибо Ссылка на комментарий
Bratok Опубликовано 15 июня, 2016 Поделиться Опубликовано 15 июня, 2016 Выглядит красиво Ссылка на комментарий
an_ver Опубликовано 16 июня, 2016 Автор Поделиться Опубликовано 16 июня, 2016 Выглядит красиво Спасибо Ссылка на комментарий
Рекомендуемые сообщения
Для публикации сообщений создайте учётную запись или авторизуйтесь
Вы должны быть пользователем, чтобы оставить комментарий
Создать аккаунт
Зарегистрируйте новый аккаунт в нашем сообществе. Это очень просто!
Регистрация нового пользователяВойти
Уже есть аккаунт? Войти в систему.
Войти