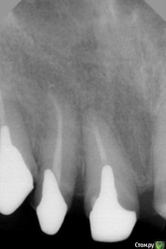
dr.Dre Опубликовано 13 июня, 2016 Поделиться Опубликовано 13 июня, 2016 Добрый вечер коллеги,делал тотальную работу под дугу металокерамики,вот одна из вкладок пошла в бок какой дальнейший прогноз? Ссылка на комментарий
chervoncevdaniil Опубликовано 13 июня, 2016 Поделиться Опубликовано 13 июня, 2016 (изменено) Я бы на вашем месте побеспокоился о очень короткой длине внутрикорневой части обеих вкладок,там реально риск расцементировок большой Изменено 13 июня, 2016 пользователем chervoncevdaniil Ссылка на комментарий
Art 7 Опубликовано 13 июня, 2016 Поделиться Опубликовано 13 июня, 2016 Судя по всему тканей над десной более чем достаточно, так что думаю будет все ок Ссылка на комментарий
chervoncevdaniil Опубликовано 13 июня, 2016 Поделиться Опубликовано 13 июня, 2016 Судя по всему тканей над десной более чем достаточно, так что думаю будет все окНу да,феррул в данной ситуации может проблему решить Ссылка на комментарий
dr.Dre Опубликовано 13 июня, 2016 Автор Поделиться Опубликовано 13 июня, 2016 Я бы на вашем месте побеспокоился о очень короткой длине внутрикорневой части обеих вкладок,там реально риск расцементировок большойу меня всегда проблема,не могу разработать нормально канал,какие вы б инструменты посоветовали? Ссылка на комментарий
dr.Dre Опубликовано 13 июня, 2016 Автор Поделиться Опубликовано 13 июня, 2016 Судя по всему тканей над десной более чем достаточно, так что думаю будет все окспасибо за ответ Ссылка на комментарий
Karoshi Опубликовано 13 июня, 2016 Поделиться Опубликовано 13 июня, 2016 у меня всегда проблема,не могу разработать нормально канал,какие вы б инструменты посоветовали? ИМХО - если имеете дело с гуттаперчей в каналах, то ларго № 1 - 3 последовательно, первый номер проходит через гутту как лом через сами знаете что Риск перфорации или ухода в сторону минимален, даже если есть ступени. Дальше любая конусная развёртка красная или желтая. Ссылка на комментарий
Stomart Опубликовано 13 июня, 2016 Поделиться Опубликовано 13 июня, 2016 у меня всегда проблема,не могу разработать нормально канал,какие вы б инструменты посоветовали?Присоединяюсь к вопросу. Сейчас пользуюсь турбиной с шариком на длинной ножке. 1 Ссылка на комментарий
johniola Опубликовано 13 июня, 2016 Поделиться Опубликовано 13 июня, 2016 если не перфорировал то всё ок Ссылка на комментарий
chervoncevdaniil Опубликовано 13 июня, 2016 Поделиться Опубликовано 13 июня, 2016 (изменено) Присоединяюсь к вопросу. Сейчас пользуюсь турбиной с шариком на длинной ножке.Ну если там гуттаперча,то проблем вообще никаких не должно быть,вы распломбировываете Гейтсами или ларго прямо по гуттаперче,эти инструменты вам не запилят перфорацию в канале,судя по рентгену топикстартера он тоже турбиной в канале работал.А если там не гуттаперча,то я лично отправляю к терапевтам,чтобы во первых-была качественная пломбировка(потому что цемент или резорцин-это ненадежная эндоднтия),а во вторых мне так проще работать потом под вкладку Изменено 13 июня, 2016 пользователем chervoncevdaniil Ссылка на комментарий
krokomot Опубликовано 13 июня, 2016 Поделиться Опубликовано 13 июня, 2016 разрабатываю ларго, должна быть хорошая эндодонтия, тогда и проблем не будет у вас Ссылка на комментарий
anvladd Опубликовано 13 июня, 2016 Поделиться Опубликовано 13 июня, 2016 Uniclip, там и развертки есть,хватает надолго. Dr.dre,терапией когда нибудь занимались? Ссылка на комментарий
Ker Опубликовано 14 июня, 2016 Поделиться Опубликовано 14 июня, 2016 Каналы сами делали? Гуттаперчу развертками отлично удалять, постоянно ими пользуюсь, боры не советую использовать,только в крайнем случае. Ссылка на комментарий
dr.Dre Опубликовано 14 июня, 2016 Автор Поделиться Опубликовано 14 июня, 2016 Каналы сами делали? Гуттаперчу развертками отлично удалять, постоянно ими пользуюсь, боры не советую использовать,только в крайнем случае.2 сам делал,центральный не смог разпломбировать Ссылка на комментарий
dr.Dre Опубликовано 14 июня, 2016 Автор Поделиться Опубликовано 14 июня, 2016 Uniclip, там и развертки есть,хватает надолго. Dr.dre,терапией когда нибудь занимались?Терапией занимаюсь Ссылка на комментарий
anvladd Опубликовано 14 июня, 2016 Поделиться Опубликовано 14 июня, 2016 Не хочу уколоть,но как вы умудрились пойти в бок если каналы сами же делали? Ссылка на комментарий
chervoncevdaniil Опубликовано 14 июня, 2016 Поделиться Опубликовано 14 июня, 2016 Не расстраивайтесь в любом случае,страшного тут ничего нет,всякое бывает,главное,что не перфорировали,иначе получилось бы что сам полечил,сам спротезировал,сам удалил Ссылка на комментарий
vse32 Опубликовано 14 июня, 2016 Поделиться Опубликовано 14 июня, 2016 Присоединяюсь к вопросу. Сейчас пользуюсь турбиной с шариком на длинной ножке. Механика, хиругическая длина, самый маленький шарик. Рубит все. И пломбировку и зуб. Надо быть очень осторожным. Иногда при ретритах устья раскрываю. Ссылка на комментарий
Karoshi Опубликовано 14 июня, 2016 Поделиться Опубликовано 14 июня, 2016 (изменено) Присоединяюсь к вопросу. Сейчас пользуюсь турбиной с шариком на длинной ножке.Имхо, если хорошо запломбировано гуттаперчей, то с ларго или гейтсами просто нужно не бояться приложить чуть больше усилие (только разумно), ну и начинать с #1. Если стремновато, попробуйте попилить удалённый зуб ими - все страхи отпадут Если уж в канале цемент и ничего с этим не поделать, очень хорошо помогают твердосплавные (именно твердосплавы, не стальные) боры для углового. Пилят всё дико, стоят дороговато, но всё равно контроль лучше, чем с турбиной. Через каждые 1-2мм следите за точкой пломбировочного в канале - если уходит от центра, значит или вы идёте не туда, или канал кривой. В общем, цельтесь в цемент Изменено 14 июня, 2016 пользователем Karoshi Ссылка на комментарий
dr.Dre Опубликовано 14 июня, 2016 Автор Поделиться Опубликовано 14 июня, 2016 Не расстраивайтесь в любом случае,страшного тут ничего нет,всякое бывает,главное,что не перфорировали,иначе получилось бы что сам полечил,сам спротезировал,сам удалил спасибо за поддержку Ссылка на комментарий
dr.Dre Опубликовано 14 июня, 2016 Автор Поделиться Опубликовано 14 июня, 2016 Не хочу уколоть,но как вы умудрились пойти в бок если каналы сами же делали?ну так вышло Ссылка на комментарий
dr.Dre Опубликовано 15 июня, 2016 Автор Поделиться Опубликовано 15 июня, 2016 Всем спасибо за ответы Ссылка на комментарий
joker_61rus Опубликовано 26 июня, 2016 Поделиться Опубликовано 26 июня, 2016 Как писали выше с гутаперчей проблем нет, канал нашел и ларго прошел. Я цемент приловчился ультразвуком проходить + твердосплавный шарик на микромотор+ развертки, когда время есть(работаю в госке) люблю поковыряться чтоб поглубже разобрать канал. То что на вашем снимке немного ушли-ничего страшного, перфо вроде нет, а вот длинна маловата конечно. Если работа только не стадии вкладок, я б переделал. Ссылка на комментарий
Norton Опубликовано 26 июня, 2016 Поделиться Опубликовано 26 июня, 2016 Еще можно отработанными протейперами проходить Ссылка на комментарий
Рекомендуемые сообщения
Для публикации сообщений создайте учётную запись или авторизуйтесь
Вы должны быть пользователем, чтобы оставить комментарий
Создать аккаунт
Зарегистрируйте новый аккаунт в нашем сообществе. Это очень просто!
Регистрация нового пользователяВойти
Уже есть аккаунт? Войти в систему.
Войти