ANTL Опубликовано 11 июня, 2016 Поделиться Опубликовано 11 июня, 2016 Здравствуйте, у ребенка ночью болели зубы, утром поехали к врачу. Врач поставил диагноз периодонтит и направил на удаление молочного зуба. Т.к. сказали что зуб молочный, не сомневались в удалении. Удалили. Заметил длинные корни у зуба и успугался молочный ли он. Приложил фотографию. Подскажите, это молочный зуб или коренной? Как можно различить зубы? Спасибо, Анатолий Ссылка на комментарий
Brigita Опубликовано 11 июня, 2016 Поделиться Опубликовано 11 июня, 2016 По фото вряд ли можно понять, что это. У молочных зубов корни есть и именно такие. Вы их не видите обычно, так как при смене прикуса происходит физиологическое рассасывание корней, они становятся подвижными без опоры и выпадают они уже без них Ссылка на комментарий
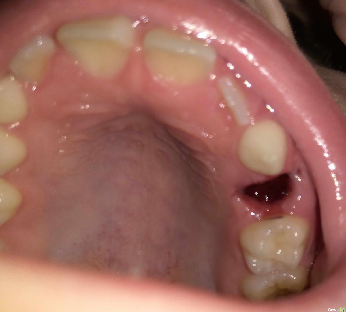
red_butler Опубликовано 11 июня, 2016 Поделиться Опубликовано 11 июня, 2016 Сколько лет ребенку? Покажите фото во рту Ссылка на комментарий
ANTL Опубликовано 11 июня, 2016 Автор Поделиться Опубликовано 11 июня, 2016 Сколько лет ребенку? Покажите фото во рту Ребенку семь с половиной лет. Приложил фото ранки во рту. Ссылка на комментарий
red_butler Опубликовано 11 июня, 2016 Поделиться Опубликовано 11 июня, 2016 Зуб то молочный, но зачем удалили не понял. Rg делали? Ссылка на комментарий
Brigita Опубликовано 11 июня, 2016 Поделиться Опубликовано 11 июня, 2016 ну теперь то уж не вернешь.До постоянного далеко еще, как минимум два года Ссылка на комментарий
ANTL Опубликовано 11 июня, 2016 Автор Поделиться Опубликовано 11 июня, 2016 Спасибо за ответ. Ночью сильно болел, удалять рекомендовали 2 врача. Поскольку зуб был молочный, почему-то не сомневался. Вероятно, надо было лечить. Ссылка на комментарий
ANTL Опубликовано 11 июня, 2016 Автор Поделиться Опубликовано 11 июня, 2016 Подскажите, если удален этот мололчный зуб и до коренного минимум 2 года, могут ли быть какие проблемы с челюстью и что можно сделать? Ссылка на комментарий
Brigita Опубликовано 11 июня, 2016 Поделиться Опубликовано 11 июня, 2016 чаще всего происходит сдвижение или наклон соседних зубов в сторону отсутствующего. У вас они оба молочные. Дольше всех стоять будет тот. который дальше - молочная пятерка. Около 5-6 лет. Он скорее всего и наклонится. Для того. чтобы этого избежать можно изготовить хранитель места. Выглядит это так http://i082.radikal.ru/1003/23/1ad9d0656f10.jpg 1 Ссылка на комментарий
ANTL Опубликовано 17 июня, 2016 Автор Поделиться Опубликовано 17 июня, 2016 чаще всего происходит сдвижение или наклон соседних зубов в сторону отсутствующего. У вас они оба молочные. Дольше всех стоять будет тот. который дальше - молочная пятерка. Около 5-6 лет. Он скорее всего и наклонится. Для того. чтобы этого избежать можно изготовить хранитель места. Выглядит это так Подскажите, где лучше установить такой держатель места. Интересуют контакты врача или стоматологии. Спасибо. Ссылка на комментарий
red_butler Опубликовано 26 июня, 2016 Поделиться Опубликовано 26 июня, 2016 Подскажите, где лучше установить такой держатель места. Интересуют контакты врача или стоматологии. Спасибо. http://forum.stom.ru/topic/4747-posovetujte-ortodonta-v-gorode-n/ Ссылка на комментарий
Yana guapa Опубликовано 26 июня, 2016 Поделиться Опубликовано 26 июня, 2016 чаще всего происходит сдвижение или наклон соседних зубов в сторону отсутствующего. У вас они оба молочные. Дольше всех стоять будет тот. который дальше - молочная пятерка. Около 5-6 лет. Он скорее всего и наклонится. Для того. чтобы этого избежать можно изготовить хранитель места. Выглядит это так http://i082.radikal.ru/1003/23/1ad9d0656f10.jpg от зубоальвеолярного выдвижения нижних зубов в сторону дефектатакая распорка не спасет. я бы лучше выбрала пластинку с замещающим зубом. и если есть проблемы с прикусом, можно тоже подкорректировать Ссылка на комментарий
Yana guapa Опубликовано 26 июня, 2016 Поделиться Опубликовано 26 июня, 2016 Ребенку семь с половиной лет. Приложил фото ранки во рту. 5.jpg6.jpgна молочной пятерке кариес (со стороны отсутствующего зуба), можно и нужно полечить , пока в пульпит не превратился и пока вам опять не удалили хороший зуб)) Ссылка на комментарий
Рекомендуемые сообщения
Для публикации сообщений создайте учётную запись или авторизуйтесь
Вы должны быть пользователем, чтобы оставить комментарий
Создать аккаунт
Зарегистрируйте новый аккаунт в нашем сообществе. Это очень просто!
Регистрация нового пользователяВойти
Уже есть аккаунт? Войти в систему.
Войти