Перейти к содержанию
Стоматология для всех

Проблемные 7ки. Как спланировать лечение


МамаОля

Рекомендуемые сообщения

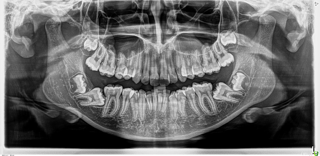
Доброго дня! Дочке 13 лет, есть скученность зубов на НЧ. Запланировали установку брекетов. Сделали снимок, там оказалось все грустно. Теперь веду поиск ортодонта, который готов с этим бороться. Мнения оказались очень разные, некоторые сразу говорят, что браться за это не будут, были даже предложения оставить как есть http://stomforum.ru/images/smilies/icon_e_biggrin.gif. Предлагали удалять 7ки и ждать пока на их место приплывут 8ки. Были предложения удалить зачатки 8к и поднять 7ки, но вот как поднять - вопрос сложный. Очень боюсь выбрать неправильный путь, не хочется мучить ребенка годами безрезультатно. Подскажите, пожалуйста, уважаемые ортодонты, какое Вы выбрали бы решение в сложившейся ситуации?

post-48199-0-36982000-1465541492_thumb.jpg

post-48199-0-83702400-1465541516_thumb.jpg

post-48199-0-91835000-1465541545_thumb.jpg

 

post-48199-0-04795200-1465541923_thumb.jpg

post-48199-0-21702400-1465542036_thumb.jpg

post-48199-0-44746400-1465542056_thumb.jpg

post-48199-0-18078800-1465542253_thumb.jpg

 

 

 

Ссылка на комментарий

Доброго дня! Дочке 13 лет, есть скученность зубов на НЧ. Запланировали установку брекетов. Сделали снимок, там оказалось все грустно. Теперь веду поиск ортодонта, который готов с этим бороться. Мнения оказались очень разные, некоторые сразу говорят, что браться за это не будут, были даже предложения оставить как есть http://stomforum.ru/images/smilies/icon_e_biggrin.gif. Предлагали удалять 7ки и ждать пока на их место приплывут 8ки. Были предложения удалить зачатки 8к и поднять 7ки, но вот как поднять - вопрос сложный. Очень боюсь выбрать неправильный путь, не хочется мучить ребенка годами безрезультатно. Подскажите, пожалуйста, уважаемые ортодонты, какое Вы выбрали бы решение в сложившейся ситуации?

 

 

attachicon.gifimage-08-06-16-03-05-1.jpg

 

 

а где фото  моделей с правой стороной??  

1. поднять прикус (хоть бы и на плстинке с накусочной площадкой)

2.  открыть зуб и приклеить кнопку. 

3. подождать. шанс есть.

4.  если не поможет, можно удалить 8ки и дать тягу на 7-ки (специальные пружины)

Ссылка на комментарий

Для публикации сообщений создайте учётную запись или авторизуйтесь

Вы должны быть пользователем, чтобы оставить комментарий

Создать аккаунт

Зарегистрируйте новый аккаунт в нашем сообществе. Это очень просто!

Регистрация нового пользователя

Войти

Уже есть аккаунт? Войти в систему.

Войти
×
×
  • Создать...
Вверх