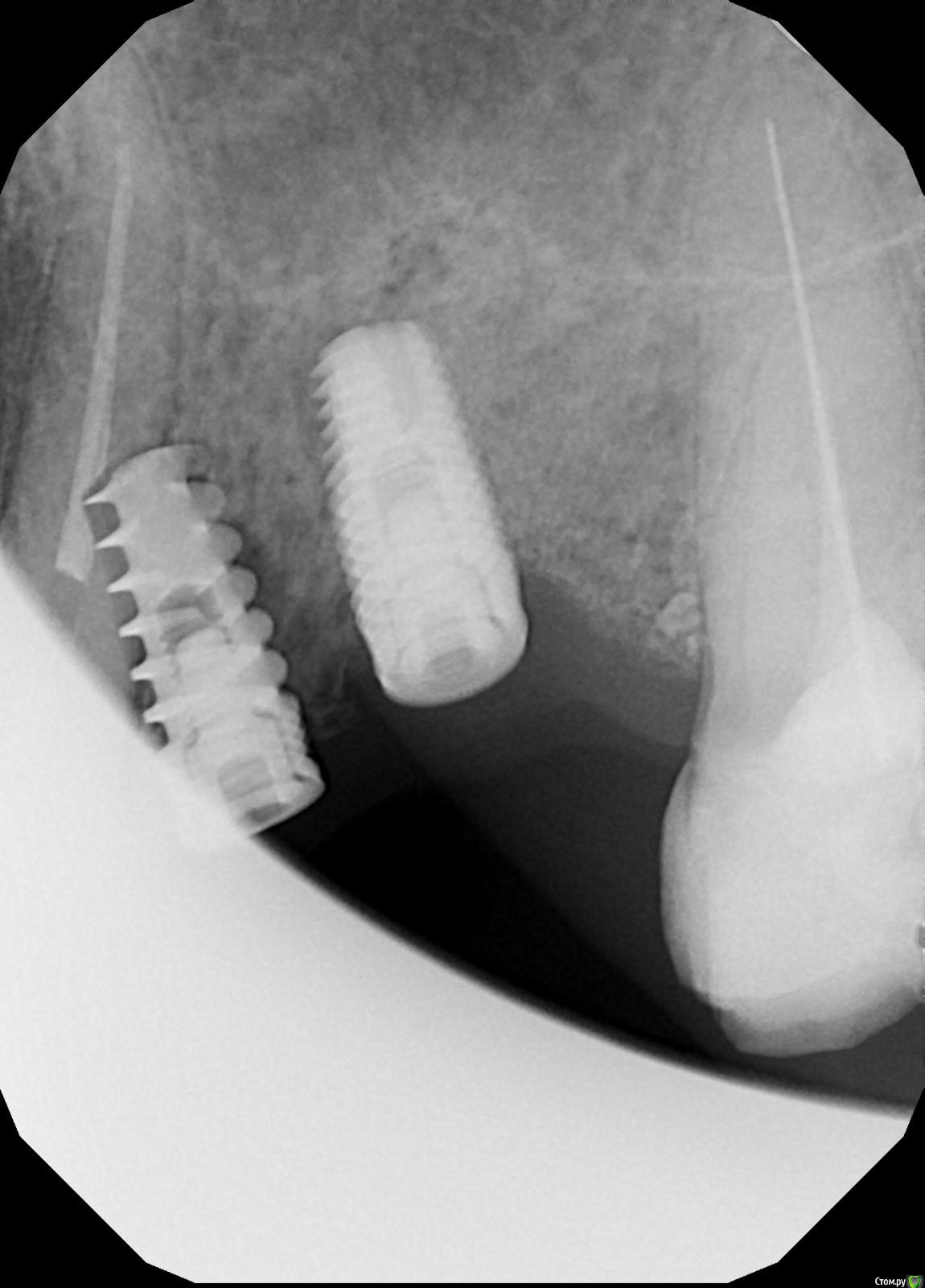
NazranDantist Опубликовано 5 июня, 2016 Поделиться Опубликовано 5 июня, 2016 Вот так поставили имплант. Кто что предложит делать? Если выкручивать, что делать с 23 зубом? Симпотоматики никакой, ничего не беспокоит. Ставили примерно в марте. Мне нужно протезировать. Может так оставить, если торк выдержит. А если не выдержит, опять возвращаемся к вопросу, что делать с 23 . На КТ думаю нет смысла отправлять, будет фонить металл. Ссылка на комментарий
AlexanderGudkov Опубликовано 5 июня, 2016 Поделиться Опубликовано 5 июня, 2016 Я за удаление имплантата. Зуб скорее всего тоже не жилец... 6 Ссылка на комментарий
NazranDantist Опубликовано 5 июня, 2016 Автор Поделиться Опубликовано 5 июня, 2016 Я за удаление имплантата. Зуб скорее всего тоже не жилец...Забыл сказать, во фронте мост от клыка до клыка мк, не наш. Вообщем за много лет первый раз такой пи... Я думаю открыть, попробывать на нагрузку, если интегрирован, сделать временные на пол года год и наблюдать.Доктора, у кого-то были наблюдения за такими случаями? Ссылка на комментарий
AlexanderGudkov Опубликовано 5 июня, 2016 Поделиться Опубликовано 5 июня, 2016 Забыл сказать, во фронте мост от клыка до клыка мк, не наш. Вообщем за много лет первый раз такой пи... Я думаю открыть, попробывать на нагрузку, если интегрирован, сделать временные на пол года год и наблюдать.Доктора, у кого-то были наблюдения за такими случаями?Куда интегрирован? В Корень? Вот Наблюдение:http://s017.radikal.ru/i437/1604/2a/2905c881afac.jpg 3 Ссылка на комментарий
4ebstom Опубликовано 5 июня, 2016 Поделиться Опубликовано 5 июня, 2016 Другой тоже не в идеальной позиции... 1 Ссылка на комментарий
Карен Аванесов Опубликовано 5 июня, 2016 Поделиться Опубликовано 5 июня, 2016 r.i.p. Ссылка на комментарий
vse32 Опубликовано 5 июня, 2016 Поделиться Опубликовано 5 июня, 2016 А в 26 серебряный штифт? Один на все каналы. Там похоже не один фэил. Ссылка на комментарий
gum Опубликовано 6 июня, 2016 Поделиться Опубликовано 6 июня, 2016 Достать однозначно. Панорамный снимок есть? Ссылка на комментарий
syrovovec Опубликовано 6 июня, 2016 Поделиться Опубликовано 6 июня, 2016 Все сказано, добавить нечего.... Ссылка на комментарий
Доктор Хаус Опубликовано 7 июня, 2016 Поделиться Опубликовано 7 июня, 2016 Отправьте на КТ . Пусть надежда умрет последней))) Ссылка на комментарий
TIGER Опубликовано 8 июня, 2016 Поделиться Опубликовано 8 июня, 2016 убирать...причём оба.. Ссылка на комментарий
Рекомендуемые сообщения
Для публикации сообщений создайте учётную запись или авторизуйтесь
Вы должны быть пользователем, чтобы оставить комментарий
Создать аккаунт
Зарегистрируйте новый аккаунт в нашем сообществе. Это очень просто!
Регистрация нового пользователяВойти
Уже есть аккаунт? Войти в систему.
Войти