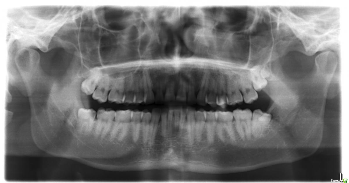
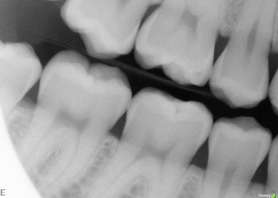
laz Опубликовано 31 мая, 2016 Поделиться Опубликовано 31 мая, 2016 Здравствуйте,Был на приеме у зубного врача, чтобы почистить зубы. Он сказал мне нужны пломбы на 4 зуба (1-7, 1-6, 2-7 2-6).Еще он сказал мне нужно удалить все зубы мудрости. (не обязательно сейчас, но в ближайщем будущем)Болей никаких у меня нет. Поэтому не знаю, как быть.Посмотрите, пожалуйста, на рентгены и очень хочу услышать Ваше мнение/совет.Заранее спасибо, Владимир. Ссылка на комментарий
red_butler Опубликовано 31 мая, 2016 Поделиться Опубликовано 31 мая, 2016 все правильно, удаляйте все восьмыеи девятый 5 Ссылка на комментарий
vse32 Опубликовано 1 июня, 2016 Поделиться Опубликовано 1 июня, 2016 и девятый Точно, 33! Ссылка на комментарий
Рекомендуемые сообщения
Для публикации сообщений создайте учётную запись или авторизуйтесь
Вы должны быть пользователем, чтобы оставить комментарий
Создать аккаунт
Зарегистрируйте новый аккаунт в нашем сообществе. Это очень просто!
Регистрация нового пользователяВойти
Уже есть аккаунт? Войти в систему.
Войти