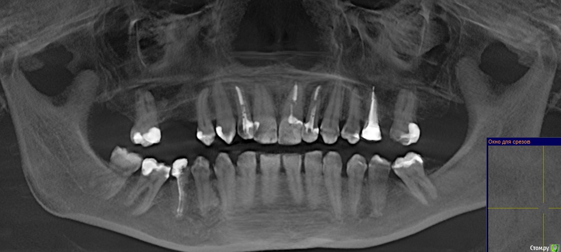
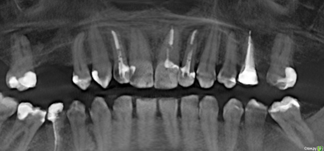
Ankazabolevshaya Опубликовано 28 мая, 2016 Поделиться Опубликовано 28 мая, 2016 Здравствуйте, уважаемые врачи! Очень сильно нуждаюсь в вашей помощи. В 2013 мне лечили два передних зуба (клык и передний). Пломбировали каналы, но коронки не ставили. Этой зимой я почувствовала боль в передних зубах в районе челюсти. Раздражение в дёснах. Резь. Потом вылез какой-то пупырь на десне. Я думала, что это стоматит. Не верила тем, кто мне говорил про нужность обзорного снимка. Признаю свою глупость. Теперь, после КТ оказалось что у меня сломаны эти каналы, а под левым клыком пустота. А пупырь, как мне сказали - это выход свища.Мне предложили зуб удалять. Как-то восстанавливать эту пустоту. Потом делать имплантацию. Есть ли сегодня технологии, позволяющие восстанавливать это пространство под зубом без его удаления, с последующей коронкой на него? И ещё один вопрос: могло ли все это случится из-за какой-нибудь заразы, занесенной во время лечения этих двух зубов в 2013г. ? Так же был момент ранения слизистой левой ноздри, как раз над свищем, который на десне. Просто очень часто слизистая иссыхала в одном месте и я травмировала слизистую. Буду очень благодарна за ответ. От меня в клинике ждут решения, а я переживаю, что улыбка испортится с искусственным зубом. Зуб этот свой очень люблю. Анна. Ссылка на комментарий
red_butler Опубликовано 28 мая, 2016 Поделиться Опубликовано 28 мая, 2016 Ищите грамотного эндодонтиста и перелечивайте 2 Ссылка на комментарий
Ankazabolevshaya Опубликовано 28 мая, 2016 Автор Поделиться Опубликовано 28 мая, 2016 Ищите грамотного эндодонтиста и перелечивайтеСпасибо! Можете пояснить, Вы думаете, что зуб можно спасти? Ссылка на комментарий
red_butler Опубликовано 28 мая, 2016 Поделиться Опубликовано 28 мая, 2016 Спасибо! Можете пояснить, Вы думаете, что зуб можно спасти? если судить только по снимкам, то да 1 Ссылка на комментарий
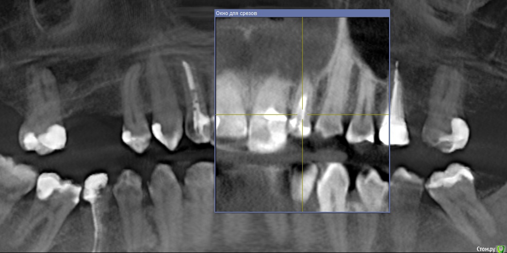
Ankazabolevshaya Опубликовано 28 мая, 2016 Автор Поделиться Опубликовано 28 мая, 2016 если судить только по снимкам, то даа скажите, как по Вашему, это киста прикорневая? Или челюсть разрушена? Нужно восстановление челюсти? Ссылка на комментарий
Ankazabolevshaya Опубликовано 28 мая, 2016 Автор Поделиться Опубликовано 28 мая, 2016 если судить только по снимкам, то даи корень ведь сломан, поставить под коронки всё равно можно? Ссылка на комментарий
Ankazabolevshaya Опубликовано 28 мая, 2016 Автор Поделиться Опубликовано 28 мая, 2016 И еще последнее, как Вы относитесь к процедуре - депофорез? В моём случае стоит в эту торону смотреть? Ссылка на комментарий
red_butler Опубликовано 29 мая, 2016 Поделиться Опубликовано 29 мая, 2016 а скажите, как по Вашему, это киста прикорневая? Или челюсть разрушена? Нужно восстановление челюсти? это не важно и корень ведь сломан, поставить под коронки всё равно можно? перелома не увидел И еще последнее, как Вы относитесь к процедуре - депофорез? В моём случае стоит в эту торону смотреть? бесполезно 2 Ссылка на комментарий
Ankazabolevshaya Опубликовано 29 мая, 2016 Автор Поделиться Опубликовано 29 мая, 2016 (изменено) спасибо большое) Позвольте еще пару вопросов: 1. Как же доказать им что нет на самом деле этого перелома (или корневого канала)? Они же ведь по снимкам ориентировались (по КТ) когда утверждали что есть перелом. Утверждали, что всё случилось из-за нагрузки , сломался корень и поэтому киста. Сейчас с меня взяли 6 т.р. на временный протез и записали на удаление. Может быть я смогу вернуть деньги если скажу, что меня дезинформировали. 2. Как по-вашему – скорее всего виноват тот врач (как раз это тот врач, который настаивает на удалении и на переломе канала), который пломбировал каналы этого зуба в 2013? Или я? Сколько по времени такая штука на корне в среднем формируется? Было и ранение слизистой носа было так же ранение десны во время читки нитью, глубокое и долго заживало. Теперь уже не разобраться, виноват ли врач? Изменено 29 мая, 2016 пользователем Ankazabolevshaya Ссылка на комментарий
Ankazabolevshaya Опубликовано 29 мая, 2016 Автор Поделиться Опубликовано 29 мая, 2016 Да и раз депофорез бесполезен, то что с Вашей точки зрения предпочтительнее сегодня в моём случае? Лазер или иссечение корня? Ссылка на комментарий
red_butler Опубликовано 29 мая, 2016 Поделиться Опубликовано 29 мая, 2016 Как же доказать им что нет на самом деле этого перелома (или корневого канала)? Мы видим только часть срезов Кт, а доктора на очном осмотре и ситуацию в полости рта.Сходите еще на пару консультаций. Как по-вашему – скорее всего виноват тот врач (как раз это тот врач, который настаивает на удалении и на переломе канала), который пломбировал каналы этого зуба в 2013? Или я? Сколько по времени такая штука на корне в среднем формируется? Было и ранение слизистой носа было так же ранение десны во время читки нитью, глубокое и долго заживало. Теперь уже не разобраться, виноват ли врач? Вы не правильно понимаете цели форума, Мы отвечаем на вопросы "что делать" Да и раз депофорез бесполезен, то что с Вашей точки зрения предпочтительнее сегодня в моём случае? Лазер или иссечение корня? Повторное лечение корневого канала. 3 Ссылка на комментарий
Ankazabolevshaya Опубликовано 29 мая, 2016 Автор Поделиться Опубликовано 29 мая, 2016 Всё пока ясно. Спасибо большое) Схожу на консультацию, могут появиться, конечно, еще вопросы. Ссылка на комментарий
Bier Опубликовано 29 мая, 2016 Поделиться Опубликовано 29 мая, 2016 не нужно искать каких-то чудес типа депофореза или лазера. Вам нужно просто классическое перелечивание корневого канала по стандартному протоколу. У эндодонтиста с микроскопом. Обязательно восстановление зуба коронкой. 4 Ссылка на комментарий
Ankazabolevshaya Опубликовано 30 мая, 2016 Автор Поделиться Опубликовано 30 мая, 2016 не нужно искать каких-то чудес типа депофореза или лазера. Вам нужно просто классическое перелечивание корневого канала по стандартному протоколу. У эндодонтиста с микроскопом. Обязательно восстановление зуба коронкой. Спасибо большое Ссылка на комментарий
vse32 Опубликовано 30 мая, 2016 Поделиться Опубликовано 30 мая, 2016 не нужно искать каких-то чудес типа депофореза или лазера. Вам нужно просто классическое перелечивание корневого канала по стандартному протоколу. У эндодонтиста с микроскопом. Обязательно восстановление зуба коронкой.+1 2 Ссылка на комментарий
Ankazabolevshaya Опубликовано 31 мая, 2016 Автор Поделиться Опубликовано 31 мая, 2016 Всем спасибо большое! Да, так и оказалось, что трещины нет. Отправляла снимки в пару Московских клиник и сходила к эндодантисту , который работает на микроскопе. Через канал всё промыли и заложили лекарство. В извлеченном материале из канала были какие-то чёрные включения. Т.е. пломбирование было не герметичным. Как мне сказали, 70% что заживёт. Если нет, тогда будут иссякать корень. И только если это не поможет, будет удаление. 1 Ссылка на комментарий
red_butler Опубликовано 31 мая, 2016 Поделиться Опубликовано 31 мая, 2016 ну вот и хорошо, не забудьте поделиться результатами. Ссылка на комментарий
Ankazabolevshaya Опубликовано 29 июня, 2016 Автор Поделиться Опубликовано 29 июня, 2016 Здравствуйте! Сегодня вновь была у стоматолога. Ситуация такая (очень нехорошая): После того, как заложили лекарство - свищ так и не закрылся. Доктор очень удивился. Вновь заложил лекарство, но уже добавив какой-то йодсодержащий препарат. А затем сделал снимок (мне его не дал, поэтому собираюсь сделать кт снова). Рассматривая снимок, он очень сильно огорчился (даже оплату не взял за посещение). Сказал, что раньше через микроскоп ситуацию не увидел такой, какая она скорее всего является. Что это очень может быть - резорбция корня и скорее всего внутренняя. Что то, что мы сейчас сделали скорее всего не принесёт результата. И что если даже затянется свищ, хорошего всё равно мало...Отсечение корня не поможет – расстояния там какие-то маленькие, зуб упадёт от яблока...Доктор говорил про то, что можно чем-то залить, про штифт… не успевала фиксировать эти предположения и не смогла запомнить формулировки. Может быть всё зря? Или всё же стоит идти дальше? Доктор хороший, один из лучших в городе. Снимок после последних процедур постараюсь сделать и выложить побыстрее. Ссылка на комментарий
Bier Опубликовано 30 июня, 2016 Поделиться Опубликовано 30 июня, 2016 тут уже сложно прокомментировать ситуацию. Мы же не видим, того что врач видит в микроскоп. Ссылка на комментарий
Ankazabolevshaya Опубликовано 30 июня, 2016 Автор Поделиться Опубликовано 30 июня, 2016 (изменено) Спасибо) да, если уж и после использования необходимых технологий всё равно неясность.. Изменено 30 июня, 2016 пользователем Ankazabolevshaya Ссылка на комментарий
Ankazabolevshaya Опубликовано 30 июня, 2016 Автор Поделиться Опубликовано 30 июня, 2016 тут уже сложно прокомментировать ситуацию. Мы же не видим, того что врач видит в микроскоп.Самое интересное, что в микроскоп он ничего не увидел. Увидел на последнем снимке после процедуры вливания через канал лекарственных средств. Я сама увидела эту незаполненную полость в корне. Этот снимок , как мне сказали не информативен и не дали)) хотя именно по нему были его последние заключения и опасения. Поэтому буду снова делать кт и тут выкладывать. Ссылка на комментарий
Bier Опубликовано 30 июня, 2016 Поделиться Опубликовано 30 июня, 2016 хороший прицельный снимок тоже не помешает. 1 Ссылка на комментарий
St. Опубликовано 1 июля, 2016 Поделиться Опубликовано 1 июля, 2016 Начните с обычного прицельного. Если уже на нем непонятно будет -тогда КТ. 1 Ссылка на комментарий
Рекомендуемые сообщения
Для публикации сообщений создайте учётную запись или авторизуйтесь
Вы должны быть пользователем, чтобы оставить комментарий
Создать аккаунт
Зарегистрируйте новый аккаунт в нашем сообществе. Это очень просто!
Регистрация нового пользователяВойти
Уже есть аккаунт? Войти в систему.
Войти