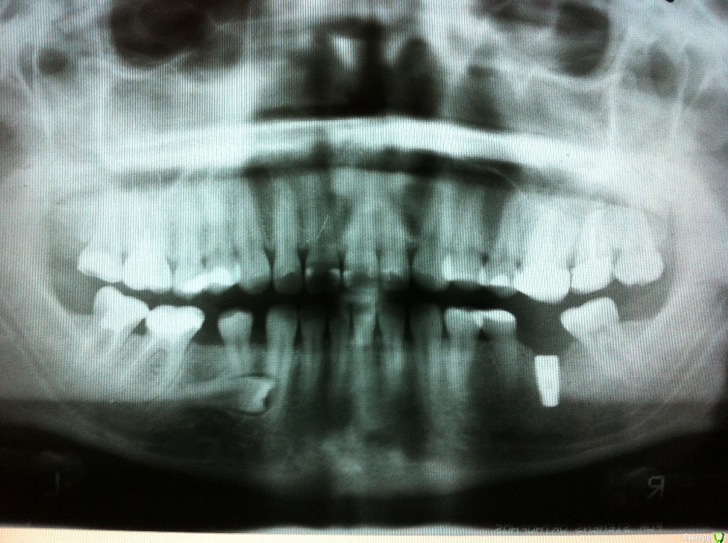
m.gel Опубликовано 27 мая, 2016 Поделиться Опубликовано 27 мая, 2016 Здравствуйте! Обращаюсь к вам за советом, так как живу в небольшом городе, где есть всего один хороший ортодонт (по отзывам). Я была у него на приеме со свей проблемой, но хочется проконсультироваться с другими специалистами. У меня к вам несколько вопросов, очень надеюсь на вашу помощь.1. Дело в том, что у меня долго отсутствовали 2 нижних зуба и верхние противоположные постепенно сместились вниз. Хочу поставить на место отсутствующих нижних зубов импланты, но не знаю что делать с выехавшими верхними. Возможно ли их как-то поднять на прежнее место? Ортодонт сказал спиливать, неужели только такой метод возможен?2. Также один отсутствующий зуб вырос в десне. Его только на удаление?3. Мне неправильно вылечили правую семерку и она меня постоянно беспокоит, стоматолог сказал, что переделать невозможно и только удалять. Скажите пожалуйста, возможно ли ее удалить и передвинуть восьмерку на ее место?4. И еще вопрос, наверное глупый, но важный)) Может ли быть кривая улыбка и вообще сами губы из-за проблем с этими выехавшими верхними зубами? Дефект уж очень заметный. Ссылка на комментарий
DmitrySH Опубликовано 27 мая, 2016 Поделиться Опубликовано 27 мая, 2016 2. Также один отсутствующий зуб вырос в десне. Его только на удаление? Скорее всего, но на снимке непонятно его расположение относительно соседних, так и состояние соседнего зуба. Нужно КТ сделать. 3. Мне неправильно вылечили правую семерку и она меня постоянно беспокоит, стоматолог сказал, что переделать невозможно и только удалять. Скажите пожалуйста, возможно ли ее удалить и передвинуть восьмерку на ее место? Очень не четко на данном снимке, невозможно оценить ее состояние. 4. И еще вопрос, наверное глупый, но важный)) Может ли быть кривая улыбка и вообще сами губы из-за проблем с этими выехавшими верхними зубами? Дефект уж очень заметный. Что и когда делали с губами? Ссылка на комментарий
m.gel Опубликовано 28 мая, 2016 Автор Поделиться Опубликовано 28 мая, 2016 Скорее всего, но на снимке непонятно его расположение относительно соседних, так и состояние соседнего зуба. Нужно КТ сделать. Очень не четко на данном снимке, невозможно оценить ее состояние. Что и когда делали с губами?Ничего не делала, просто несколько лет назад стала замечать, что один уголок губ в обычном положении уполз вниз, а носогубные складки при улыбке асимметричные. Лет 5-6 назад примерно. Ссылка на комментарий
Yana guapa Опубликовано 28 мая, 2016 Поделиться Опубликовано 28 мая, 2016 1. сделать снимок КЛКТ (он даст ответы на многие ваши вопросы)2. восьмерки удалять. все. 3. минивинты на верхнюю челюсть и "вколотить" (поднять) опустившуюся шестерку4. нижние семерки поднять и поставить туда зубы (слева имплант у вас плюс коронка , справа- пока не понятно, либо свой вытащить, либо удалить и имплант)5. губы похожи на губы с гелем. но только владелица знает да или нет)) Ссылка на комментарий
m.gel Опубликовано 29 мая, 2016 Автор Поделиться Опубликовано 29 мая, 2016 Спасибо за ответы. Значит надо искать другого специалиста, кто бы взялся за мою проблему, и сделать КТ для начала)) Ссылка на комментарий
Рекомендуемые сообщения
Для публикации сообщений создайте учётную запись или авторизуйтесь
Вы должны быть пользователем, чтобы оставить комментарий
Создать аккаунт
Зарегистрируйте новый аккаунт в нашем сообществе. Это очень просто!
Регистрация нового пользователяВойти
Уже есть аккаунт? Войти в систему.
Войти