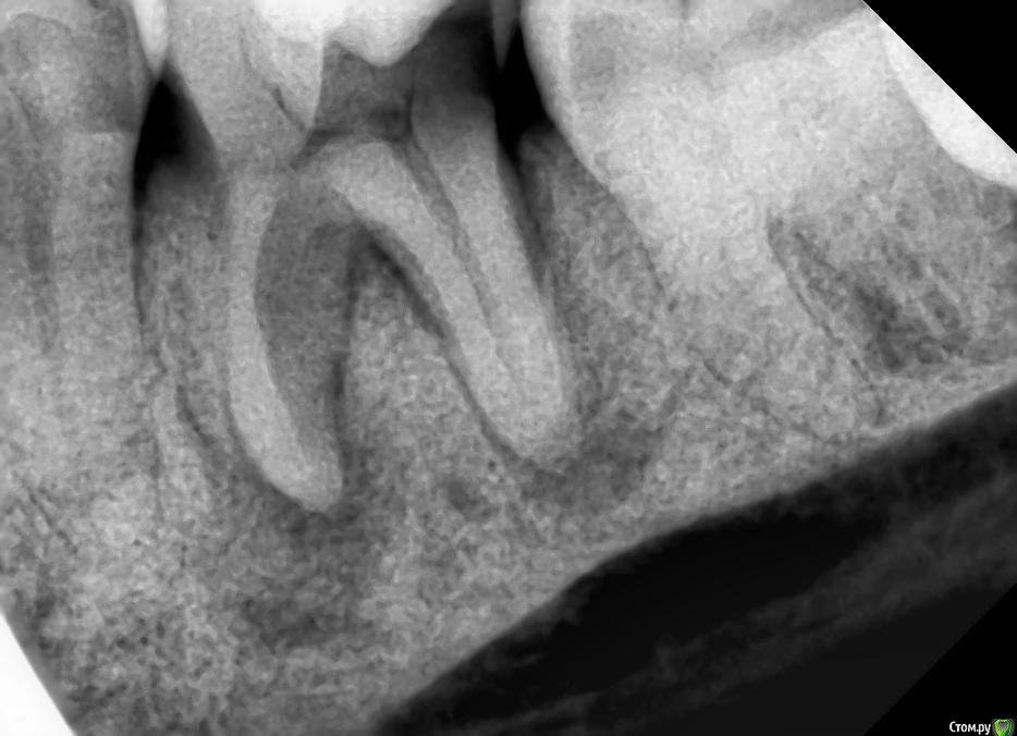
Ирвин Опубликовано 26 мая, 2016 Поделиться Опубликовано 26 мая, 2016 Лечить нельзя удалять. Зуб 3.6.Вся поверхность зуба очень чувствительна к прикосновениям и всяким соленьям и маринадам. Не трогаешь, ничего не беспокоит. Зуб немного шатается, если прилагать усилия.Прошлой осенью было, видимо, обострение, не только было больно прикасаться, но и ныл ещё порядка месяца.Был на приёме у стоматолога, он сказал, что гиперчувствительность эмали, пройдёт. Был только визуальный осмотр, без снимков. Обострение, действительно, прошло, но повышенная чувствительность (если сравнивать с другими зубами) осталась.Зуб с пломбой. Делали очень давно, более 20-ти лет назад. На днях сделал снимок (прилагается) на нём вот такая картина.Что делать? Ссылка на комментарий
shishok Опубликовано 26 мая, 2016 Поделиться Опубликовано 26 мая, 2016 Там скрытый кариес на задней поверхности(достаточно глубокий).Я бы попыталась полечить.ИМХО. Ссылка на комментарий
M@estro Опубликовано 26 мая, 2016 Поделиться Опубликовано 26 мая, 2016 Здравствуйте! Нужен квалифицированный терапевт- эндодонтист. Который поставит правильно диагноз после диагностического препарирования зуб ( уберет весь кариес и оценит масштаб разрушения зуба) . В случае, если зуб можно восстановить качественно - следует сделать это, несмотря на то, что зуб не вечный. Тем самым Вы оттянете радостный момент постановки имплантата в эту область. Если зуб нельзя качественно изолировать от слюны и восстановить его комфортную функцию - зуб следует удалить в ближайшее время. Ответы на эти вопросы Вам и даст Доктор, которому Вы доверяете. 7 Ссылка на комментарий
vse32 Опубликовано 26 мая, 2016 Поделиться Опубликовано 26 мая, 2016 Там скрытый кариес на задней поверхности(достаточно глубокий).Я бы попыталась полечить.ИМХО.Там отлом небной стенки. Я этот зуб видела. Ссылка на комментарий
Jurai Опубликовано 26 мая, 2016 Поделиться Опубликовано 26 мая, 2016 Отличный качественный периодонтит. Стоит попытаться лечить. Ссылка на комментарий
Ирвин Опубликовано 26 мая, 2016 Автор Поделиться Опубликовано 26 мая, 2016 Ещё забыл написать о том, что нервы умерли своей смертью. Отлом нёбной стенки имеется, но можно поставить пломбу. Он не заходит под десну. Ссылка на комментарий
red_butler Опубликовано 27 мая, 2016 Поделиться Опубликовано 27 мая, 2016 Ещё забыл написать о том, что нервы умерли своей смертью. Отлом нёбной стенки имеется, но можно поставить пломбу. Он не заходит под десну.Фото покажите 1 Ссылка на комментарий
IvanK Опубликовано 27 мая, 2016 Поделиться Опубликовано 27 мая, 2016 Фото покажите+1 Ссылка на комментарий
Ирвин Опубликовано 27 мая, 2016 Автор Поделиться Опубликовано 27 мая, 2016 Фото покажитеДругого фото нет. Ссылка на комментарий
red_butler Опубликовано 27 мая, 2016 Поделиться Опубликовано 27 мая, 2016 Другого фото нет.Сделайте фото зуба во рту. Ссылка на комментарий
Ирвин Опубликовано 27 мая, 2016 Автор Поделиться Опубликовано 27 мая, 2016 Сделайте фото зуба во рту.Чуть позже сделаю детальные фото и выложу. Ссылка на комментарий
Ирвин Опубликовано 29 мая, 2016 Автор Поделиться Опубликовано 29 мая, 2016 (изменено) M@estro сказал(а) 26 Май 2016=20:07"Здравствуйте! Нужен квалифицированный терапевт- эндодонтист. Который поставит правильно диагноз после диагностического препарирования зуб ( уберет весь кариес и оценит масштаб разрушения зуба) . В случае, если зуб можно восстановить качественно - следует сделать это, несмотря на то, что зуб не вечный. Тем самым Вы оттянете радостный момент постановки имплантата в эту область. Если зуб нельзя качественно изолировать от слюны и восстановить его комфортную функцию - зуб следует удалить в ближайшее время. Ответы на эти вопросы Вам и даст Доктор, которому Вы доверяете." Здравствуйте! Огромное спасибо за профессиональный совет!Извиняюсь, что не поблагодарил раньше. К сожалению, не догадался просто сделать снимок и выложить здесь, а потом принимать решение. Поторопился, можно так сказать. Стоматолога, которому доверяю, не было, вообще никакого не было. Последние 25 лет к ним обращался только для удаления зубного камня, в основном, но не в Москве. Врача выбрал по интернету (хотя друзья советовали вполне конкретную клинику), «купился» на сайт, который пронизан такой трогательной заботой о пациенте, что заплакать хотелось от умиления. Даже не придал значения исчезновению «страницы отзывов по какому-то фантастическому стечению обстоятельств», всякое бывает, а также отсутствию каких-либо отзывов в интернете вообще, это не всегда плохо, так как больше пишут, когда недовольны, благодарить часто забывают. Может просто не нашёл. Да и о том, что если вы не родственник или близкий человек, “биться до конца” за твой зуб не будут, тоже не написано. Деньги в данном случае, видимо, значения не имеют, хотя кабинет частный и лечение не по полису ОМС. Детали, касающиеся удаления, с фото зуба, изложил ниже. Изменено 29 мая, 2016 пользователем Ирвин Ссылка на комментарий
Ирвин Опубликовано 29 мая, 2016 Автор Поделиться Опубликовано 29 мая, 2016 (изменено) Фото покажите Фото зуба, о котором шла речь. Зуб, как вы знаете, удалён. Поэтому фото не во рту. Разрезан был при удалении, не мной. Забрал его без каких-либо задних мыслей. Так всегда делаю, есть ещё два зуба мудрости.В посте об удалении не написал исключительно потому, что не хотел отвлекать внимания от снимка, так как окончательное решение об удалении принималось врачом на основании его. До этого, по результатам визуального осмотра врачом, в ходе которого и произошёл отлом нёбной стенки (на зубе была вертикальная трещина посередине внутренней стороны, она, собственно, и заставила меня этим зубом заняться, всё равно, рано или поздно трещина бы разошлась, плюс ещё повышенная чувствительность поверхности), было принято решение о лечении, так как мне было сказано, что можно поставить пломбу, поскольку граница отлома не уходит под десну. Затем каким-то прибором проверялись нервы на реакцию на пропускание, судя по всему, электрических импульсов. Зуб, а с ним и я, на это никак не реагировали, в связи с чем было сказано, что нервы мёртвые и что это уже плохо, после чего был сделан снимок и принято решение об удалении, так как на снимке, со слов врача, имеется карман с дистальной стороны на всю длину корня и кисты, может быть ещё что-то, я не помню, не специалист. Никакого предложения о том, чтобы сделать диагностическое препарирование зуба не было. Это то, что я могу сказать с точки зрения пациента в части, касающейся принятия решения об удалении зуба. Врач, видимо, изложил свой взгляд и аргументы в своём посте в «Терапии для врачей», я его видеть не могу, но, поскольку, как здесь, в моём посте, так и в теме для врачей, комментарии его коллег явно не его в пользу, как и его (врача) ответы на эти комментарии, особенно ответы, хотелось бы разобраться в ситуации настолько объективно, насколько это возможно. Так как, исходя из её ответов на комментарии профессионалов, у меня теперь складывается впечатление о том, что основными факторами, способствующими принятию решения об удалении зуба было не столько его состояние, а неуверенность в результатах лечения, то, что я не родственник, чтобы биться до последнего и недостаток времени в связи с ожиданием следующего пациента.Если пугала ответственность, логичнее было бы отказаться от лечения вообще и отправить к более опытному врачу, чем упрощать процесс до удаления. Последние две причины вообще за гранью моего понимания. Хорошо, что врач не хирург и речь о зубе, а не о руке или ноге. Ещё раз всем спасибо за комментарии! Изменено 29 мая, 2016 пользователем Ирвин 1 Ссылка на комментарий
M@estro Опубликовано 30 мая, 2016 Поделиться Опубликовано 30 мая, 2016 (изменено) Судя по фотографии, удаление было проведено максимально бережно , с разделением корней, так что это уже хорошо ) По фото вижу достаточно обширный поддесневой дефект твердых тканей зуба, практически критический. Думаю, что объективно картина была более понятна. Теперь могу дать совет - тщательно выбирайте команду имплантолог - ортопед. Успехов ! Не расстраивайтесь , зуб не 100 % спасаемый, зачастую удаляют гораздо более спасаемые зубы "без суда и следствия" .P.s. То , что зуб разрушен язычно - очень нехорошо, это резко ухудшает прогноз реставрации. Изменено 30 мая, 2016 пользователем M@estro 6 Ссылка на комментарий
red_butler Опубликовано 30 мая, 2016 Поделиться Опубликовано 30 мая, 2016 если зуб удален, зачем морочить голову специалистам форума??? Зуб удален по показаниям, согласие Вы дали. тема закрыта 1 Ссылка на комментарий
Рекомендуемые сообщения