NataliaBer Опубликовано 26 мая, 2016 Поделиться Опубликовано 26 мая, 2016 (изменено) Здравствуйте! Полтора года назад лечила периодонтит в 6 сверху справа, сейчас болит при накусывании и после чистки в этом месте появляется кровь из десны. По снимку стоматолог сказала, что с этим зубом все хорошо, но имеется периодонтит в пятерках, единицах и двойках сверху. Так ли это и стоит ли идти к другому стоматологу? Всем заранее спасибо за ответы Изменено 26 мая, 2016 пользователем NataliaBer Ссылка на комментарий
Л Ю С Я Опубликовано 26 мая, 2016 Поделиться Опубликовано 26 мая, 2016 Может Вы что то не так поняли? Может доктор говорил про пародонтит? Периодонтита не вижу. В любом случае проконсультируйтесь с ещё одним специалистом. 6 зуб лучше обследовать методом компьютерной томографии 2 Ссылка на комментарий
NataliaBer Опубликовано 26 мая, 2016 Автор Поделиться Опубликовано 26 мая, 2016 Может Вы что то не так поняли? Может доктор говорил про пародонтит? Периодонтита не вижу. В любом случае проконсультируйтесь с ещё одним специалистом. 6 зуб лучше обследовать методом компьютерной томографииИменно периодонтит, мне даже вскрыли уже 15 зуб, поставили лекарство и временную пломбу. А насчет десен сказала, что гингивит, и нужно пролечить сначала периодонтит, затем десны. 1 Ссылка на комментарий
red_butler Опубликовано 26 мая, 2016 Поделиться Опубликовано 26 мая, 2016 Именно периодонтит, мне даже вскрыли уже 15 зуб, поставили лекарство и временную пломбу. А насчет десен сказала, что гингивит, и нужно пролечить сначала периодонтит, затем десны. Вы ничего не путаете? 1.5 это верх справа. Покажите прицельные снимки которые делали во время лечения. Ссылка на комментарий
red_butler Опубликовано 26 мая, 2016 Поделиться Опубликовано 26 мая, 2016 В любом случае проконсультируйтесь с ещё одним специалистом. 6 зуб лучше обследовать методом компьютерной томографии +1 1 Ссылка на комментарий
NataliaBer Опубликовано 26 мая, 2016 Автор Поделиться Опубликовано 26 мая, 2016 Вы ничего не путаете? 1.5 это верх справа. Покажите прицельные снимки которые делали во время лечения.да, путаю, вскрыли зуб слева, 25, получается Прицельные снимки были только 6 до лечения (полтора года назад). Сейчас прицельных снимков не делала и оценка осуществлялась по прикрепленной орто. Ссылка на комментарий
red_butler Опубликовано 26 мая, 2016 Поделиться Опубликовано 26 мая, 2016 сделайте стоматологическую Кт Ссылка на комментарий
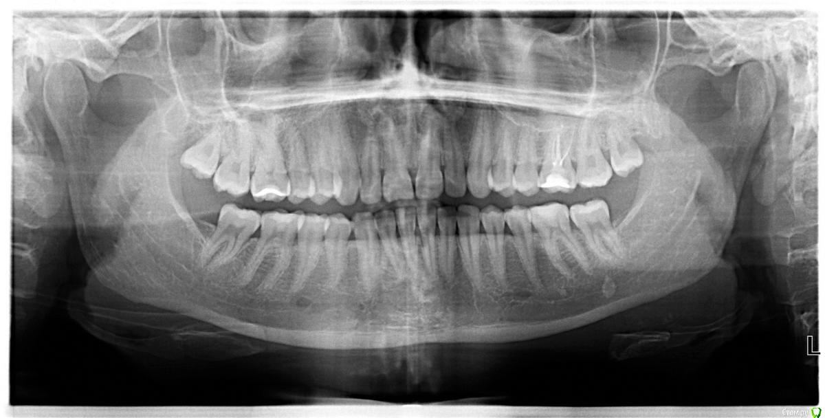
Гарриевич Опубликовано 26 мая, 2016 Поделиться Опубликовано 26 мая, 2016 Здравствуйте! Полтора года назад лечила периодонтит в 6 сверху справа, сейчас болит при накусывании и после чистки в этом месте появляется кровь из десны. По снимку стоматолог сказала, что с этим зубом все хорошо, но имеется периодонтит в пятерках, единицах и двойках сверху. Так ли это и стоит ли идти к другому стоматологу? Всем заранее спасибо за ответы По этому снимку о периодонтитах говорить сложноДелайте КТ, мы подскажем Ссылка на комментарий
vse32 Опубликовано 26 мая, 2016 Поделиться Опубликовано 26 мая, 2016 Прицельные снимки были только 6 до лечения (полтора года назад). Сейчас прицельных снимков не делала и оценка осуществлялась по прикрепленной орто. Ой-ой-ой. А как же в такой ситуации без прицельных? Как то мне тоже очень хочется посоветовать стороннюю консультацию. КТ это очень хорошо и правильно.А кроме кровоточивости из десен еще симптоматика у 25 была?Либо Вы чего то нам не сказали, либо Ваш врач не прав. 2 Ссылка на комментарий
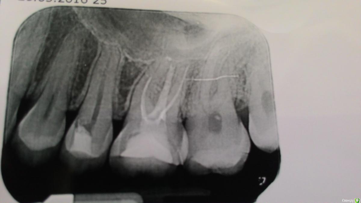
NataliaBer Опубликовано 27 мая, 2016 Автор Поделиться Опубликовано 27 мая, 2016 (изменено) Вот это вчера сделали Изменено 27 мая, 2016 пользователем NataliaBer Ссылка на комментарий
NataliaBer Опубликовано 27 мая, 2016 Автор Поделиться Опубликовано 27 мая, 2016 Ой-ой-ой. А как же в такой ситуации без прицельных? Как то мне тоже очень хочется посоветовать стороннюю консультацию. КТ это очень хорошо и правильно.А кроме кровоточивости из десен еще симптоматика у 25 была?Либо Вы чего то нам не сказали, либо Ваш врач не прав. Кровоточивость была у 26, 25 вообще не беспокоил Ссылка на комментарий
vse32 Опубликовано 27 мая, 2016 Поделиться Опубликовано 27 мая, 2016 Вот это вчера сделали В 26 серьезная недопломбировка каналов. Нужно переделывать.27 кариес медиально - лечить.25 - противоречивые мысли. Но врачу, который проводил осмотр виднее. 2 Ссылка на комментарий
NataliaBer Опубликовано 29 мая, 2016 Автор Поделиться Опубликовано 29 мая, 2016 почему-то не устанавливается ПО для КТ, не могу понять, в чем дело( И подскажите пожалуйста, можно ли по орто сказать, был ли кариес или пульпит на 25 зубе? Ссылка на комментарий
NataliaBer Опубликовано 29 мая, 2016 Автор Поделиться Опубликовано 29 мая, 2016 Вот КТ http://www.fayloobmennik.net/6255847 , пароль 111 Скажите, открывается ли? Ссылка на комментарий
Рекомендуемые сообщения
Для публикации сообщений создайте учётную запись или авторизуйтесь
Вы должны быть пользователем, чтобы оставить комментарий
Создать аккаунт
Зарегистрируйте новый аккаунт в нашем сообществе. Это очень просто!
Регистрация нового пользователяВойти
Уже есть аккаунт? Войти в систему.
Войти