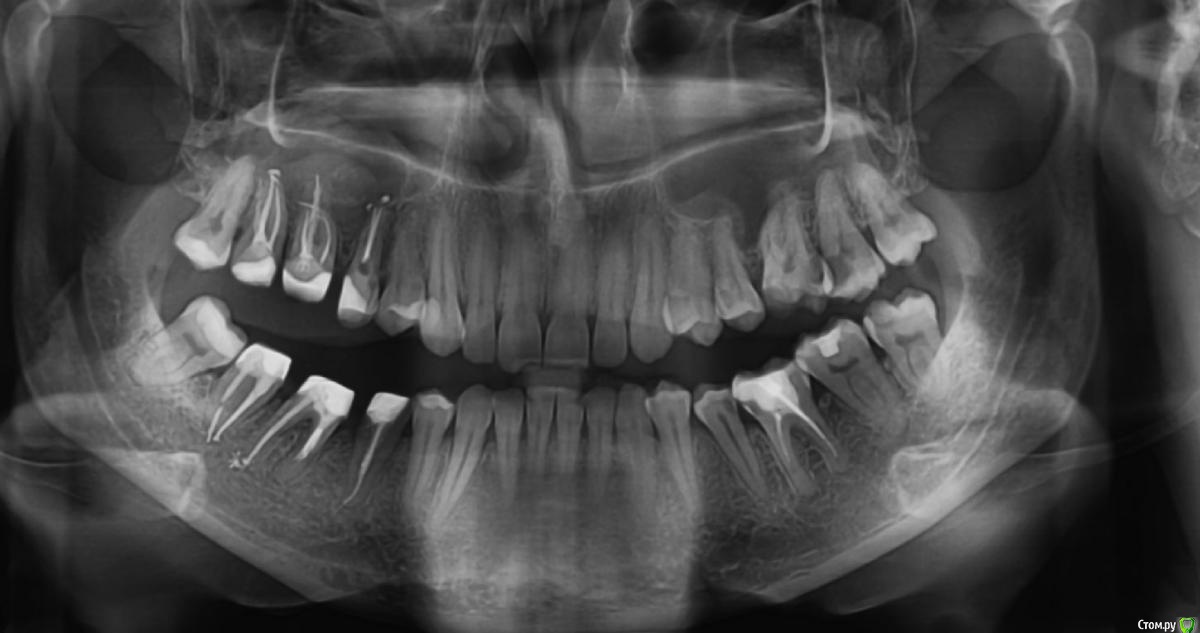
vicTORYa Опубликовано 24 мая, 2016 Поделиться Опубликовано 24 мая, 2016 Здравствуйте.В сентябре 2015 года лечила зубы с правой стороны.Снимок до леченияЛечили нижние 4,5,6,7,8 и верхние 3,4,5,6,7,8 зубы справа. В 5 и 7 верхних зубах случилась перфорация пазухи, врач поставил ультракал на месяц. Остальные зубы запломбировал постоянными пломбами, в каналы гуттаперчю поставил.В октябре пришла долечить 5 и 7 зубы. 5 запломбировали, а в 7 обнаружилась перфорация корня, врач запломбировал этот перфорированный канал какой-то специальной пастой (названия не помню). Два верхних и три нижних подготовил под коронки. Коронки решили ставить позже.Всё ждала, когда боль пройдет, но в некоторых зубах она так и не прошла, на тот момент при нажатии на зубы или постукивание болели 5, 6, 7 верхние (кажется 8 тоже), нижний 7 и немного ныл 5 нижний. Сделала панорамный снимок и пошла к врачу, он направил к ЛОРу так как увидел пятно в пазухе.Снимок на тот моментЛОР послал на КТ пазух.Сказал, что это кистозно-полипозное образование и его нужно удалять.Так ничего и не делала, оставила ситуацию в подвешенном состояние так как я в полной растерянности.На данный момент болят при постукивание верхние 5,6,7, 8 но совсем немного, при нажатие 6,7. Нижний 7 болит при нажатий и постукивание, немного 5 (и как будто ноющая боль бывает).Свежий снимок.Помогите пожалуйста разобраться. Что с этими зубами? Почему они продолжают болеть? Насколько большая проблема материал, выступивший за предел корня? Нет ли вокруг него воспалительного процесса? И что мне с ними делать дальше? Одевать ли коронки? Или может какие-то из них вообще подлежат удалению? Что с пазухой? Если нужны какие-то другие срезы из КТ могу выложить. Заранее спасибо. Ссылка на комментарий
Паращук Роман Опубликовано 24 мая, 2016 Поделиться Опубликовано 24 мая, 2016 В верхних зубах материал за пределами корня и скорее всего в пазухе. Может стать причиной воспалительных процессов или усугубить их,или поддерживать. В нижней 7ке выведенная гуттаперча за пределы канала. Если есть проблемы,то их нужно решать или организм решит их за вас. В верхних зубах эндоскопически через носовой ход,в нижнем попробовать через каналы,если нет хирургически. Ссылка на комментарий
vicTORYa Опубликовано 13 июня, 2016 Автор Поделиться Опубликовано 13 июня, 2016 Спасибо за ответ. Прояснили мне ситуацию. Немного начинаю понимать, что делать.То, что проблемы нужно решать я понимаю, не понимала как. Стоматолог (на то что они болят уже на протяжение более полугода и значит там что-то не так) посмотрел снимок, постучал по зубам сказал, что все в порядке с зубами, нужно ставить коронки, а вот пятно в пазухе не хорошо и надо сходить к лору. Лор сказал, что надо удалять эту кисту, которая там образовалась. Но ничего не сказал про пломбировочный материал. Поэтому я ничего так и не сделала до сих пор со всем этим, так как не совсем понимала зачем удалять кисту если не решать проблемы с зубами, ведь она там может опять появится, и вот оказывается еще и другие проблемы давать. И как ставить коронки если зубы болят.С другой стороны, боль в зубах постепенно снижается, зимой болели сильней, на данный момент немного болит 6,7 верхние и 7 нижний при постукивании или нажатие. И еще немного 5 нижний, но там другая боль какая-то, немного болит десна при надавливании на неё, а сам зуб болит как будто на нем долго жевали, в общем даже не знаю, как описать)Если подытожить, правильно ли я поняла? Зубы эти удалять не нужно, а нужно решать проблемы с материалом пломбировочным, и потом можно ставить коронки? И ещё вопрос, можно ли подождать ещё пару месяцев и если боль совсем пройдёт, то ставить коронки и нижние не перелечивать, а верхние удалять эндоскопически через нос? Ссылка на комментарий
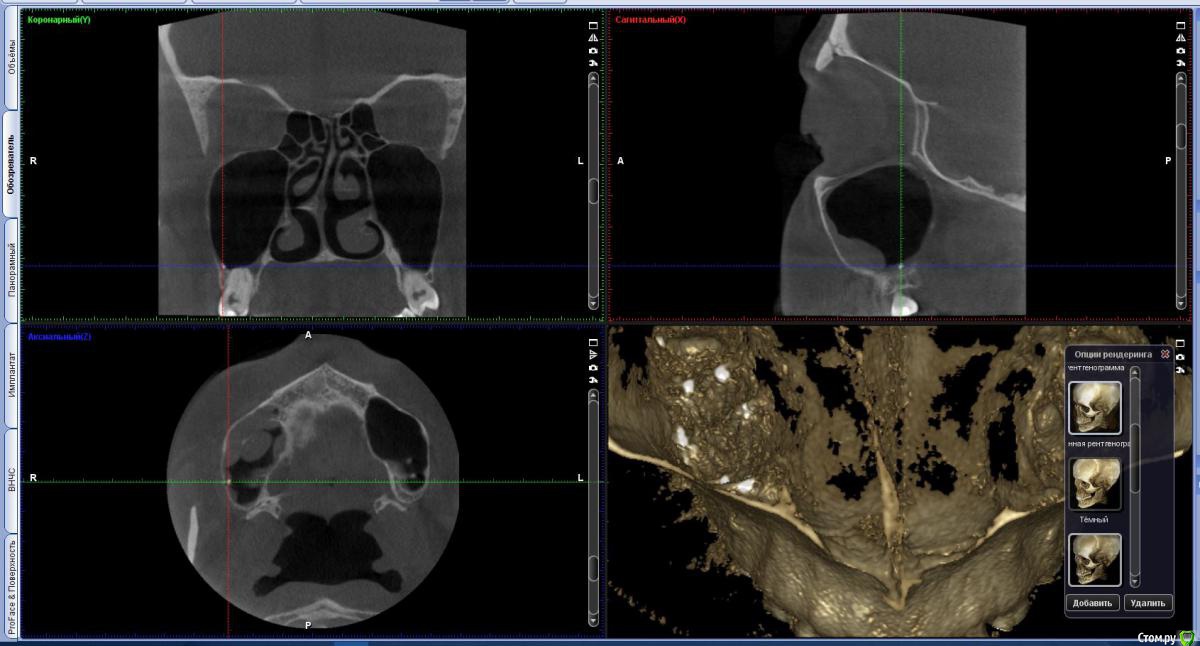
vicTORYa Опубликовано 6 октября, 2016 Автор Поделиться Опубликовано 6 октября, 2016 (изменено) Здравствуйте. Сделала КТ зубное, на 5 нижем правом зубе показалось что есть пятно странное. Подскажите не киста ли это? http://s016.radikal.ru/i337/1610/c3/a4db31326fc5.jpg Изменено 6 октября, 2016 пользователем vicTORYa Ссылка на комментарий
IvanK Опубликовано 10 октября, 2016 Поделиться Опубликовано 10 октября, 2016 выложите срез крупнее.. Ссылка на комментарий
vicTORYa Опубликовано 11 октября, 2016 Автор Поделиться Опубликовано 11 октября, 2016 https://drive.google.com/file/d/0B3wf-3dOFPYJUlVWUEs1WkRvQm8/view?usp=sharingсылка на срез но качесво самого КТ не очень хорошее, не знаю если это можоетможет выложить само КТ? Ссылка на комментарий
IvanK Опубликовано 12 октября, 2016 Поделиться Опубликовано 12 октября, 2016 не каждый имеет возможность и желание скачивать кт полностью в идеале - выложить скриншоты покрупнее Ссылка на комментарий
vicTORYa Опубликовано 12 октября, 2016 Автор Поделиться Опубликовано 12 октября, 2016 http://s018.radikal.ru/i513/1610/66/8dc851a309fdt.jpg http://s017.radikal.ru/i442/1610/bf/91e67d17fb96t.jpg http://s020.radikal.ru/i714/1610/00/bc65a4f99070t.jpg http://s017.radikal.ru/i438/1610/e9/60b8a7c730e7t.jpg http://s019.radikal.ru/i611/1610/71/877abc612cbet.jpg http://s020.radikal.ru/i713/1610/cf/c3fea13f9275t.jpg http://i013.radikal.ru/1610/e4/4b10087edaf6t.jpg http://s56.radikal.ru/i154/1610/b1/ac995a59f864t.jpg http://s017.radikal.ru/i440/1610/44/09882ae1e715t.jpg http://s017.radikal.ru/i407/1610/6d/be2fa1c9dde1t.jpg http://s019.radikal.ru/i617/1610/04/455b1edc56b6t.jpg http://s020.radikal.ru/i718/1610/0d/3d2250b2b1a2t.jpg http://s020.radikal.ru/i722/1610/00/3207bd86e2fdt.jpg http://s019.radikal.ru/i635/1610/40/bb734572883ct.jpg http://s017.radikal.ru/i413/1610/56/6e38ec905120t.jpg http://s011.radikal.ru/i318/1610/ca/3f09a02eb2f9t.jpg http://s017.radikal.ru/i429/1610/55/d0b2a1e679dat.jpg http://s016.radikal.ru/i334/1610/49/55e86166b9fdt.jpg http://s020.radikal.ru/i704/1610/c7/12ac17b8751dt.jpg http://s019.radikal.ru/i617/1610/8b/0c40b4ebd10ft.jpg http://s020.radikal.ru/i719/1610/66/d85d7d230523t.jpg http://s017.radikal.ru/i443/1610/20/f6c7e196559at.jpg Ссылка на комментарий
vicTORYa Опубликовано 23 октября, 2016 Автор Поделиться Опубликовано 23 октября, 2016 Скажите пожалуйста понятно ли что-то на этом КТ?С момента их лечения прошло чуть больше года, ждала не ставила коронки посмотреть не дадут ли проблемы зубы, в которых выведен материал, можно ли на данный момент сделать какие-то выводы? 6 и 7 не беспокоят, а вот 5 немного побаливает иногда. Просто иду на следующей неделе ставить коронки, всё ли в порядке с зубами, можно ли ставить коронки? Перелечивать так на всякий случаи не хочется, а только если там возникнет проблема. У мужа тоже есть один зуб с выведенным материалом и ему уже больше 10 лет и нет с ним проблем. Вот и думаю перелечивать только в случае необходимости.Сделать новый ренген не могу очень много уже сделал ренгенов за этот год. Ссылка на комментарий
IvanK Опубликовано 24 октября, 2016 Поделиться Опубликовано 24 октября, 2016 если зубы болят, то одевать на них коронки нельзяВарианта два: повторное лечение или удаление Ссылка на комментарий
Рекомендуемые сообщения
Для публикации сообщений создайте учётную запись или авторизуйтесь
Вы должны быть пользователем, чтобы оставить комментарий
Создать аккаунт
Зарегистрируйте новый аккаунт в нашем сообществе. Это очень просто!
Регистрация нового пользователяВойти
Уже есть аккаунт? Войти в систему.
Войти