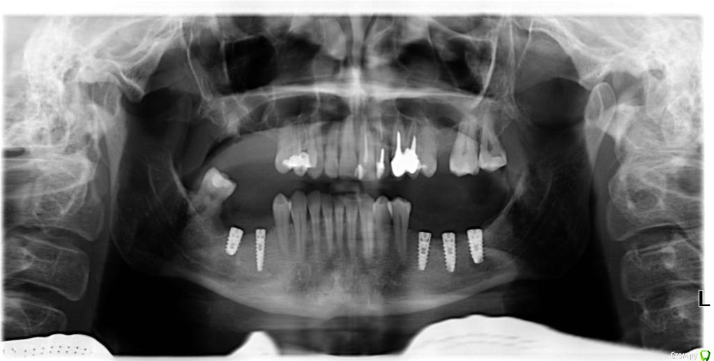
Oksana-p Опубликовано 23 мая, 2016 Поделиться Опубликовано 23 мая, 2016 (изменено) Ув. специалисты. Помогите пжл разобраться в моей ситуации. В январе были установлены импланты, справа одномоментно с удалением. Костную пластику даже не предлагали. Сказали, что кости в достачном объеме. Хирург уже во время имплантации слева убедил, что желательно поставить третий имплант. По его словам - на место 7 зуба (так и записал в карточке - 35, 36 и 37). Когда прошли отеки десны, во время снятия швов, я задала вопрос- зачем мне поставили имплант в район 8 зуба. На что мне был дан ответ, что все поставили правильно. Неделю назад поставили формирователи, И теперь стало очевидно, что крайний имплант стоит ровно напротив моего верхнего 8-го зуба. Помогите пжл разобраться, это развод или в моей ситуации это действительно нормально. Я знаю, что восьмые зубы не имплантируются вообще, да и свои в основном идут на удаление. Не будет ли у меня проблем в дальнейшем? И еще вопрос на место жевательных зубов слева (35 и 36) хирург поставил очень тонкие формирователи (около 2 мм в диаметре). Справа на место 45 зуба формирователь поставил так, что он вообще не в десне, а под десной. И я вижу верх импланта, где постоянно собирается налет. Я понимаю, это ненормально. Сразу говорил, что будет делать пластику десны при установке ФДМ. Теперь уже говорит, что посмотрит, может будет нужна пластика при установке коронок. Все импланты изначально чувствовала по контуру в десне и они просвечивались через десну. Я несколько раз обращалась к хирургу, но каждый раз мне отвечали, что все хорошо. Но все пять стоят выше уровня кости (это у него такой метод установки имплантов). Не поздно ли сейчас делать пластику десны? И возможна ли она сейчас вообще. У меня вообще уже состояние на грани нервного срыва. А мне еще верх нужно имплантировать. Не могу сделать срезы Кт, только ссылка получается. И панорамный снимок сразу после имплантации. Снимки после установки формирователей не делал хирург. https://yadi.sk/d/rjtafJuUrqYK4 Изменено 23 мая, 2016 пользователем Oksana-p Ссылка на комментарий
red_butler Опубликовано 23 мая, 2016 Поделиться Опубликовано 23 мая, 2016 сделайте новый панорамный снимок и фото во рту Ссылка на комментарий
Bier Опубликовано 23 мая, 2016 Поделиться Опубликовано 23 мая, 2016 Ну 8й не проблема. Что касается остального, то нужны новые снимки и желательно внутриротовые фото 1 Ссылка на комментарий
Oksana-p Опубликовано 23 мая, 2016 Автор Поделиться Опубликовано 23 мая, 2016 Ну 8й не проблема. Что касается остального, то нужны новые снимки и желательно внутриротовые фото Если подойдет -то вот фото на телефон (извиняюсь за качество, вечером попрошу кого-нибудь сфотографировать) Ссылка на комментарий
Oksana-p Опубликовано 24 мая, 2016 Автор Поделиться Опубликовано 24 мая, 2016 Еще сфоткала. На снимок ехать 200 км. Мне хирург почему-то его после установки формирователей даже не сделал. Как назло, и десна возле последнего импланта слева болит при надавливании и ноет. Полощу хлоргексидином. Позвонил хирург, сказал, что у меня все "в норме", что у меня уже лучше ничего не получится, что слишком тонкая кость, типа - скажите спасибо "хоть так поставили". Ссылка на комментарий
Oksana-p Опубликовано 25 мая, 2016 Автор Поделиться Опубликовано 25 мая, 2016 (изменено) Возвращаюсь к теме. На прием через неделю, тогда буду просить и панорамный снимок сделать. Сегодня один хирург, изучив мои снимки и КТ, объяснил, что нужно было кость подсыпать сразу, и очень тонкая десна.Сейчас уже смысла подсыпать кость нет-ничего к импланту не прирастет. Максимум, что можно сделать в моем случае -пересадить с неба десну. (процедура я так понимаю не из приятных). Да и вообще по моим имплантам прогноз очень сомнительный. А мой хирург до сих пор утверждает, что у меня все хорошо. Сижу и плачу- ни денег , ни зубов. Уже думаю, может коронки не ставить, а зашить все и съёмник поставить.... Боюсь, чтобы не получилось как у этого пациента. У меня тоже уже виден верх импланта справа...... Да и клиника не самая дешевая. И врача хвалили. Руководство так вообще говорит- "скажите спасибо, хоть так поставили". http://forum.stom.ru/topic/25147-chto-delat-s-implantom-mis/page-2 Изменено 25 мая, 2016 пользователем Oksana-p Ссылка на комментарий
Bier Опубликовано 25 мая, 2016 Поделиться Опубликовано 25 мая, 2016 не печальтесь. Слева так вообще все хорошосправа, да нужна десневая пластика. Несмотря на неприятность процедуры она вам была бы нужна в любом случае, наращиванием кости эта проблема бы не решилась. С нёба брать десну в Вашем случае не обязательно, у Вас есть прекрасный участок адентии справа наверху, где можно взять десну очень хорошего качества и без особых последствий. 3 Ссылка на комментарий
red_butler Опубликовано 25 мая, 2016 Поделиться Опубликовано 25 мая, 2016 теперь только нужно найти доктора/ров, который сделает/ют пластику и протезирование. Ссылка на комментарий
Oksana-p Опубликовано 26 мая, 2016 Автор Поделиться Опубликовано 26 мая, 2016 Cпасибо большое за поддержку. Проблема теперь, где такого врача найти. Ведь понятно, что никто не хочет за другим переделывать доделывать).... Пока в Минске никто не хочет браться. Здесь на форуме реально получаешь больше информации, чем у наших врачей. Жалко, что из Минска никого нет. А мне еще и ВЧ делать нужно.... А хирург, который меня имплантировал, утверждает, что все хорошо и так. Видимо пластику он не умеет делать. Да и идти к нему уже нет никакого желания. Ссылка на комментарий
red_butler Опубликовано 26 мая, 2016 Поделиться Опубликовано 26 мая, 2016 Попробуйте написать сюда http://forum.stom.ru/topic/16116-posovetujte-khirurgaimplantologa/ Ссылка на комментарий
Oksana-p Опубликовано 26 мая, 2016 Автор Поделиться Опубликовано 26 мая, 2016 Попробуйте написать сюда http://forum.stom.ru/topic/16116-posovetujte-khirurgaimplantologa/ Да, спасибо, написала. И еще скажите пжл, а сейчас еще не поздно делать пластику десны, если уже установлены формирователи? Просто я читала здесь на форуме, что это целесообразнее делать на этапе установки формирователей.... Ссылка на комментарий
red_butler Опубликовано 26 мая, 2016 Поделиться Опубликовано 26 мая, 2016 Не поздно Ссылка на комментарий
Oksana-p Опубликовано 29 мая, 2016 Автор Поделиться Опубликовано 29 мая, 2016 Ув. специалисты, так скажите все таки имплант на 8 зуб - это развод на деньги? Что мне делать с ним. Может пока не поздно-удалить его? Насколько это травматичная процедура? Какие могут быть последствия в будущем, если не удалять? У меня после установки ФДМ теперь еще и десна за этим 8 зубом постоянно ноет, особенно при нажатии. Ссылка на комментарий
Oksana-p Опубликовано 14 июня, 2016 Автор Поделиться Опубликовано 14 июня, 2016 (изменено) Продолжаю свою горе-историю. Сделал мне хирург пластику десны... это вообще кошмар. Знала бы, что за процедура, так вообще удалили имплант и поставила съемник. Надеялась, что результат хотя бы будет... Но нет. Вырезал приличный кусок десны и пришил лишь бы как. Теперь итог-изуродованная верхняя десна. А внизу десна вокруг импланта вообще подвижна. Снял швы через неделю и поставил ФДМ. Отправил к ортопеду через неделю. Сегодня прошло четыре дня- десна подвижна. Между десной и формиком забивается еда. Хотя на приеме я говорила, что все двигается, что слишком толстый кусок десны. На что ответ- все стянется, сожмется, сростется и т.п. Сижу плачу-почему мне так не повезло с имплантацией. Позвонила хирургу, выслала фото. Сказал снимет ФДМ и пришьет на пару недель. УВ. СПЕЦИАЛИСТЫ. ПОСОВЕТУЙТЕ, ЧТО ДЕЛАТЬ? От отчаяния думаю заглушить импланты и поставить съемник. Фото добавлю завтра. С телефона не грузятся Изменено 14 июня, 2016 пользователем Oksana-p Ссылка на комментарий
Oksana-p Опубликовано 15 июня, 2016 Автор Поделиться Опубликовано 15 июня, 2016 Вот такая ситуация сейчас..... Ссылка на комментарий
Bier Опубликовано 15 июня, 2016 Поделиться Опубликовано 15 июня, 2016 успокойтесь, действительно все усядет. Нужно подождать Ссылка на комментарий
Oksana-p Опубликовано 15 июня, 2016 Автор Поделиться Опубликовано 15 июня, 2016 (изменено) успокойтесь, действительно все усядет. Нужно подождать Спасибо, немного успокоили. Так а пришивать десну нужно? Или достать формирователь, зашить и так пока ходить? Изменено 15 июня, 2016 пользователем Oksana-p Ссылка на комментарий
Bier Опубликовано 15 июня, 2016 Поделиться Опубликовано 15 июня, 2016 дайте десне 3 недели, не нужно смотреть в рот на 4й день после операции Ссылка на комментарий
Oksana-p Опубликовано 15 июня, 2016 Автор Поделиться Опубликовано 15 июня, 2016 Так я и не смотрю. Просто кусочки еды туда попадают. И десна висит как-бы "булкой". А операция было 3 июня, 10 числа сняли швы. Почему она не срастается? Я так понимаю, что должна быть неподвижной. К ортопеду 20 июня. Ссылка на комментарий
Oksana-p Опубликовано 9 июля, 2016 Автор Поделиться Опубликовано 9 июля, 2016 Продолжаю тему....Десна сейчас до сих пор немного подвижна, внешне отличается от соседней и объем почти ушел. Но это оказывается не все. То чего я больше боялась! Пошла к ортопеду. Снял слепки, предложил коронки МК с винтовой фиксацией. На примерке коронки оказались слишком уж высокими по сравнению со своими зубами. Уродство одним словом. Врач сказал, что так и будет, что у меня так стоят импланты. Когда я спросила, правильно ли мне их установили- ничего не ответил. Сказал, что можно немного исправить розовой десной, но сам он не советует. Потом позвонил, сказал, что будут с техником переделывать все коронки на коронки с цементной фиксацией и розовой десной. Что они посмотрели на модели - действительно смотрится ужасно!!! У меня уже реально нервный срыв- с января месяца у меня ни зубов ни денег. Есть одно желание -достать все импланты. Знала бы, так хотябы одну сторону делала. Ув. Доктора, скажите, что мне все таки делать. Ставить как есть? Что это розовая десна, какие недостатки? Можно ли считать мою имплантацию неудачной в плане эстетики? Я так понимаю, что грамотный хирург мне должен был сделать костную пластику. Он до сих пор кстати, считает свою работу идеальной. Хотя до имплантации заявлял, что от своих не отличу. Руководитель клиники мне сказала- скажите спасибо, что хоть так поставили, или ищите другую клинику! К ортопеду я пошла конечно из другой клиники. Ну а толку, он то протезирует на том, что уже есть. Стараются с техником как то выкрутиться. Ссылка на комментарий
Oksana-p Опубликовано 25 июля, 2016 Автор Поделиться Опубликовано 25 июля, 2016 ДД. Коронки с розовой десной опять не понравились ортопеду. Очень уж длинные коронки получаются. Не знает, что со мной делать... Пытается как-то выкрутиться. Да за эти 2,5 месяца после пересадки десны похоже ничего от нее не осталось. Скоро опять будет виден верх импланта. А такой кусок вырезали... Вот фото сейчас во рту. Другой ортопед предложил два варианта - сделать опять пластику десны (хотя там мало что осталось) или удалить эти импланты, сделать костную пластику и т.д. Но в Минске не знаю куда обращаться. В клинике, где мне ставили, тот хирург уже уволился. Да они и не хотят ничего переделывать, т.к. считают что у меня все отлично. Ув. форумчане, посоветуйте что лучше сделать. Ссылка на комментарий
red_butler Опубликовано 25 июля, 2016 Поделиться Опубликовано 25 июля, 2016 Слева протезировать, справа удалить зуб мудрости и повторная пластика мягких тканей Ссылка на комментарий
Oksana-p Опубликовано 16 августа, 2016 Автор Поделиться Опубликовано 16 августа, 2016 Продолжаю свою грустную историю... Ортопед поставил новые коронки. Вид конечно ещё тот (фото не очень конечно). Розовая десна занимает половину коронки. Сами коронки огромные, не сидят плотно на десне (есть пространство), видна металлическая полоса... Ортопед говорит, что это так и надо, что он смог сделать все возможное в моем случае. Не такого я конечно ожидала. Ладно я уже смирилась что коронки буду огромные "как у вампира", но что они не плотно на десне... Позвали хирурга, который импланты. По-прежнему утверждает, что все сделано идеально, что у меня очень сложный случай и т.п. Спросила, почему я про это узнаю только когда дело дошло до протезирования, а также про необходимость проведения костной пластики.. Сказал, что мне бы это не помогло, что кость искусственная все равно рассасывается, что по высоте кость никто не подсыпает и т.д. Ув. специалисты, подскажите, что мне сейчас делать - у меня тупик. Оставлять эти коронки? Удалять импланты? Пластику десны мне он уже делал (ничего от нее не осталось). В Минске не могу найти специалиста по пластике десны - или не делают вообще или не берутся (отправляют к тому, кто ставил импланты). Ссылка на комментарий
Рекомендуемые сообщения
Для публикации сообщений создайте учётную запись или авторизуйтесь
Вы должны быть пользователем, чтобы оставить комментарий
Создать аккаунт
Зарегистрируйте новый аккаунт в нашем сообществе. Это очень просто!
Регистрация нового пользователяВойти
Уже есть аккаунт? Войти в систему.
Войти