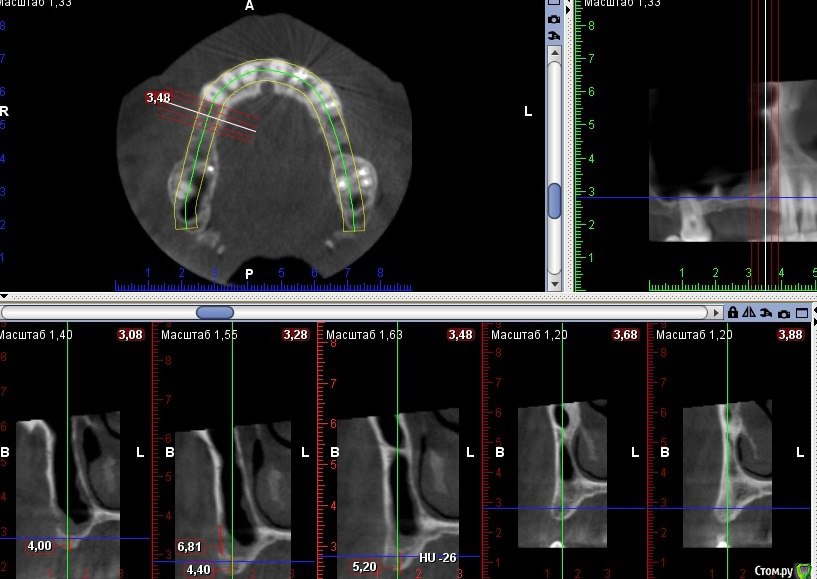
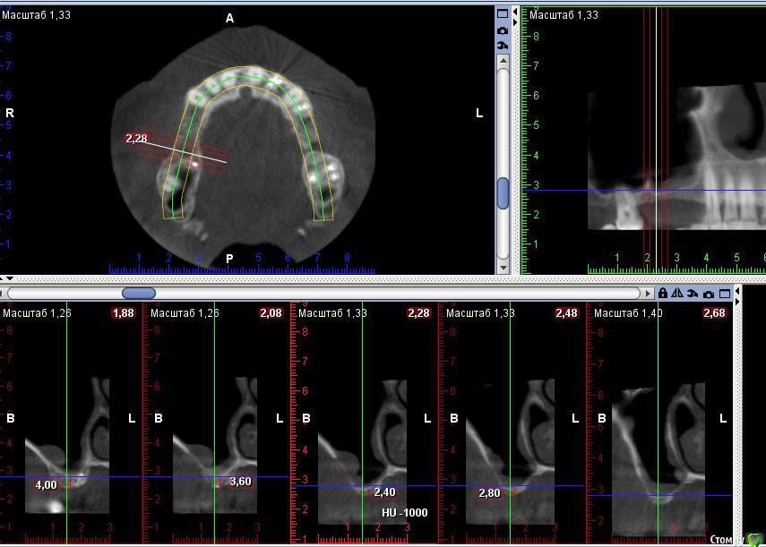
Kovalov Igor Опубликовано 19 мая, 2016 Поделиться Опубликовано 19 мая, 2016 (изменено) Здравствуйте уважаемые форумчане! Нужен совет по повторному синуслифтингу....3 месяца назад проводилась попытка синуслифтинга в 1 сегменте, отсутствие 14,15,16 зубов ... Разрез, формирование окна, в этом случае выбрал вход в синус с двух окон в проекции 14 и 16, получить перфу возле септы в области 16 когда отслаивал ... 14 отслойка без проблем... закрыл окна мембраной и ушил отправил погулять на 2,5-3 месяца.Вопрос как поступить ? Сделать одно большое окно? Как быть со спайками и как сложно их отделять ? Мембрану под перфу не подложил так как не делал ниразу этого... Кт после 3х месяцев ... Изменено 19 мая, 2016 пользователем Kovalov Igor Ссылка на комментарий
kriokov Опубликовано 19 мая, 2016 Поделиться Опубликовано 19 мая, 2016 пошел бы стандартно одним окном, да и первый раз думаю надо было одним окном идти, там не полная септа.Иногда приходиться остро работать на спайках как при расщеплении. Не знаю, но мне здесь одно здоровое окно видиться. И наверное зря Вы септу не спилили или не выкусили при первом заходе, если решили через три мес на повторный идти. Синус не плохо выглядит, думаю нормально все будет. 6 Ссылка на комментарий
Kovalov Igor Опубликовано 19 мая, 2016 Автор Поделиться Опубликовано 19 мая, 2016 пошел бы стандартно одним окном, да и первый раз думаю надо было одним окном идти, там не полная септа.Иногда приходиться остро работать на спайках как при расщеплении. Не знаю, но мне здесь одно здоровое окно видиться. И наверное зря Вы септу не спилили или не выкусили при первом заходе, если решили через три мес на повторный идти. Синус не плохо выглядит, думаю нормально все будет.спасибо за ответ... думаю из-за плохого обзора и малого окна 6-7 мм в диаметре и случилась перфа, септу забыл спилить, все было как в тумане))) учту этот нюанс ))) Ссылка на комментарий
Бендер Опубликовано 19 мая, 2016 Поделиться Опубликовано 19 мая, 2016 спасибо за ответ... думаю из-за плохого обзора и малого окна 6-7 мм в диаметре и случилась перфа Хорошая визуализация - залог успеха при синусе, делайте такое окно и занимайте такое рабочее положение чтобы все видеть 1 Ссылка на комментарий
Kovalov Igor Опубликовано 20 мая, 2016 Автор Поделиться Опубликовано 20 мая, 2016 Спасибо!!! Учту!!! Сколько примерно рассчитывать объем графта на такой синус ? 1 гр крупного хватит ? Ссылка на комментарий
Kostoprav Опубликовано 20 мая, 2016 Поделиться Опубликовано 20 мая, 2016 септы стараюсь обходить двумя окнами, если получил не большую перфу использую коллагеновую мембрану, если порвалось в клочья септу лучше спилитиь, а окна соеденить что бы в следующий раз облегчить работу. На повторный синус можно идти через 1,5- 2 месяца, слизистая за это время успевает восстановиться, отслаивать слизистую от периоста в области окна нужно острым путем и акккуратно) 1 Ссылка на комментарий
kriokov Опубликовано 20 мая, 2016 Поделиться Опубликовано 20 мая, 2016 1 грамма мало на такой синус' даже крупного. 1,5 - 2 гр думаю 4 Ссылка на комментарий
red_butler Опубликовано 20 мая, 2016 Поделиться Опубликовано 20 мая, 2016 Спасибо!!! Учту!!!Сколько примерно рассчитывать объем графта на такой синус ? 1 гр крупного хватит ?А какой будет графт? По мне 2 кубика байоса эльки - хватит Ссылка на комментарий
Nazim_NV86 Опубликовано 21 мая, 2016 Поделиться Опубликовано 21 мая, 2016 А какой будет графт? По мне 2 кубика байоса эльки - хватитКуда вы 2гр L сыпите та? Тромбуете штоль? 1 Ссылка на комментарий
red_butler Опубликовано 21 мая, 2016 Поделиться Опубликовано 21 мая, 2016 Куда вы 2гр L сыпите та? Тромбуете штоль?Даже еще раз пересмотрел срезы, Вы считаете что на такой операционной площади и при таком строении синуса расход будет меньше? 3 Ссылка на комментарий
IvanK Опубликовано 21 мая, 2016 Поделиться Опубликовано 21 мая, 2016 Даже еще раз пересмотрел срезы, Вы считаете что на такой операционной площади и при таком строении синуса расход будет меньше?ох уж этот кризис... 1 Ссылка на комментарий
Kovalov Igor Опубликовано 21 мая, 2016 Автор Поделиться Опубликовано 21 мая, 2016 Даже еще раз пересмотрел срезы, Вы считаете что на такой операционной площади и при таком строении синуса расход будет меньше?Ушло 2 грамма вы правы! ))) Спасибо всем за советы , ошибки были в первом случае малое и высоко расположенное окно, сделал в этот раз одно большое окно, спайки были только по периметру окна , было ощущение что окно начало заростать костью через три месяца, будто пластинка была поверх мембраны , может показалось ...Отслаивал до септы, графт 1,5 гр. в синус и 0,5 латерально от винтов и укрыл мембраной 25*25 владмива, мембрана не понравилась если честно ) Ссылка на комментарий
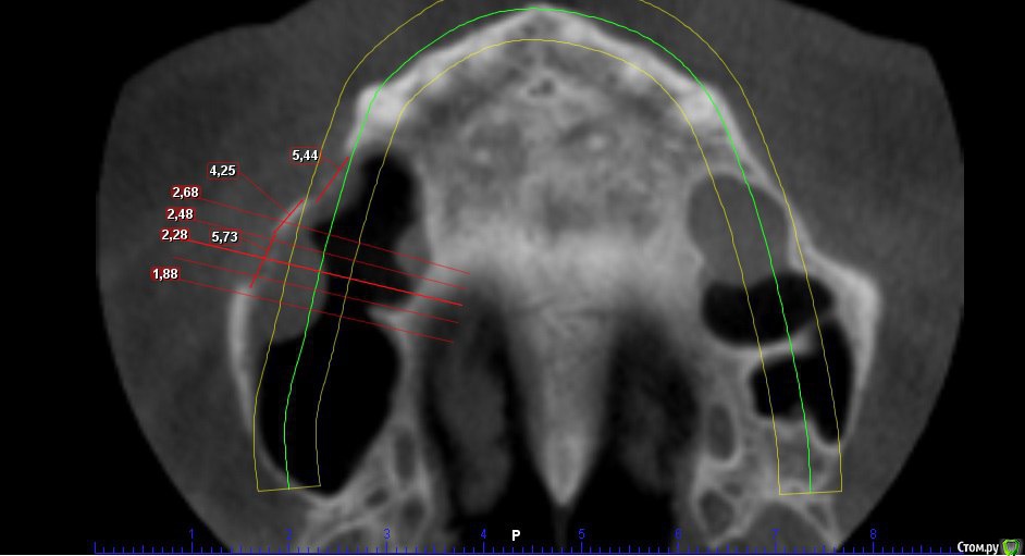
Kovalov Igor Опубликовано 21 мая, 2016 Автор Поделиться Опубликовано 21 мая, 2016 септы стараюсь обходить двумя окнами, если получил не большую перфу использую коллагеновую мембрану, если порвалось в клочья септу лучше спилитиь, а окна соеденить что бы в следующий раз облегчить работу. На повторный синус можно идти через 1,5- 2 месяца, слизистая за это время успевает восстановиться, отслаивать слизистую от периоста в области окна нужно острым путем и акккуратно) Спасибо !!! Жуткие септы у Вас на фото !!! У этого пациента что я кидал срезы левая пазуха тоже сложна в анатомии... Ссылка на комментарий
syrovovec Опубликовано 22 мая, 2016 Поделиться Опубликовано 22 мая, 2016 мембраной 25*25 владмива, мембрана не понравилась если честно )Не самая худшая как мне показалось, можно юзать иногда 1 Ссылка на комментарий
dzhancha Опубликовано 20 февраля, 2018 Поделиться Опубликовано 20 февраля, 2018 1 грамма мало на такой синус' даже крупного. 1,5 - 2 гр думаюНе подскажете методику расчета количества ксенографта для синуслифтинга? Спасибо Ссылка на комментарий
АнтонТЛТ Опубликовано 20 февраля, 2018 Поделиться Опубликовано 20 февраля, 2018 Не подскажете методику расчета количества ксенографта для синуслифтинга? Спасибо0,5см3 хватает на синус-лифтинг (4-6мм высота дна пазухи) в области 1 имплантата.1см3 хватит на синус в области 1 имплантата (1-2мм высота дна пазухи), в области 2-3 имплантатов (высота дна пазухи 4-6мм)2см3 хватит на синус в области 2-3 имплантатов при изначальной высоте дна пазухи 1-2мм.Соответствие веса и объема смотреть на упаковке, либо в инструкции. 2 Ссылка на комментарий
Хью Крейн Опубликовано 20 февраля, 2018 Поделиться Опубликовано 20 февраля, 2018 2 Ссылка на комментарий
kriokov Опубликовано 20 февраля, 2018 Поделиться Опубликовано 20 февраля, 2018 Не подскажете методику расчета количества ксенографта для синуслифтинга? Спасибо+ к Антону,и еще размер самих чипсов графтаесли размеры частиц графта 1-2 мм, то 2 г этого графта дают обьем 7.2 куб смесли размеры частиц графта 0.25 - 1 мм , то 2 г этого графта дают обьем 3.8 куб см 2 Ссылка на комментарий
dzhancha Опубликовано 6 марта, 2018 Поделиться Опубликовано 6 марта, 2018 0,5см3 хватает на синус-лифтинг (4-6мм высота дна пазухи) в области 1 имплантата.1см3 хватит на синус в области 1 имплантата (1-2мм высота дна пазухи), в области 2-3 имплантатов (высота дна пазухи 4-6мм)2см3 хватит на синус в области 2-3 имплантатов при изначальной высоте дна пазухи 1-2мм.Соответствие веса и объема смотреть на упаковке, либо в инструкции.Спасибо за подробный ответ! Ссылка на комментарий
dzhancha Опубликовано 6 марта, 2018 Поделиться Опубликовано 6 марта, 2018 + к Антону,и еще размер самих чипсов графтаесли размеры частиц графта 1-2 мм, то 2 г этого графта дают обьем 7.2 куб смесли размеры частиц графта 0.25 - 1 мм , то 2 г этого графта дают обьем 3.8 куб смСпасибо за важное дополнение! Ссылка на комментарий
Рекомендуемые сообщения
Для публикации сообщений создайте учётную запись или авторизуйтесь
Вы должны быть пользователем, чтобы оставить комментарий
Создать аккаунт
Зарегистрируйте новый аккаунт в нашем сообществе. Это очень просто!
Регистрация нового пользователяВойти
Уже есть аккаунт? Войти в систему.
Войти