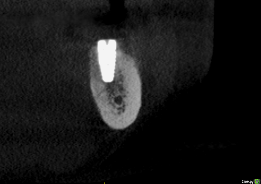
Малик Опубликовано 18 мая, 2016 Поделиться Опубликовано 18 мая, 2016 (изменено) Ровно 3 месяца назад произведена установка имплантата 4.6 с НКР. Заживление первичным натяжением, на момент снятия швов все идеально (К сожалению, нет фоток, не обзавелся еще фотоаппаратом). 2 дня назад позвонила пациентка и сказала, что прям по вершине гребня появилось какое-то образование мягкой консистенции, была назначена на сегодня. Позвонила вчера вечером с жалобой, что данное образование лопнуло, и появилась сукровица. На осмотре определяется свищ по вершине гребня и язычно.Посоветуйте какую тактику предпринять? Раскрыть и поставить формик? И у кого какие мнения по поводу причины этого всего? кт с имплантатом было сделано сегодняP.S. извиняюсь за очень низкое качество фотографий. Изменено 18 мая, 2016 пользователем Малик Ссылка на комментарий
Евгений Ходыкин Опубликовано 18 мая, 2016 Поделиться Опубликовано 18 мая, 2016 Можно было и без нкр. Ставьте формик, проверяйте интеграцию... 2 Ссылка на комментарий
johniola Опубликовано 18 мая, 2016 Поделиться Опубликовано 18 мая, 2016 раскрыл промыл формик 2 Ссылка на комментарий
Малик Опубликовано 18 мая, 2016 Автор Поделиться Опубликовано 18 мая, 2016 поставить формик без сст? Ссылка на комментарий
diesel87 Опубликовано 18 мая, 2016 Поделиться Опубликовано 18 мая, 2016 Лучше с сст. 1 Ссылка на комментарий
Малик Опубликовано 19 мая, 2016 Автор Поделиться Опубликовано 19 мая, 2016 а не повлияет ли негативным образом данный воспалительный процесс на питание сст? не лучше ли сейчас поставить формик,а подсадку сст через месяц? Ссылка на комментарий
TIGER Опубликовано 19 мая, 2016 Поделиться Опубликовано 19 мая, 2016 Формик с ССТ.Там пришеечная резорбция Ссылка на комментарий
Малик Опубликовано 19 мая, 2016 Автор Поделиться Опубликовано 19 мая, 2016 Формик с ССТ.Там пришеечная резорбцияимплантат биогоризонт,с пришеечной частью Laser-Lok. Ссылка на комментарий
TIGER Опубликовано 19 мая, 2016 Поделиться Опубликовано 19 мая, 2016 имплантат биогоризонт,с пришеечной частью Laser-Lok. это не важно) Ссылка на комментарий
Малик Опубликовано 19 мая, 2016 Автор Поделиться Опубликовано 19 мая, 2016 Я к тому что имплантат был установлен супракрестально,на 1,5мм ( зона лазер лок) выше гребня. Ссылка на комментарий
Малик Опубликовано 20 мая, 2016 Автор Поделиться Опубликовано 20 мая, 2016 всем отписавшимся спасибо! завтра буду ставить формик.Не имею большого опыта в имплантации,и посему хотелось понять причину этого явления. Кто ,что думает? кто-нибудь сталкивался с этим? Ссылка на комментарий
TIGER Опубликовано 20 мая, 2016 Поделиться Опубликовано 20 мая, 2016 Я к тому что имплантат был установлен супракрестально,на 1,5мм ( зона лазер лок) выше гребня.в этом вся причина...зачем не до глубляли? Ссылка на комментарий
Малик Опубликовано 23 мая, 2016 Автор Поделиться Опубликовано 23 мая, 2016 в этом вся причина...зачем не до глубляли?а зачем? может я чего-то не понимаю, но поверхность лазер лок способствует формированию соединительнотканного соединение. Если заглубить имплантат будет ли интеграция кости в этом месте? ведь сам производитель рекомендует супракрестальную установку Ссылка на комментарий
red_butler Опубликовано 23 мая, 2016 Поделиться Опубликовано 23 мая, 2016 а зачем? может я чего-то не понимаю, но поверхность лазер лок способствует формированию соединительнотканного соединение. Если заглубить имплантат будет ли интеграция кости в этом месте? ведь сам производитель рекомендует супракрестальную установкубиогор.PNGпосмотрите работы Карлоса, он на биогоре собаку съел 1 Ссылка на комментарий
Малик Опубликовано 31 мая, 2016 Автор Поделиться Опубликовано 31 мая, 2016 посмотрите работы Карлоса, он на биогоре собаку съелспасибо) Ссылка на комментарий
Рекомендуемые сообщения
Для публикации сообщений создайте учётную запись или авторизуйтесь
Вы должны быть пользователем, чтобы оставить комментарий
Создать аккаунт
Зарегистрируйте новый аккаунт в нашем сообществе. Это очень просто!
Регистрация нового пользователяВойти
Уже есть аккаунт? Войти в систему.
Войти