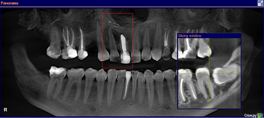
Wintermute Опубликовано 18 мая, 2016 Поделиться Опубликовано 18 мая, 2016 Обнаружили кисту и хирург говорит что нужно удалять два передних зуба, один пролеченный возможно еще в СССР (и видимо является причиной проблемы), второй здоровый, но киста видимо как-то "отъела" часть корня. У меня возникли некоторые сомнения что удаление необходимо, интернет пишет что киста лечится сейчас резекцией корня зуба, а сами зубы стараются сохранить. Может ли кто-нибудь сказать возможен ли вариант с сохранением зубов (или одного) в моем случае? Ссылка на комментарий
St. Опубликовано 18 мая, 2016 Поделиться Опубликовано 18 мая, 2016 интернет пишет что киста лечится сейчас резекцией корня зуба, а сами зубы стараются сохранить Всё зависит от исходной ситуации. В Вашем случае увы придется удалять оба. Ссылка на комментарий
red_butler Опубликовано 19 мая, 2016 Поделиться Опубликовано 19 мая, 2016 я бы еще поборолся за зубы Ссылка на комментарий
IvanK Опубликовано 19 мая, 2016 Поделиться Опубликовано 19 мая, 2016 @Wintermute, судьба зубов зависит от Вашего решения и от Врача-тарапевта Ссылка на комментарий
Wintermute Опубликовано 19 мая, 2016 Автор Поделиться Опубликовано 19 мая, 2016 Большое спасибо за ответы! Всё зависит от исходной ситуации. В Вашем случае увы придется удалять оба. Тут я уже практически смирился как вдруг: я бы еще поборолся за зубы Можете сказать какие риски здесь у попытки сохранить зубы? Мне кажется что у врачи могли выбирать удаление + протезирование на импланте как наиболее отработанный метод, может просто в этой клинике нет практики по резекции или же резекция в моем случае здесь не оправдана (невозможная, сложная, рискованная, итд). Ссылка на комментарий
IvanK Опубликовано 19 мая, 2016 Поделиться Опубликовано 19 мая, 2016 какие риски здесь у попытки сохранить зубы? удаление резекции или же резекция в моем случае здесь не оправдана (невозможная, сложная, рискованная, итд). сначала терапевтическое лечение и наблюдение, 1 Ссылка на комментарий
red_butler Опубликовано 19 мая, 2016 Поделиться Опубликовано 19 мая, 2016 Проверить 1.2 на витальность, скорее всего эндо лечение. Я бы все таки сделал цистэктокию с РВК 1.1 и ретроградным пломбированием. 1 Ссылка на комментарий
Wintermute Опубликовано 19 мая, 2016 Автор Поделиться Опубликовано 19 мая, 2016 сначала терапевтическое лечение и наблюдение, Спасибо за ответы. Т.е. если я правильно понял ситуация еще может позволить терапевтическое лечение (когда распломбируют канал и удаляют пытаются избавиться от инфекции)? Имеет смысл тогда помучить вопросами терапевта. Ссылка на комментарий
red_butler Опубликовано 19 мая, 2016 Поделиться Опубликовано 19 мая, 2016 Спасибо за ответы. Т.е. если я правильно понял ситуация еще может позволить терапевтическое лечение (когда распломбируют канал и удаляют пытаются избавиться от инфекции)? Имеет смысл тогда помучить вопросами терапевта. Подождем что скажут терапевты, по мне канал 1.1 и так пере расширен. Ссылка на комментарий
St. Опубликовано 19 мая, 2016 Поделиться Опубликовано 19 мая, 2016 Еще одно перелечивание 1.1 не переживет, там от стенок и так мало осталось и по ширине и по длине. Я бы за него не боролась.У 1.2 шансов больше, но смущает его резорбция, за него если есть желание ещё можно побороться.Если готовы попробовать и найдете доктора можно попытаться. Само собой лечение будет негарантийным и достаточно дорогим, хотя есть шанс на успех.Если хотите гарантий - то терапевт вам не помощник. 2 Ссылка на комментарий
Doctor Vlad Опубликовано 20 мая, 2016 Поделиться Опубликовано 20 мая, 2016 Еще одно перелечивание 1.1 не переживет, там от стенок и так мало осталось и по ширине и по длине. Я бы за него не боролась.У 1.2 шансов больше, но смущает его резорбция, за него если есть желание ещё можно побороться.Если готовы попробовать и найдете доктора можно попытаться. Само собой лечение будет негарантийным и достаточно дорогим, хотя есть шанс на успех.Если хотите гарантий - то терапевт вам не помощник.+1 Ссылка на комментарий
Wintermute Опубликовано 20 мая, 2016 Автор Поделиться Опубликовано 20 мая, 2016 Здорово все объяснили, большое спасибо! 1 Ссылка на комментарий
Wintermute Опубликовано 25 мая, 2016 Автор Поделиться Опубликовано 25 мая, 2016 В итоге удалил оба зуба. Зуб который был пролечен ранее выглядел страшно, корень был какого-то коричневатого цвета (мне показалось что сам корень пропал, и там выглядывал материал, но я не разбирался). Корень второго зуба немного рассосался, хотя на мой взгляд выглядел нормально. Еще раз спасибо всем за ответы. Ссылка на комментарий
red_butler Опубликовано 25 мая, 2016 Поделиться Опубликовано 25 мая, 2016 Тему можно закрывать? Ссылка на комментарий
Рекомендуемые сообщения
Для публикации сообщений создайте учётную запись или авторизуйтесь
Вы должны быть пользователем, чтобы оставить комментарий
Создать аккаунт
Зарегистрируйте новый аккаунт в нашем сообществе. Это очень просто!
Регистрация нового пользователяВойти
Уже есть аккаунт? Войти в систему.
Войти