Slava76 Опубликовано 17 мая, 2016 Поделиться Опубликовано 17 мая, 2016 Добрый день!Проблема с зубом началась 1,5 года назад. Зуб корневой на нижней челесте самый последний. Нерв из него удален достаточно давно. 1,5 года назад на десне рядом с ним образовался гнойничек. Пошел к стоматологу. Сделали рентгеновский снимок и сказали, что у меня образовался пародоинтальный карман. Мне вскрыли и почистили десну. Дали рекомендацию с неделю полоскать раствором хлоргекседина и смазывать мазью метрогил (если не ошибаюсь). При этом врач сказала, что кармашек уже достаточно большой и скорей всего гнойник появится снова. Прошло полгода и он действительно появился. Пошел к врачу опять. Она снова почистила зуб, но уже через два месяца гнойник снова появился. Решил сходить к другому врачу (правда врач попалась молодая). Она выслушала, сделала снимок и подтвердила предыдущий диагноз. Затем почистила десну и посоветовала купить ирригатор. Но уже буквально через неделю гнойник появился снова. Пошел вновь к первому врачу. Спросил у нее совета как быть. Она посоветовала жить с этим гнойником и как можно тщательнее чистить данный зуб. Сказала, что коронка проблему не решит, имплант возможно тоже. Прошел год. Я уже устал от данного гнойничка. Он поселился у зуба похоже окончательно. Гной скапливается и периодически выходит. Я боюсь, как бы не развился какой-нибудь флюс или данный гнойник не перешел на соседний зуб. Иногда, когда гной быстро не выходит, бывает побаливает зуб при надавливании. Очень нужен совет как быть. Сам зуб, хоть и без нерва, еще достаточно крепкий. Ссылка на комментарий
red_butler Опубликовано 17 мая, 2016 Поделиться Опубликовано 17 мая, 2016 http://forum.stom.ru/topic/20613-sovety-patcientam-obiazatelno-k-prochteniiu/покажите снимки 1 Ссылка на комментарий
Slava76 Опубликовано 17 мая, 2016 Автор Поделиться Опубликовано 17 мая, 2016 покажите снимки Один должен быть дома. Постараюсь найти и завтра прикрепить к теме.А можете пока ответить на вопрос. Допустимо ли, чтобы у зуба был постоянно небольшой гнойник? Не опасно ли это? Ссылка на комментарий
red_butler Опубликовано 17 мая, 2016 Поделиться Опубликовано 17 мая, 2016 Допустимо ли, чтобы у зуба был постоянно небольшой гнойник? Не опасно ли это? как говорил мой руководитель интернатуры "гной в голове - это не хорошо"Покажите фото 1 Ссылка на комментарий
Slava76 Опубликовано 17 мая, 2016 Автор Поделиться Опубликовано 17 мая, 2016 (изменено) Один должен быть дома. Постараюсь найти и завтра прикрепить к теме.А можете пока ответить на вопрос. Допустимо ли, чтобы у зуба был постоянно небольшой гнойник? Не опасно ли это?Оказывается последний снимок был с собой. Прилагаю его. Изменено 17 мая, 2016 пользователем Slava76 Ссылка на комментарий
red_butler Опубликовано 17 мая, 2016 Поделиться Опубликовано 17 мая, 2016 Снимок не качественный и верхушек корней на нем нет 2 Ссылка на комментарий
Slava76 Опубликовано 18 мая, 2016 Автор Поделиться Опубликовано 18 мая, 2016 (изменено) Снимок не качественный и верхушек корней на нем нет А пародоинтальный карман есть? С ним действительно никак нельзя бороться? Нужно ли мне идти в другую клинику, к другому врачу? Ведь предыдущий врач сказала, что нечего сделать нельзя. Пока зуб держится нечего не делайте, а потом удалите. P.s. проблема только с одним зубом, который справа на снимке. P.s.1 поскольку вместо положенных 32 зубов у меня выросло только 24, каждый зуб мне дорог. Терять их не хочется... Изменено 18 мая, 2016 пользователем Slava76 Ссылка на комментарий
Гарриевич Опубликовано 18 мая, 2016 Поделиться Опубликовано 18 мая, 2016 Чтобы ответить полноценно, мало данныхВыложите снимок где зубы видны целиком и по возможности фото этой области 1 Ссылка на комментарий
Slava76 Опубликовано 23 мая, 2016 Автор Поделиться Опубликовано 23 мая, 2016 (изменено) Сделали мне сегодня 3D томографию и панорамный снимок (заплатил 3500руб.). Результаты передали на диске. На нем программа Ez3D. Какие именно файлы с диска и каким образом их можно сбросить на данный форум? Панорамный снимок на диск не сбросили, наверное забыли. За ним нужно будет к ним ехать снова.Если кратко, то сказали примерно следующие. Зуб нужно удалять, так как пародоинтальный карман под ним довольно большой, костная ткань разрушается и если сейчас его не удалить, то потом будет невозможно поставить имплант. Далее мне нужно исправлять прикус (ставить брекеты). Пока исправляется прикус на часть передних зубов ставить виниловые накладки, на некоторые временные пластмассовые коронки. Потом, после исправления прикуса, снизу удалить еще один зуб и поставить два импланта +две коронки на два других зуба. Сверху заменить на одном зубе коронку (так как прикус будет уже другой). Потом еще какие то накладки. Я все даже не запомнил. В общем перечисли мне курс лечения на много лет вперед, стоимостью предполагаю, как новая 1-я квартира. P.s. данная клиника у нас в городе считается одной из лучших, но известна еще и тем, что умеют "обработать" клиента и вытянуть у него все, что можно. Сижу сейчас и думаю как быть...P.s. 2 Вспомнил. Еще мне нужно будет костную ткань на месте удаленного зуба наращивать и часть десны... Ужас в общем. Жил себе спокойно и не догадывался, как все запущено Изменено 23 мая, 2016 пользователем Slava76 Ссылка на комментарий
red_butler Опубликовано 23 мая, 2016 Поделиться Опубликовано 23 мая, 2016 http://forum.stom.ru/topic/10677-kak-vylozhit-kt-na-saite/ Ссылка на комментарий
Slava76 Опубликовано 23 мая, 2016 Автор Поделиться Опубликовано 23 мая, 2016 http://forum.stom.ru...it-kt-na-saite/По данной ссылке "По этому лучше все же предоставлять на форум панорамный снимок (ортопантомограмму) и уже если кто-то из врачей попросил у Вас данные КТ - выкладывайте. В противном случае Вы можете столкнуться с тем, что в Вашей теме не будет ответов."Заеду сегодня после работы и заберу снимок.P.s.1 удаление зуба назначили на пятницу. Очень его жаль. Внешне он крепкий, здоровый и не болит. Но раз третий раз (а сегодня снимок смотрело три врача сразу) говорят, что зуб не спасти, то наверное так оно и есть. Но вот первые два врача сказали, что жить со свищем можно и пока не удалять зуб. А сегодня ответили, что нужно удалять, иначе костная ткань под ним разрушится еще больше и что с постоянным свищем (хоть и маленьким) жить нельзя.P.s.2 а в рекламе всегда говорят, что современная стоматология может спасти практически любой зуб... Ссылка на комментарий
red_butler Опубликовано 23 мая, 2016 Поделиться Опубликовано 23 мая, 2016 подождем снимок Ссылка на комментарий
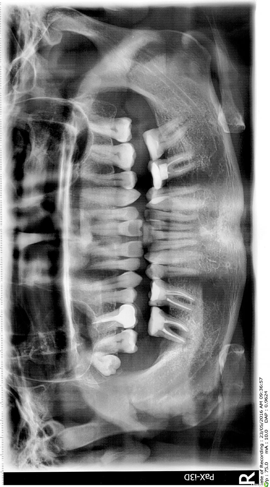
Slava76 Опубликовано 24 мая, 2016 Автор Поделиться Опубликовано 24 мая, 2016 Снимок Ссылка на комментарий
red_butler Опубликовано 24 мая, 2016 Поделиться Опубликовано 24 мая, 2016 Эх, не жалеете Вы наши шеиhttp://s020.radikal.ru/i719/1605/1e/dbb40810295d.jpgПосмотреть бы конечно во рту и покрутить Кт, что бы понять причину. Если проблема только в лечении корневого канала, и нет трещины/перфорации, то побороться за зуб можно. Но если хотите гарантированный результат, то удаляйте. Ссылка на комментарий
Slava76 Опубликовано 24 мая, 2016 Автор Поделиться Опубликовано 24 мая, 2016 Если проблема только в лечении корневого канала, и нет трещины/перфорации, то побороться за зуб можно. Но если хотите гарантированный результат, то удаляйте. Конечно я бы хотел спасти зуб (иначе я бы не стал и эту тему создавать), но все кто его смотрел говорят, что это не возможно.Постараюсь подробней вспомнить то, что мне вчера сказали на консультации.Речь идет о нижнем крайнем зубе (на фото он слева). Трещин со слов врача нет. Но мне сказали, что под зубом очень большой карман, что костной ткани очень мало. Поэтому спасти зуб не возможно. Если я его сейчас не удалю, то костная ткань будет продолжать разрушаться и впоследствии поставить имплант не получится. Ну и что жить с постоянным свищем, даже маленьким, нельзя.Все проблемы (со слов врача) у меня из-за не правильного прикуса, верхние зубы почти полностью закрывают нижние. Поэтому на нижнюю челюсть приходится очень большая нагрузка. Ставить при таком прикусе имплант они считают нельзя. Сначала нужно исправить верхнюю челюсть, затем нижнюю. Затем вместо "удаленного" зуба поставить имплант (при этом нарастить костную ткань и возможно пересадить сверху часть десны), а на соседний зуб коронку. С другой стороны нижней челюсти (на фото справа) сначала попробовать на два коренных зуба поставить коронки. На предпоследний зуб, из-за очень большой пломбы, коронку возможно поставить не получится, поэтому возможно придется тоже делать имплант (хотя сейчас он меня совершенно не тревожит). В верхней челюсти на одном зубе заменить коронку, поскольку изменится прикус и перелечить все каналы. На центральные зубы (верхние и нижние) поставить виниловые накладки. Сверху еще удалить зуб мудрости (сейчас он под десной и меня совершенно не тревожит).Вот как то так. Пришел с одним зубом, а услышал курс лечения на несколько лет вперед...стоимостью предполагаю свыше 1 млн.руб.Сейчас у меня главный вопрос, действительно ли необходимо удалять нижний зуб? Вопрос номер два, можно ли вместо него сейчас ставить имплант или врачи правы и с неправильным прикусом его ставить нельзя? Данная схема лечения похожа на правду или больше напоминает развод на деньги? Еще раз напомню, что данная клиника у нас в городе имеет такую репутацию.Ну и вообще стоит ли предпринимать еще какие-то шаги. Или удалить зуб и спокойно жить дальше.Спасибо всем откликнувшимся.P.s. Вчера спросил у жены, что для нее лучше, беззубый но "богатый" муж, или с зубами, но без денег. Она выбрала первый вариант Ссылка на комментарий
red_butler Опубликовано 24 мая, 2016 Поделиться Опубликовано 24 мая, 2016 подождем что ответят терапевты, но я какой либо связи патологии прикуса и проблемы с седьмым зубом не увидел. Однозначно что решать проблему нужно, или терапевтически или терапевтически.Если прикус не правильный, то с начала исправление, и потом имплантация и постоянное протезирование. Ссылка на комментарий
red_butler Опубликовано 24 мая, 2016 Поделиться Опубликовано 24 мая, 2016 P.s. Вчера спросил у жены, что для нее лучше, беззубый но "богатый" муж, или с зубами, но без денег. Она выбрала первый вариант ох уж эти женщины Ссылка на комментарий
vse32 Опубликовано 24 мая, 2016 Поделиться Опубликовано 24 мая, 2016 подождем что ответят терапевты, но я какой либо связи патологии прикуса и проблемы с седьмым зубом не увидел. Однозначно что решать проблему нужно, или терапевтически или терапевтически.Если прикус не правильный, то с начала исправление, и потом имплантация и постоянное протезирование.Так там бифуркация "пустая". Такое не лечится, увы. Либо терпеть, либо удаление. Не вижу способа улучшить ситуацию, кроме как удаление. Ссылка на комментарий
Slava76 Опубликовано 24 мая, 2016 Автор Поделиться Опубликовано 24 мая, 2016 Либо терпеть, либо удаление. А терпеть не опасно? Все таки на десне постоянный свищ, хоть он и не болит. И если не удалить зуб кость действительно будет дальше разрушаться? Ссылка на комментарий
vse32 Опубликовано 24 мая, 2016 Поделиться Опубликовано 24 мая, 2016 А терпеть не опасно? Все таки на десне постоянный свищ, хоть он и не болит. И если не удалить зуб кость действительно будет дальше разрушаться? Да будет. Для соседних он пока не угроза, а вот если сильно оттянуть удаление - то в этой области будет большой костный провал. Ссылка на комментарий
red_butler Опубликовано 24 мая, 2016 Поделиться Опубликовано 24 мая, 2016 Так там бифуркация "пустая". Такое не лечится, увы. Либо терпеть, либо удаление. Не вижу способа улучшить ситуацию, кроме как удаление.Если проблема связана только с эндодонтом, то лечится. Во врачебном много успешных кейсов выложено. Ссылка на комментарий
Slava76 Опубликовано 24 мая, 2016 Автор Поделиться Опубликовано 24 мая, 2016 если сильно оттянуть удаление - то в этой области будет большой костный провал. Ну если даже но форуме мой зуб приговорили, придется его удалять А какой более бюджетный вариант дальнейшего лечения зубов посоветуете? Или удалить зуб и спокойно жить дальше. Ссылка на комментарий
vse32 Опубликовано 24 мая, 2016 Поделиться Опубликовано 24 мая, 2016 Ну если даже но форуме мой зуб приговорили, придется его удалять А какой более бюджетный вариант дальнейшего лечения зубов посоветуете? Или удалить зуб и спокойно жить дальше. С учетом того, что это 7-ой зуб, а не 8-ой, то предпочтительно его заместить имплантатом.Особенно с учетом того, что на нижней челюсти отсутствуют пятерки (как,впрочем и на верхней). Жевать то надо. Недостаточная жевательная функция может вызвать негативные изменения в последующих отделах ЖКТ.Есть еще вариант - съемный протез - но у меня есть сомнения, что Вы захотите им пользоваться. Ссылка на комментарий
Slava76 Опубликовано 24 мая, 2016 Автор Поделиться Опубликовано 24 мая, 2016 Если проблема связана только с эндодонтом, то лечится. В интернете нашел, что эндодонтическое лечение применяют внутри зуба. У меня, как я понял, инфекция в карман попадает не через зуб, а через десну. Ссылка на комментарий
Slava76 Опубликовано 24 мая, 2016 Автор Поделиться Опубликовано 24 мая, 2016 "С учетом того, что это 7-ой зуб, а не 8-ой, то предпочтительно его заместить имплантатом.Особенно с учетом того, что на нижней челюсти отсутствуют пятерки (как,впрочем и на верхней). Жевать то надо. Недостаточная жевательная функция может вызвать негативные изменения в последующих отделах ЖКТ.Есть еще вариант - съемный протез - но у меня есть сомнения, что Вы захотите им пользоваться." Мне еще только первый зуб будут удалять (хотя у меня их всего 24 выросло), а Вы мне уже про съемный протез пишите Я бы поставил имплант, но меня пугает перспектива перед этим несколько лет ходить с брекетами, а затем перелечивать половину зубов. А именно такой курс лечения мне вчера описали в клинике. Или все таки можно имплант ставить сразу, без лечения не правильного прикуса? Ссылка на комментарий
Рекомендуемые сообщения
Для публикации сообщений создайте учётную запись или авторизуйтесь
Вы должны быть пользователем, чтобы оставить комментарий
Создать аккаунт
Зарегистрируйте новый аккаунт в нашем сообществе. Это очень просто!
Регистрация нового пользователяВойти
Уже есть аккаунт? Войти в систему.
Войти